留言板

尊敬的读者、作者、审稿人, 关于本刊的投稿、审稿、编辑和出版的任何问题, 您可以本页添加留言。我们将尽快给您答复。谢谢您的支持!

姓名
邮箱
手机号码
标题
留言内容
验证码

2025年  第23卷  第7期

全科医学论坛
政策工具视角下乡村医疗卫生政策量化分析与评价
董雪莹, 史秀欣, 王强, 马东平, 陈海玉, 马晓龙, 王国文
2025, 23(7): 1085-1089. doi: 10.16766/j.cnki.issn.1674-4152.004070
512 13
摘要:
  目的   乡村医疗卫生是农村居民健康的基础性保障,近年来相关政策不断出台和调整,但对其政策的系统分析框架和作用效果评价尚不完善。本文基于政策量化研究视角对乡村医疗卫生政策进行分析与评价,为政策制定与完善提供参考。   方法   基于2009—2023年国家层面出台的乡村医疗卫生相关政策,构建“政策工具—政策过程—政策力度”三维分析框架,采用内容分析法对政策文本进行分析;运用政策一致性指数模型(PMC)重点对7份政策进行量化评价。   结果   供给型(54.66%)、需求型(18.63%)与环境型(26.71%)工具差异显著;政策过程可划分为探索阶段(22.55%)、推进阶段(22.30%)与深化阶段(55.15%);政策力度均值为3.73;PMC指数均值为6.66,政策工具得分最高(0.95),政策时效得分最低(0.33)。   结论   政策工具存在结构性失衡,建议增加需求型和环境型政策工具的使用,优化政策工具内部结构。政策工具在不同阶段使用侧重不同,应注重政策工具与过程价值的融合,把握政策的阶段性特征。政策力度整体偏弱,应加强顶层设计,促进部门间的协作。各项政策的PMC指数等级均在良好及以上,但有可改进空间,建议丰富政策内容,加强政策的多维协同及优化。
专题/睡眠障碍
HF-rTMS联合心理行为干预治疗慢性失眠共病焦虑/抑郁患者的临床研究
林丽娟, 陈贵海, 孙会芹, 李成, 张业敏
2025, 23(7): 1090-1093. doi: 10.16766/j.cnki.issn.1674-4152.004071
597 9
摘要:
  目的   探讨高频重复经颅磁刺激(HF-rTMS)联合心理行为干预对慢性失眠共病焦虑/抑郁患者主客观睡眠和脑功能状态(BFS)的影响。   方法   选取安徽医科大学附属巢湖医院2023年1月—2024年9月慢性失眠共病焦虑/抑郁患者60例为研究对象,采用随机数表法分为对照组和实验组,各30例。对照组患者接受心理行为干预,实验组患者接受心理行为干预联合HF-rTMS(10 Hz,20 min/次,2次/d,共10 d)。评估治疗前后2组主客观睡眠、BFS、汉密尔顿焦虑(HAMA-14)、抑郁量表(HAMD-17)变化。   结果   (1) 治疗后实验组的HAMD-17[6.50(5.00, 8.00)分]、HAMA-14[7.00(6.00, 9.75)分]、阿森斯[5.00(4.00, 7.00)分]评分均低于对照组[10.50(8.25, 12.00)分、14.00(9.25, 15.00)分、10.00(9.00, 12.75)分,P<0.05]。(2)实验组治疗后脑混沌、内专注、困倦、脑惰性、脑疲劳评分显著低于对照组,脑抑制评分显著高于对照组(P<0.05)。(3)实验组治疗后多导睡眠图指标睡眠总时间、睡眠效率、非快速眼动睡眠相三期占比(NREM3%)均显著高于对照组(P < 0.05),入睡潜伏期、快速眼动相期入睡潜伏期、入睡后觉醒时间、NREM1%、快速眼动睡眠相占比均显著低于对照组(P < 0.05)。   结论   心理行为干预对慢性失眠共病焦虑/抑郁患者睡眠质量、焦虑、抑郁均有改善作用,HF-rTMS联合治疗效果更显著。
经颅超声刺激联合不同强度电刺激对中老年睡眠障碍患者的疗效观察
郭迦期, 李舒, 党瑞雪, 韩颖, 高静媛
2025, 23(7): 1094-1097. doi: 10.16766/j.cnki.issn.1674-4152.004072
597 21
摘要:
  目的   为改善中老年人睡眠障碍,采用经颅超声刺激(TUS)联合不同强度电刺激治疗方案,探讨2种物理技术联合治疗的效果。   方法   选取2021年11月—2024年2月在华北理工大学附属医院住院的150例中老年睡眠障碍患者为研究对象。按入院时间分为高强度组、低强度组和对照组,每组各50例。各组在给予相同经颅超声刺激基础上,增加不同强度电刺激,连续治疗2周。比较3组治疗后匹兹堡睡眠质量指数量表(PSQI)总分、睡眠时间、睡眠效率、PSQI减分率、血清皮质醇(CORT)及不良反应。   结果   治疗后,高强度组[80.00(71.00, 88.00)%]和低强度组[75.00(70.00, 80.00)%]的睡眠效率均优于对照组[71.00(63.75, 78.50)%, P<0.05];治疗后,高强度组[(6.52±1.39)分]和低强度组[(8.60±1.43)分]PSQI总评分均优于对照组[(9.74±2.43)分, P<0.05]。低强度组[(37.65±9.28)%]和高强度组[(52.51±9.36)%]的PSQI减分率优于对照组[(31.19±12.26)%, P<0.05]。治疗后,高强度组[(10.28±2.21)μg/dL]和低强度组[(12.66±2.85)μg/dL]的CORT水平均优于对照组[(15.18±2.78)μg/dL, P<0.05]。治疗期间,3组不良反应发生率比较差异无统计学意义(P>0.05)。   结论   经颅超声刺激联合电刺激能改善患者睡眠障碍功能,且电刺激强度与疗效呈正比。经颅超声刺激联合电刺激对减低患者CORT水平效果优于单独经颅超声刺激。
失眠过度觉醒状态的中西医研究进展
傅晗昕, 张芯, 胡霖霖
2025, 23(7): 1098-1102. doi: 10.16766/j.cnki.issn.1674-4152.004073
868 2
摘要:
失眠障碍是最常见的睡眠-觉醒障碍,过度觉醒则被广泛认为是失眠障碍的核心特征,在其发生和维持过程中起着关键作用。因此,本文总结了过度觉醒的概念及其与失眠的关系,涵盖失眠过度觉醒的机制假说、临床特征和中西医治疗的研究进展。在过度觉醒的概念中,概述了过度觉醒的定义及其在皮层、生理和认知层面的表现与检测方法。针对失眠过度觉醒的机制假说,总结多种机制模型,这些模型均在不同程度上强调了过度觉醒是失眠发生发展的关键因素。在失眠过度觉醒状态的临床特征部分,既往研究发现失眠患者在自主神经活动、神经内分泌、神经免疫、神经电生理和神经影像学等多方面均存在过度觉醒现象。此外,中西医各自的治疗方法也多与降低过度觉醒水平密切相关。今后,临床治疗和药理作用机制研究应更加关注失眠患者的过度觉醒问题,进一步探索更有效的治疗方法,以改善失眠患者的睡眠质量。
全科医学论著
淀粉样变性患者临床特征及其预后影响因素分析
张尚艺, 张启科, 魏小芳, 冯友繁, 伏媛, 陈巧琳, 张媛媛, 张少华, 柳洁, 李晨阳
2025, 23(7): 1103-1106. doi: 10.16766/j.cnki.issn.1674-4152.004074
512 2
摘要:
  目的   淀粉样变性患者的临床表现常缺乏特异性,并且伴有多脏器功能损害,导致预后较差。本研究旨在分析淀粉样变性患者的实验室及影像学特征,并探讨该类患者预后的影响因素。   方法   收集甘肃省人民医院2017年7月—2023年8月收治的41例淀粉样变性患者临床资料,并对其临床特点及预后进行回顾性分析和总结。   结果   41例患者的中位发病年龄为64(41~75)岁;男性27例(65.85%),女性14例(34.15%)。28例(68.29%)患者接受化疗,6例(14.63%)患者接受自体造血干细胞移植(ASCT),13例(31.71%)患者未治疗;对接受治疗的28例患者进行疗效评估,其中5例(17.86%)患者达到完全缓解(CR),7例(25.00%)患者达到部分缓解(PR),1例(3.57%)患者病情稳定(SD),1例(3.57%)患者病情进展(PD),7例(25.00%)患者失访,7例(25.00%)患者死亡。单因素分析显示,是否有心脏受累、是否有肾脏受累以及是否移植是影响患者总生存期的因素(P<0.05)。多因素分析显示,有心脏、肾脏受累是影响患者总生存期的独立危险因素。41例患者中位随访时间为8(1~68)个月,中位无进展生存期(PFS)为6(1~68)个月。   结论   淀粉样变性以系统性轻链型淀粉样变性为主,治疗以联合化疗为主,是否有心脏受累、是否有肾脏受累与患者预后相关。对于符合移植条件的患者仍然首推ASCT。
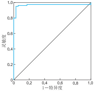
门静脉高压行经颈静脉门体分流术后分流道失功的预测模型构建与验证及处理对策
钱景瑜, 杨培培, 张阳, 谢波, 吴迪, 唐孝运, 张雷鸣, 谭玉林, 张子晨
2025, 23(7): 1107-1110. doi: 10.16766/j.cnki.issn.1674-4152.004075
457 3
摘要:
  目的   明确门静脉高压患者行经颈静脉门体分流术(TIPS)术后分流道失功的影响因素,构建并验证临床预测模型,并针对不同类型的分流道失功制定相应的处理对策,为患者提供合理的治疗方案。   方法   回顾性分析2020年1月—2024年12月在蚌埠医科大学第一附属医院介入科接受TIPS治疗的120例门静脉高压患者的临床资料。根据术后随访结果分为分流道失功组(35例)和未失功组(85例)。将差异有统计学意义的变量纳入多因素logistic回归分析,分析影响分流道失功的独立危险因素,并基于此构建预测模型。通过ROC曲线评估模型区分度;针对不同类型的分流道失功提出相应处理对策。   结果   多因素logistic回归分析表明,抗凝治疗(OR=15.754, P=0.030)、门静脉血栓(OR=0.052, P=0.008)及门静脉穿刺部位(OR=0.064, P=0.007)为TIPS术后分流道失功的独立影响因素。构建模型的ROC曲线下面积(95% CI)为0.933(0.882~0.983),最佳界值为0.866,此时灵敏度为0.894, 特异度为0.971。   结论   抗凝治疗、门静脉血栓及门静脉穿刺部位是TIPS术后分流道失功的独立影响因素,据此构建的预测模型可帮助临床医生早期进行风险分层并采取干预措施。
DPMAS联合半量PE治疗慢加急性肝衰竭的临床效果及短期预后分析
王莹莹, 闫冬, 王馨, 任佩佩, 张璨, 薛鹏涵, 高飞, 曾艳丽
2025, 23(7): 1111-1114. doi: 10.16766/j.cnki.issn.1674-4152.004076
540 3
摘要:
  目的   探讨血浆置换(PE)与双重血浆分子吸附联合半量血浆置换(DPMAS联合半量PE)对慢加急性肝衰竭的临床疗效指标改善情况及短期生存率的影响。   方法   选取2021年1月—2023年7月河南省人民医院住院的132例慢加急性肝衰竭患者,根据治疗方式分为PE治疗组(83例)和DPMAS联合半量PE治疗组(49例)。观察2组患者在不同模式人工肝治疗前后实验室指标及出院后7 d、28 d、90 d死亡率。   结果   治疗后PE治疗组HB较DPMAS联合半量PE治疗组明显下降,差异有统计学意义(P<0.05)。2种治疗模式均可改善患者的肝功能(P<0.05),PE治疗组在改善凝血功能方面优于DPMAS联合半量PE治疗组(P<0.05)。2组患者胆红素水平、不良反应发生率比较差异均无统计学意义(P>0.05),但DPMAS联合半量PE治疗组患者的90 d累计死亡率显著低于PE治疗组[10例(20.4%) vs. 31例(37.3%)], 差异有统计学意义(P<0.001)。   结论   DPMAS联合半量PE治疗可以有效改善慢加急性肝衰竭患者的肝功能,并显著提高慢加急性肝衰竭患者的生存率;此外,还可缓解血浆资源短缺问题,明显改善肝衰竭患者的预后,为患者过渡到肝移植提供更多的时间。
HBP、IL-18联合IL-6对脓毒症病情严重程度及预后的预测价值
汤亚杰, 王湛元, 宋黎洁, 陆国玉, 刘成, 陶言言
2025, 23(7): 1115-1118. doi: 10.16766/j.cnki.issn.1674-4152.004077
527 3
摘要:
  目的   脓毒症病死率高,发展迅速,为评估脓毒症患者的预后及病情分级,本研究通过分析肝素结合蛋白(HBP)、白介素-6(IL-6)及白介素-18(IL-18)的表达水平,探讨这些指标对脓毒症患者的预测价值。   方法   选取2023年1月—2024年6月蚌埠医科大学第一附属医院急诊医学科和ICU收治的80例患者。根据脓毒症诊断标准,将患者分为非脓毒症组即普通感染组20例、脓毒症组35例、脓毒症休克组25例;比较3组患者HBP、IL-18、IL-6水平;以28 d为研究终点,将脓毒症患者分为生存组和死亡组,比较2组HBP、IL-18、IL-6水平;采用Pearson分析研究HBP、IL-18、IL-6与急性生理与慢性健康状况Ⅱ评分(APACHE-Ⅱ评分)、序贯器官衰竭评分(SOFA评分)的相关性;采用ROC曲线分析HBP、IL-6、IL-18对脓毒症患者预后的评估价值。   结果   普通感染组、脓毒症组的HBP、IL-6、IL-18明显低于脓毒症休克组,差异有统计学意义(P < 0.001);死亡组的HBP、IL-6、IL-18明显高于存活组,差异有统计学意义(P < 0.001)。HBP、IL-6、IL-18与SOFA评分和APACHE-Ⅱ评分呈正相关关系。HBP、IL-6、IL-18单独预测脓毒症患者预后的ROC曲线下面积分别为0.769、0.793、0.818,约登指数分别为0.460、0.491、0.553,3项指标联合预测脓毒症患者预后的ROC曲线下面积为0.842,约登指数为0.587,3项指标联合的预测价值更高。   结论   HBP、IL-6、IL-18血清水平可有效反映脓毒症患者的病情严重程度,且3种炎症因子联合检测时对脓毒症患者的预后比各指标单独检测的评估效能更高。
肌萎缩侧索硬化患者认知功能损害与代谢水平的相关性
豆瑞霞, 谷成, 张璐璐, 梁韫华, 张毅
2025, 23(7): 1119-1122. doi: 10.16766/j.cnki.issn.1674-4152.004078
453 4
摘要:
  目的   探索肌萎缩侧索硬化(ALS)患者认知损害与代谢指标的关系,以期提高ALS患者认知损害的早期干预率。   方法   回顾性分析2022年7月—2024年3月在甘肃省人民医院门诊及住院部就诊的36例ALS患者的基本临床资料,收集血肌酐(Cr)、尿酸(UA)、肌酸激酶(CK)、总胆固醇(TC)、甘油三酯(TG)、高/低密度脂蛋白胆固醇(H/LDL-C)等代谢指标,采用Spearman、logistic回归对代谢指标与认知损伤的相关性进行分析。   结果   对36例ALS患者使用简易精神状态检查表(MMSE)评估显示,20例伴发认知功能障碍,认知功能障碍的发生率为55.56%。与非认知障碍组比较,认知障碍组女性占比、ALS患者功能评分量表(ALSFRSr)评分、CK和LDL-C等指标均较高, 教育程度及UA均较低, 差异有统计学意义(P<0.05)。蒙特利尔认知评估量表(MoCA)评估显示,19例伴发认知功能障碍,认知功能障碍的发生率为52.78%。与非认知障碍组比较,认知障碍组女性占比、ALSFRSr评分、CK和LDL-C等指标均较高, 教育程度及UA均较低,差异有统计学意义(P<0.05)。Logistic回归分析显示,女性、高ALSFRSr评分及低UA均为患者认知损害的主要危险因素(P<0.05)。   结论   女性、ALSFRSr评分、血脂、延髓起病、教育水平及UA与ALS患者认知损害相关,对ALS患者应加强以上因素的关注并及时干预。
血清胆红素水平与帕金森病临床症状的相关性研究
王恒杰, 朱啸巍, 季杜欣, 陈岩, 张超, 刘时华, 钟平, 曹立
2025, 23(7): 1123-1126. doi: 10.16766/j.cnki.issn.1674-4152.004079
410 5
摘要:
  目的   探究血清胆红素(BI)水平与帕金森病(PD)临床症状(运动症状、非运动症状)的关系,为揭示PD发病机制及寻找潜在的生物学标志物提供理论依据。   方法   回顾性分析2021年7月—2024年7月于安徽医科大学附属宿州医院就诊的102例PD患者和102例健康体检者(HC)的临床资料。PD患者根据Hoehn-Yahr分期分为早期组(65例)和中晚期组(37例)。比较PD组和HC组、早期组和中晚期组组间总胆红素(TBIL)、直接胆红素(DBIL)、间接胆红素(IBIL)水平,分析血清BI水平与PD患者年龄、运动症状[帕金森病统一评分量表(UPDRS)-Ⅲ评分、Berg平衡量表]和非运动症状(蒙特利尔认知评估量表、汉密尔顿抑郁量表)的相关性。   结果   102例PD组患者中,男性50例,女性52例,年龄为71(64,76)岁。PD组TBIL、DBIL均高于HC组(P < 0.05)。中晚期组TBIL[(16.04±6.73)μmol/L vs. (13.41±4.07)μmol/L, P=0.035]、IBIL[(11.01±5.05)μmol/L vs. (9.16±2.73)μmol/L, P=0.045]水平均高于早期组。Spearman相关分析显示,PD患者的运动症状严重程度(UPDRS-Ⅲ评分)与DBIL(rs=0.325,P < 0.001)水平呈正相关关系。   结论   与健康体检者比较,PD患者的血清DBIL水平明显升高,且与PD运动症状呈正相关关系,通过检测和降低血清DBIL水平等可能对延缓PD运动症状进展有一定的作用。
宫颈癌ⅢC期预后影响因素及亚分期合理性分析
倪芳芳, 李玉芝, 刘红丽, 王玲玲
2025, 23(7): 1127-1129. doi: 10.16766/j.cnki.issn.1674-4152.004080
661 5
摘要:
  目的  探讨FIGO 2018宫颈癌新分期系统中ⅢC期不同亚分期的预后及影响ⅢC期预后的因素。  方法  收集蚌埠医科大学第一附属医院2015年1月—2018年1月行宫颈癌根治术的Ⅰ~Ⅱ期517例患者的病历资料,并按照2018版FIGO宫颈癌分期重新进行分期,比较重新分期后的Ⅰ期、Ⅱ期、ⅢC-r期、ⅢC-p期、ⅢC-rp期的5年生存率及5年复发率,并对ⅢC期患者预后的影响因素进行单因素及多因素分析。  结果  ⅢC-r期(96.84%)与Ⅰ期(98.99%)和Ⅱ期(96.58%)宫颈癌的5年总生存率差异无统计学意义,与宫颈癌分期越高预后越差这一原则相违背。不同肿瘤大小、转移淋巴结数目、阴道穹隆受累情况、转移淋巴结位置的经病理学确诊的ⅢC期患者(ⅢC-p+ⅢC-rp期)5年生存率和复发率差异均有统计学意义(P<0.05)。将单因素分析差异有统计学意义的因素纳入Cox比例风险回归模型进行分析,结果显示,阴道穹隆是否受累、转移淋巴结数目是宫颈癌预后的独立影响因素。  结论  从患者预后角度分析,FIGO 2018宫颈癌的5年总生存率ⅢC-r期与Ⅰ期和Ⅱ期的结局相当,但ⅢC-p期及ⅢC-rp期肿瘤学结局明显差于ⅢC-r期,与宫颈癌分期越高预后越差这一原则相违背。ⅢC期患者的预后存在较大差异性,其生存结局受肿瘤大小、阴道穹隆受累情况、转移淋巴结数目及其位置等因素影响,而阴道穹隆受累、转移淋巴结数目≥2枚是宫颈癌ⅢC期预后的独立危险因素。
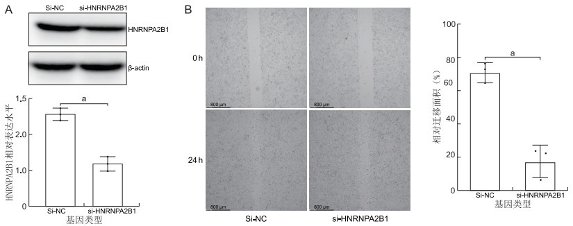
HNRNPA2B1在瘢痕疙瘩成纤维细胞中的作用探究
张路阳, 魏兴罡, 李嗣晔, 刘桉助, 冷向锋
2025, 23(7): 1130-1134. doi: 10.16766/j.cnki.issn.1674-4152.004081
409 4
摘要:
  目的  瘢痕疙瘩是异常伤口愈合引发的纤维增生性疾病,m6A甲基化修饰是最常见的RNA修饰, 可调控RNA稳定。HNRNPA2B1作为m6A读取器已被证实参与多种肿瘤发生,但在瘢痕疙瘩中的作用及分子机制尚未明确。为此,本研究旨在探究HNRNPA2B1在瘢痕疙瘩中的具体作用及调控机制。  方法  利用来自基因表达综合(GEO)数据库的公开基因表达数据集,其中包含15个对照样本和14个瘢痕疙瘩患者样本,筛选出瘢痕成纤维细胞中的差异表达基因(DEGs)。数据预处理和批次校正后,通过全面分析,阐明DEGs的功能含义。通过基因敲除实验,探究HNRNPA2B1对瘢痕成纤维细胞行为的直接影响。  结果  通过对GSE7890和GSE145725数据集进行分析及注释,筛选出23个m6A相关基因,通过富集分析,发现HNRNPA2B1基因影响瘢痕成纤维细胞增殖及代谢。通过体外实验对HNRNPA2B1敲除,结果显示,相比对照组,HNRNPA2B1敲除能够显著抑制细胞的迁移。  结论  本研究通过生物信息学分析与体外实验证实,HNRNPA2B1作为m6A修饰读取器,在瘢痕疙瘩成纤维细胞中高表达并通过调控Wnt、P53、HIF-1等信号通路,能够调控细胞增殖、代谢及迁移过程。基因敲除实验显示,抑制HNRNPA2B1可显著降低细胞迁移能力,揭示了其在瘢痕疙瘩纤维化中的关键作用,为该疾病的分子机制解析及靶向治疗提供了新的研究方向。
METTL3对炎症环境中根尖牙乳头干细胞增殖及迁移的调节作用
陈婷婷, 朱永娜, 吴越, 刘茜
2025, 23(7): 1135-1139. doi: 10.16766/j.cnki.issn.1674-4152.004082
423 7
摘要:
  目的  探索METTL3是否对炎症环境中根尖牙乳头干细胞(SCAPs)增殖及迁移能力起调节作用,为临床牙髓再生治疗提供新的理论基础。  方法  采用髓腔暴露法构建大鼠年轻恒牙根尖周炎模型,分离、培养鉴定并分为炎症环境中的SCAPs(AP-SCAPs)组和健康状态下SCAPs(H-SCAPs)组,采用CCK-8及划痕实验检测细胞增殖、迁移能力,q-PCR检测2组METTL3表达水平;慢病毒转染构建过表达METTL3的AP-SCAPs(Lv-M), 设置对照组Lv-M-Ctrl,siRNA干扰法构建沉默METTL3的AP-SCAPs(si-M),对照组si-M-Ctrl,采用CCK-8和划痕实验检测各组细胞增殖、迁移能力。  结果  AP-SCAPs较H-SCAPs的增殖、迁移能力降低(P<0.05),AP-SCAPs的METTL3表达量明显低于H-SCAPs(1.00±0.05 vs. 1.62±0.17, P=0.004);CCK-8结果显示,Lv-M较对照组的增殖能力在24 h、72 h、120 h、168 h均增强(P<0.05);si-M与si-M-Ctrl相比,细胞增殖能力均下降(P<0.05)。划痕实验结果显示,Lv-M组细胞迁移率明显高于Lv-M-Ctrl组[(70.21±3.66)% vs. (27.26±4.69)%, P<0.001];si-M组细胞迁移率较si-M-Ctrl组降低[(44.11±3.90)% vs. (72.33±5.61)%, P=0.002]。  结论  METTL3可以调节炎症环境中SCAPs增殖和迁移的能力。
全科临床研究
体重指数及全身免疫炎症指数与非小细胞肺癌患者免疫治疗效果、预后的相关性研究
张波, 樊琴, 高成钢, 蔡元春, 史永龙
2025, 23(7): 1140-1143. doi: 10.16766/j.cnki.issn.1674-4152.004083
467 4
摘要:
  目的  探讨体重指数(BMI)及全身免疫炎症指数(SII)与非小细胞肺癌(NSCLC)患者免疫治疗效果、预后的相关性,为个体化临床治疗提供理论基础。  方法  回顾性纳入马鞍山十七冶医院及马鞍山市人民医院2021年8月—2022年8月收治的140例NSCLC患者,以基线BMI值将患者分为低BMI组(BMI<25,108例)及高BMI组(BMI≥25,32例),并以基线SII中位数为界,将患者分为低SII组(SII<642.40,70例)和高SII组(SII≥642.40,70例)。分析BMI及SII与患者免疫治疗效果的相关性,并对患者进行为期2年的随访,统计患者生存预后,以Cox回归分析探讨NSCLC患者生存预后的影响因素。  结果  低BMI组免疫治疗周期结束时客观缓解率(ORR)为45.37%(49/108),低于高BMI组的75.00%(24/32,χ2=8.685,P=0.003);高SII组免疫治疗周期结束时ORR为37.14%(26/70),低于低SII组的67.14%(47/70,χ2=12.623,P<0.001)。随访2年,中位随访时间为(12.07±3.45)个月。BMI<25、合并肾上腺转移、肝转移、SII≥642.40的患者中位无进展生存期(PFS)分别低于BMI≥25、无肾上腺转移、肝转移、SII<642.40的患者(P<0.05)。Cox回归分析显示,BMI<25、合并肾上腺转移、肝转移及SII≥642.40均为影响NSCLC患者中位PFS的危险因素(P<0.05)。  结论  BMI及SII均与NSCLC患者免疫治疗效果密切相关,且均为患者出现不良预后的影响因素。
颅脑损伤患者创伤后应激障碍危险因素及预测模型构建
葛修珍, 钱丽丽, 苗娟, 梁敏, 杨从艳, 李磊
2025, 23(7): 1144-1147. doi: 10.16766/j.cnki.issn.1674-4152.004084
470 4
摘要:
  目的  分析颅脑损伤患者发生创伤后应激障碍的危险因素并构建风险预测模型,为早期识别及预防创伤后应激障碍发生提供理论依据。  方法  便利抽样法选择2022年4月—2024年2月阜阳市第五人民医院神经外科住院的170例颅脑损伤患者为研究对象,根据出院后1个月患者是否发生创伤后应激障碍分为应激障碍组(67例)和无应激障碍组(103例)。采用二分类logistic回归模型分析创伤后应激障碍的危险因素并构建风险预测模型,通过ROC曲线检验预测效能。  结果  颅脑损伤患者创伤后应激障碍发生率为39.41%(67/170)。女性(OR=4.509,P=0.009)、有后遗症(OR=3.868,P=0.040)、失眠(OR=2.537,P=0.007)均是创伤后应激障碍发生的危险因素,有赔偿/报销(OR=0.282,P=0.031)、创伤后成长水平高(OR=0.840,P<0.001)、社会关系质量良好(OR=0.913,P=0.017)均是创伤后应激障碍发生的保护因素。Hosmer-Lemeshow拟合优度检验结果(χ2=4.314,P=0.828)说明回归模型匹配度良好,ROC曲线下面积为0.942(95% CI:0.909~0.974,P<0.001),灵敏度及特异度分别为91.0%和84.5%。  结论  颅脑损伤患者创伤后应激障碍发生率偏高,女性、无赔偿/报销、有后遗症、睡眠不足、创伤性成长水平低及社会关系质量差等危险因素会增加创伤后应激障碍的发生风险,建立的风险预测模型具有良好的预测性,可为患者创伤后应激障碍临床评估和早期干预提供理论依据。
依达拉奉右莰醇联合阿加曲班治疗急性缺血性脑卒中的临床研究
张掂, 韩若东, 李冰, 过之一
2025, 23(7): 1148-1151. doi: 10.16766/j.cnki.issn.1674-4152.004085
570 3
摘要:
  目的  本研究旨在探讨依达拉奉右莰醇与阿加曲班联合应用在急性缺血性脑卒中(AIS)患者中的临床治疗效果及其对神经功能、炎症水平、自由基水平的影响。  方法  选取2022年1月—2023年12月亳州市人民医院收治的80例AIS患者,使用随机数字表法将患者分为对照组(40例)和治疗组(40例)。对照组给予阿加曲班治疗,治疗组给予阿加曲班联合依达拉奉右莰醇治疗。比较2组的临床疗效、相关量表评分、血清炎症因子、自由基水平及不良反应发生情况。  结果  治疗后,治疗组的总有效率优于对照组[95.0%(38/40) vs. 80.0%(32/40),P<0.05]。治疗2周后,治疗组NIHSS评分、改良Rankin评分低于对照组,Barthel指数评分高于对照组(P<0.05)。治疗组超敏C反应蛋白、白介素-1β、白介素-6、肿瘤坏死因子-α水平低于对照组(P<0.05)。治疗组丙二醛、活性氧水平低于对照组,超氧化物歧化酶水平高于对照组(P<0.05)。2组不良反应发生率比较差异无统计学意义(P>0.05)。  结论  依达拉奉右莰醇联合阿加曲班可以显著提高AIS的临床疗效,有效促进神经功能恢复,提高患者日常生活质量,抑制炎症因子表达,降低血清自由基水平。
慢病防治研究
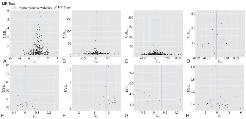
双向两样本孟德尔随机化探究慢性肾脏病及肾功能相关指标与失眠的因果关联
张婷婷, 李惠, 张星平
2025, 23(7): 1152-1156. doi: 10.16766/j.cnki.issn.1674-4152.004086
456 2
摘要:
  目的  慢性肾脏病(CKD)及肾功能相关指标异常与失眠在临床上常同时发病,本研究旨在通过双向两样本孟德尔随机化(MR)方法探讨其潜在因果关联。  方法  从已公开发表、欧洲人群的全基因组关联研究数据集中筛选出与暴露因素强相关且满足连锁不平衡条件的单核苷酸多态性(SNPs)作为工具变量,并从相应结局中提取SNPs行MR分析。以逆方差加权法(IVW)作为主要因果推断结果,以MR-Egger回归、加权中值、加权众数、简单众数法作为IVW的补充与验证。  结果  IVW法提示CKD及血清肌酐、血尿酸、胱抑素C与失眠之间不存在显著因果关联,其OR(95% CI)分别为0.997(0.993~1.002)、0.924(0.844~1.011)、1.008(0.997~1.019)、1.001(0.993~1.009),均P>0.05;失眠对CKD及血清肌酐、血尿酸、胱抑素C亦不存在显著因果关联,OR(95% CI)分别为1.403(0.625~3.151)、1.002(0.983~1.021)、1.010(0.871~1.170)、0.954(0.679~1.342),均P>0.05;MR-Egger回归法、加权中值方法、加权众数法、简单众数法均进一步验证CKD及血清肌酐、血清尿酸、胱抑素C与失眠之间不存在双向因果关联。此外,水平多效性检验、异质性检验、留一法分析结果总体效应不受单个工具变量的影响,进一步佐证MR分析结果稳健可靠。  结论  CKD及肾功能相关指标与失眠不存在明显双向因果关联。
妇幼卫生研究
抑亢汤联合二甲双胍治疗多囊卵巢综合征的临床疗效及对患者性激素、体重指数的影响
陈祥艳, 胡欣欣, 徐甜甜, 柳侠平, 李鹏, 陈苗苗, 孙云
2025, 23(7): 1157-1161. doi: 10.16766/j.cnki.issn.1674-4152.004087
621 7
摘要:
  目的  多囊卵巢综合征在育龄女性中较为多发,对患者身心健康均造成了不利影响,本研究采用抑亢汤联合二甲双胍治疗,探究两者联合对患者性激素、体重指数等指标的影响,以期为多囊卵巢综合征临床治疗方案选择提供借鉴。  方法  选择2022年1月—2024年1月浙江中医药大学附属温州市中医院治疗的102例多囊卵巢综合征患者为研究对象,按照随机数字表法分为对照组(51例)和研究组(51例)。对照组给予常规治疗、二甲双胍治疗,研究组给予常规治疗、二甲双胍、抑亢汤治疗。评估2组中医症候积分(崩漏、月经稀发、面部痤疮、胸肋胀痛)、性激素[促黄体生成激素(LH)、睾酮(T)、促卵泡生成激素(FSH)]、体重指数、糖代谢指标[空腹胰岛素(FINS)、空腹血糖(FPG)、胰岛素抵抗指数(HOMA-IR)]、脂肪因子[脂肪素(Apelin)、丝氨酸蛋白酶抑制剂(Vaspin)]及临床疗效。  结果  治疗后,研究组中医症候积分、LH、T、体重指数、FINS、FPG、HOMA-IR、Apelin、Vaspin水平均低于对照组,FSH水平高于对照组;研究组总有效率高于对照组[94.12%(48/51) vs. 78.43%(40/51)], 差异有统计学意义(χ2=5.299,P=0.021)。  结论  抑亢汤联合二甲双胍治疗多囊卵巢综合征患者性激素、体征、糖脂代谢改善及体重指数降低更为明显,且治疗有效率较高。
虚拟现实认知训练辅助治疗儿童注意缺陷多动障碍疗效观察
蔡子耀, 陈春棉, 栾泓霖, 陈浩然, 叶鑫武, 马晓韵, 安雪微
2025, 23(7): 1162-1166. doi: 10.16766/j.cnki.issn.1674-4152.004088
635 3
摘要:
  目的  观察基于中医情志理论的虚拟现实认知训练(VRCTS)辅助治疗注意缺陷多动障碍(ADHD)的疗效,为改善ADHD患儿的治疗效果提供帮助。  方法  选取2021年1月—2023年2月就诊于温州市第七人民医院的98例ADHD患儿,采用信封法分为常规组、研究组各49例,2组均采用常规治疗,常规组开展认知行为疗法(CBT),研究组在常规组基础上采用基于中医情志理论的VRCTS辅助疗法,比较2组患儿CONNERS评定量表(教师版)、Achenbach儿童行为量表(CBCL)家长版及临床疗效差异。  结果  2组治疗后CONNERS评定量表、CBCL量表的各维度评分均较治疗前降低,且研究组CONNERS评定量表各维度评分、CBCL量表各维度(除躯体主诉评分)评分均低于常规组,差异均有统计学意义(P<0.05)。研究组CONNERS减分率[(64.73±8.99)% vs.(53.13±8.93)%]及CBCL评定减分率[(46.03±6.69)% vs.(29.35±8.78)%]均高于常规组,差异有统计学意义(χ2=6.404、10.578,均P<0.001)。  结论  对ADHD患儿采用基于中医情志理论的VRCTS辅助认知行为疗法,可有效改善患儿的在校期间品行问题、多动、注意缺陷等核心症状,减轻患儿居家期间情绪行为问题。
基社卫生研究
运动处方联合个体化营养干预对社区老年肌肉减少症患者的干预效果
于溯, 任龙兵, 孙艳格, 丁倩, 李晶, 辛小一
2025, 23(7): 1167-1170. doi: 10.16766/j.cnki.issn.1674-4152.004089
808 14
摘要:
  目的  肌肉减少症严重影响老年人健康。为探索社区老年人肌肉减少症干预路径及干预效果,提高基层专病诊疗能力,该研究基于社区专病特色门诊,开展为期26周的老年肌少症患者运动处方联合个体化营养干预,评价其干预效果。  方法  采用连续招募的方式于2022年10月—2023年11月在首都医科大学附属复兴医院月坛社区卫生服务中心骨质疏松症专病特色门诊招募符合纳排标准的肌少症患者60人,通过掷硬币法将患者按照1∶1比例随机分为干预组(30人)和对照组(30人)。干预组包括营养评估及个性化营养干预联合每周≥90 min抗阻及有氧运动。对照组为常规门诊健康宣教。采用问卷及体格检查收集2组患者基本信息及干预前后肌少症相关指标及营养评估数据。  结果  2组患者干预前各项指标差异无统计学意义。经过26周干预,干预组患者平均握力为(21.62±6.04)kg, 5次起坐试验时间为(11.27±3.19)s,简易体能状况量表为(10.43±2.60)分,对照组患者分别为(18.45±5.17)kg, (16.39±5.67)s,(7.13±2.76)分,干预组患者上述肌少症相关指标均显著优于对照组(P<0.05)。2组患者肌肉量和6米步速差异无统计学意义。干预组患者干预后SARC-Calf量表筛查阳性率、衰弱率和营养不良率均显著低于对照组,肌少症相关健康素养水平均优于对照组(P<0.05)。  结论  基于社区专病门诊开展运动处方联合个体化营养干预可以有效改善老年肌少症患者肌力、躯体功能、日常生活能力和生活质量。
上海市社区康复人员晋升机制满意度及其影响因素研究
张明辉, 何柔, 郭丽君, 孙炜, 鲍勇
2025, 23(7): 1171-1175. doi: 10.16766/j.cnki.issn.1674-4152.004090
527 2
摘要:
  目的  本研究通过对分阶段随机整群抽样的36家社区卫生服务中心173名康复人员进行问卷调查,探究可能影响晋升机制满意度的因素,为推动社区康复服务发展提供科学依据。  方法  2021年8—10月,对上海市3个区的所有社区卫生服务中心进行问卷调查。运用Spearman秩相关分析对相关因素进行研究,用χ2检验和Kruskal-Wallis H检验进行单因素分析,决策树模型筛选可能存在的影响因素。  结果  社区康复人员中对晋升机制满意的有106人(61.3%),满意度一般的有53人(30.6%),14人不满意(8.1%)。决策树模型结果显示,中医康复培训、发展前景、中医家庭康复了解度、中医家庭康复满意度等可能对社区康复人员晋升机制的满意度存在影响。  结论  上海市社区康复人员对晋升机制的满意度仍待提高。建议通过细化晋升评价制度,重构人才培养方案,强化中医专项培训内容等措施提升社区康复人员晋升机制的满意度。
健康促进与健康教育
双相障碍患者童年创伤的潜类别及其与心理弹性、功能结局的关系
钟丽霞, 李珠琳, 马若云, 吉彬彬, 赵娟娟, 林小玲
2025, 23(7): 1176-1179. doi: 10.16766/j.cnki.issn.1674-4152.004091
613 8
摘要:
  目的  探究双相障碍患者童年创伤的潜类别及心理弹性在该潜类别和功能结局(社会功能和生活质量)中的中介作用。  方法  便利选取2019年9月—2021年4月中山大学附属第三医院和广州市惠爱医院门诊及住院的272例双相障碍患者,采用一般资料调查表、儿童期创伤问卷、心理弹性量表、功能评估简表、12项健康相关生命质量简表、汉密尔顿抑郁量表-17项和杨氏躁狂量表进行调查。采用潜类别分析探索童年创伤的潜类别,采用协方差分析比较不同童年创伤潜类别患者心理弹性和功能结局的差异,采用中介分析探究心理弹性在童年创伤潜类别与功能结局间的中介作用。  结果  析出3个潜类别:低创伤组(n=152,55.9%)、高忽视组(n=48,17.6%)和高创伤组(n=72,26.5%)。该潜类别对心理弹性、社会功能和生活质量的主效应均显著(F=8.173、3.599、4.800,P<0.001)。相对低创伤组,心理弹性在高忽视组与社会功能和生活质量间的相对中介效应分别为0.21(95% CI:0.08~0.34)和-0.21(95% CI:-0.34~-0.09)。  结论  双相障碍患者的童年创伤经历存在异质性,临床应关注其童年创伤特点,开展针对性干预,以改善患者功能结局。
重复经颅磁刺激对不同心理理论能力抑郁症患者情绪和认知水平的影响
朱琦, 盖琼, 沈妃, 丁卓颖, 潘友让, 李松涛
2025, 23(7): 1180-1182. doi: 10.16766/j.cnki.issn.1674-4152.004092
533 2
摘要:
  目的  探讨重复经颅磁刺激(rTMS)对具有不同心理理论能力(TOM)的抑郁症患者在情绪和认知水平上的改善作用。  方法  选取2023年6月—2024年6月绍兴市第七人民医院收治的154例抑郁症患者,按照随机数表法分为干预组(86例)和对照组(68例),将干预组进一步以患者心理理论故事图片任务(ToM-PST)评分中位数为界限分为低TOM组44例和高TOM组42例。对照组给予口服草酸艾司西酞普兰药物治疗,干预组在此基础上联合rTMS治疗,干预4周。干预后比较低TOM组、高TOM组和对照组患者总有效率,并比较3组患者间抑郁、认知水平改善情况。  结果  高TOM组(76.19%,32/42)总有效率高于低TOM组(50.00%,22/44)和对照组(38.24%,26/68),差异有统计学意义(χ2=15.078,P=0.001)。在抑郁水平改善方面,高TOM组“躯体化/焦虑”“迟缓”和“睡眠障碍”优于对照组。低TOM组“迟缓”“睡眠障碍”优于对照组,差异有统计学意义(P < 0.05)。在认知改善方面,高TOM组“注意”高于低TOM组与对照组;高TOM组、低TOM组“延迟回忆”优于对照组,差异有统计学意义(P < 0.05)。  结论  重复经颅磁刺激对药物治疗的不同心理理论能力抑郁症患者的情绪及认知均具有一定的辅助改善作用。
以患者需求为导向的分阶段健康教育对肩袖损伤患者肩关节功能、健康行为及自护能力的影响
徐婷婷, 祁婕, 刘丽丽, 冯丹
2025, 23(7): 1183-1187. doi: 10.16766/j.cnki.issn.1674-4152.004093
433 3
摘要:
  目的  分析研究肩袖损伤患者在以需求为导向的分段健康教育中的康复疗效。  方法  选取2021年1月—2023年12月淮安市第一人民医院骨科收治的118例肩袖损伤患者为研究对象,采用随机数字表法分为对照组(59例)和观察组(59例)。对照组行常规宣教,观察组行以患者需求为导向的分阶段健康教育。比较2组患者肩关节功能恢复情况、健康行为控制情况及自护能力水平。  结果  干预30 d时,观察组加州大学肩关节评分系统(UCLA)指标评分中,疼痛评分为(3.65±2.02)分低于对照组[(4.72±2.44)分],功能活动评分为(7.45±1.68)分、主观满意度评分为(7.89±1.17)分均高于对照组[(6.44±1.76)分、(7.24±1.16)分],差异有统计学意义(P<0.05)。观察组患者的健康行为调查中药物使用、运动管理、生活方式调整得分均显著高于对照组[(31.42±2.17)分vs. (30.22±2.15)分; (36.83±4.01)分vs. (34.79±3.81)分; (30.76±3.45)分vs. (29.33±2.02)分, P < 0.05],且观察组患者自我护理能力量表(ESCA)中自我概念、知识和信息寻求、被动性、动机评分均显著高于对照组(P < 0.05)。  结论  以患者需求为导向的分阶段健康教育,可加快肩袖损伤患者肩关节功能的恢复速度,有效强化其健康行为控制效果,同时显著提高其自护能力。
焦点解决、团体干预对双相情感障碍缓解期残留症状的影响
王媛媛, 冯虹, 林雪冰
2025, 23(7): 1188-1191. doi: 10.16766/j.cnki.issn.1674-4152.004094
550 3
摘要:
  目的  缓解期双相情感障碍(BD)患者仍有一定残留症状及病耻感,严重影响患者心理健康水平及认知灵活性,本研究将焦点解决、团体干预应用于BD缓解期患者中,以期减轻患者残留症状、病耻感,提高患者认知灵活性。  方法  选取2024年1月—2025年1月就诊于绍兴市第七人民医院的310例BD缓解期患者为研究对象,采用随机数字表法将患者分为对照组(155例)和观察组(155例)。对照组患者采用常规护理,观察组在对照组基础上应用焦点解决、团体干预。采用杨氏躁狂量表(YMRS)及汉密尔顿抑郁量表(HAMD)评定患者残留躁狂、抑郁水平,采用精神疾病病耻感量表中文版(SSMI-C)及认知灵活性问卷(CFI)比较2组患者病耻感及认知灵活性水平。  结果  干预7周后,观察组患者YMRS及HAMD量表得分分别为(10.55±2.41)分、(8.42±1.43)分,均低于对照组[(13.01±2.57)分、(10.14±2.59)分,P<0.05]。干预后,观察组患者SSMI-C总分低于对照组[(47.83±5.27)分vs.(71.75±7.46)分,P<0.05];观察组患者CFI量表总分高于对照组[(66.83±7.26)分vs. (57.32±7.41)分,F=6.786, P<0.001]。  结论  焦点解决、团体干预可有效减轻BD缓解期患者残留症状,降低患者病耻感,提高认知灵活性,促进患者康复。
诊断技术研究
极速脉搏波技术在系统性红斑狼疮亚临床动脉粥样硬化中的评估价值及其临床相关因素研究
王星, 陆芳, 石彦, 李阳, 谢长好
2025, 23(7): 1192-1195. doi: 10.16766/j.cnki.issn.1674-4152.004095
325 2
摘要:
  目的  应用极速脉搏波技术评估不同活动度系统性红斑狼疮(SLE)患者的血管弹性并探究其相关危险因素。  方法  选取2020年10月—2024年4月就诊于蚌埠医科大学第一附属医院的116例SLE患者,根据SLE疾病活动性指数2000分为轻度活动组(57例)和中重度活动组(59例),纳入45名健康成年人作为对照组。测量各组的颈动脉内中膜厚度(IMT)、收缩期起始时的脉搏波传导速度(PWV-BS)及收缩期末的脉搏波传导速度(PWV-ES),比较3组颈动脉参数及临床资料,分析脉搏波传导速度(PWV)与各指标之间的相关性。  结果  3组间PWV-BS、PWV-ES比较,中重度活动组>轻度活动组>对照组(P<0.05)。PWV-BS与颈总动脉IMT(r=0.315, P < 0.001)、收缩压(r=0.190, P=0.041)、舒张压(r=0.191, P=0.040)呈正相关关系,PWV-ES与颈动脉分叉处IMT(r=0.274, P=0.003)、颈总动脉IMT(r=0.361, P < 0.001)、舒张压(r=0.252, P=0.006)呈正相关关系。  结论  SLE患者的颈动脉弹性减低明显早于健康者,极速脉搏波可定量评估SLE患者颈动脉弹性,且不受限于时期,这为临床早期动脉硬化评估提供了客观依据。
肝内脂肪对不同T1 mapping方法评估肝纤维化的影响分析
谭恺, 汪国余, 吴玉林, 杨小萍, 徐祖良, 刘洪宇
2025, 23(7): 1196-1198. doi: 10.16766/j.cnki.issn.1674-4152.004096
373 3
摘要:
  目的  通过不同磁共振T1映射(T1 mapping)方法探讨肝内脂肪对肝纤维化评估的影响。  方法  选取2021年2月—2024年2月于台州市中心医院接受治疗的140例非酒精性脂肪性肝病(NAFLD)患者作为研究对象,收集患者的质子密度脂肪分数以及不同T1 mapping方法测量的肝脏T1值,采用Pearson相关性分析研究T1值与肝脏脂肪测量值间的关系。  结果  反相位(OP)图像上肝实质的T1值显著高于同相位(IP)图像和压脂图(Water)图像上肝实质的T1值,而Water图像上肝实质的T1值高于IP图像上肝实质的T1值(P < 0.05);OP图像上肝实质的T1值与质子密度脂肪分数(PDFF)呈弱正相关关系(r=0.219,P=0.015),IP图像上肝实质的T1值与PDFF呈负相关关系(r=-0.499,P < 0.001),Water图像上肝实质的T1值与PDFF不具有相关性(r=-0.138,P=0.130),同时OP图像和IP图像上与Water图像上肝实质的T1值差值绝对值与PDFF也具有相关性(r=0.373,P < 0.001;r=-0.258,P=0.004)。  结论  通过Dixon水脂分离成像技术获得的T1 mapping Water序列图像受肝内脂肪的影响最小,最大化校正了肝内脂肪对肝脏T1值的影响。
医学综述
基于免疫系统探讨酒精对骨质疏松症的作用机制
岳云祥, 任洋洋, 王刚, 康伯源, 徐西林
2025, 23(7): 1199-1203. doi: 10.16766/j.cnki.issn.1674-4152.004097
548 3
摘要:
骨质疏松症(osteoporosis, OP)是以骨强度下降以及骨折风险增加为特征的骨骼疾病,同时也是一种医学和社会经济威胁。酗酒行为在全球范围内普遍流行。由于特有的饮酒文化,我国酒精性疾病高发。长期酗酒可以通过直接影响成骨细胞、破骨细胞及其前体细胞,或通过间接影响蛋白质代谢、肝功能、内分泌等方式,导致骨代谢紊乱、骨量丢失及骨微观结构退化,进而引发骨质疏松症,但骨质疏松症的发病机制尚未完全阐明。免疫系统是一个由多种分子、细胞、组织和器官组成的复杂网络,也是维持人体生命的重要系统,旨在保护身体免受传染源和恶性细胞的侵害。近年来的研究表明,酒精与免疫系统有密切联系,特别是酒精对先天性免疫和适应性免疫的影响,以及免疫系统中许多免疫细胞如中性粒细胞、巨噬细胞、T细胞及B细胞与骨质疏松症的相关性。因此,本文从酒精对免疫系统的影响论述酒精对骨质疏松症的发病机制,旨在为骨质疏松症的机制研究、新药研发以及新的治疗策略提供思路和依据,并发现酒精通过干扰免疫细胞动态平衡(如抑制中性粒细胞、巨噬细胞、T和B淋巴细胞生成)及其相关信号通路活性(包括OPG/RANKL/RANK、JAK/STAT3、NF-κB及JNK通路),同时异常调控促炎因子(如IL-1、IL-6、IL-17、TNF-α和IFN-γ)的分泌,直接或间接破坏骨形成与骨吸收的稳态平衡,最终导致骨质疏松症的发生。
影像学技术在银屑病共病筛查与评估中的应用进展
王永兴, 丁媛
2025, 23(7): 1204-1208. doi: 10.16766/j.cnki.issn.1674-4152.004098
542 3
摘要:
银屑病是一种常见的慢性炎症性疾病,全球发病率为1%~3%,我国的发病率约占0.47%,与之相关的共病包括银屑病关节炎、代谢综合征、非酒精性脂肪肝、葡萄膜炎、慢性肾病等。银屑病共病不仅影响银屑病患者的生活质量,同时还决定着患者的治疗措施;不同类型的银屑病共病患者使用生物制剂后,药物疗效产生了个体化的差异,因此早期筛查银屑病共病,对优化银屑病治疗有重要意义。近年来随着影像学技术快速发展,出现了许多新型的影像学检查,比如血管内超声(IVUS)、肌肉骨骼超声(MSUS)、荧光光学成像(FOI)和光学相干断层扫描血管成像(OCTA)等,这些影像学技术的出现,使得人们对人体信息的收集和处理更加敏感和特异,由于大部分影像检查具有非侵入性和简便性的特点,使影像学技术成为筛查与评估银屑病共病的有力工具。通过影像学技术评估关节、心血管、眼睛、肝脏等器官受累情况,可以提高银屑病共病早期诊断的准确性,为疾病活动及预后评估提供重要依据。因此在临床诊疗工作中,应该注重应用相关影像学检查措施,早期筛查、评估银屑病共病,从而能更好地辅助银屑病患者的诊治。在相关的前沿研究中,银屑病关节炎、心血管疾病和银屑病眼部损害方面的研究较多,本文就这些热点方面进行综述。
血脑屏障中紧密连接蛋白-5在癫痫中的作用研究进展
陈静怡, 高凡凯, 薛国芳
2025, 23(7): 1209-1213. doi: 10.16766/j.cnki.issn.1674-4152.004099
519 3
摘要:
血脑屏障(BBB)由脑微血管内皮细胞构成,是一种重要的保护性屏障,能够限制血液中的有害物质进入大脑,维持脑组织稳定的内环境,其完整性对大脑功能至关重要。紧密连接蛋白是维持BBB结构和功能的关键成分,这些蛋白位于脑微血管内皮细胞之间,起到连接相邻细胞、保持屏障完整性的作用,构成一个高度调控的微环境。紧密连接蛋白-5(Claudin-5)是BBB中较为丰富的紧密连接蛋白之一,广泛分布于脑微血管内皮细胞的细胞膜上。有研究表明,Claudin-5在调控BBB的完整性和通透性方面起着至关重要的作用。它通过控制细胞之间的连接空隙,确保BBB的选择性和通透性,使得大脑能够得到所需的氧气、葡萄糖等物质,同时防止有害物质、病原体及其他潜在危害物质进入大脑。一旦Claudin-5的表达或功能发生异常,BBB的功能将受到影响, 从而引发一系列神经系统疾病,如神经炎症、脑血管疾病以及神经退行性疾病等。癫痫是一种由异常神经放电引起的疾病,部分研究表明Claudin-5可能通过改变BBB的通透性,影响脑组织内的离子浓度,进而参与癫痫的发病机制。尽管目前尚不完全清楚其具体机制,但Claudin-5的变化可能与癫痫的发生密切相关。综上,Claudin-5不仅在维持BBB的完整性方面起着至关重要的作用,也在中枢神经系统疾病,特别是癫痫的发病机制中具有潜在的研究价值。本文将综述Claudin-5的生理功能、病理变化以及在维持BBB完整性与癫痫中的作用,为癫痫疾病的治疗提供新的思路。
医养结合模式下养老机构医护人员急救能力研究进展
张颖, 李佳, 刘世平
2025, 23(7): 1214-1217. doi: 10.16766/j.cnki.issn.1674-4152.004100
575 4
摘要:
我国已进入老龄化社会,随着老龄化的持续加剧,老年人对医疗、康复、保健、养老等需求逐渐增加,健康养老意识正在逐渐增强,故针对医养结合下养老机构的相关研究也呈上升趋势。医养结合是将“健康服务”与“养老体系”有机结合,以实现社会利用最大化和最优解。本文结合医养结合养老模式的相关概念,就近年来医养结合下养老机构医护人员急救能力相关研究进展进行综述,深入探讨其发展现状、前景及面临的问题,旨在消除养老服务体系与健康服务体系之间的分割,为指导养老机构真正做到医养结合及该领域进一步的研究提供一定的参考。以“医养结合”“养老机构”“急救”为主题词,在中国知网、维普、万方、PubMed数据库中对近年的期刊文献进行检索,并对相关文献进行筛选、阅读。通过阅读文献发现,相较于国外研究,国内研究以高校为主,理论分析较强,缺少实例研究。故以医养结合的养老模式作为宏观背景,全面分析养老机构医护人员的专业医疗照护与急救能力及其影响因素,从而制定相关培训制度,提高养老机构医护人员的整体素质,改变其急救观念,普及急救知识和技能,为目前养老卫生事业在急救医疗等领域提供新的改进思路。
预防/保健 中医/康复
中药封包疗法对甲状腺癌患者术后颈部疼痛的临床疗效观察
丁云, 张浩, 马小鹏, 闫春玲, 陈婷婷, 赵红
2025, 23(7): 1218-1221. doi: 10.16766/j.cnki.issn.1674-4152.004101
529 3
摘要:
  目的  评估中药封包疗法治疗甲状腺癌患者术后颈部疼痛的临床疗效,分析其对术后恢复的改善作用,并观察治疗的安全性。  方法  采用随机数字表法将2025年1—3月于安徽中医药大学第一附属医院甲状腺乳腺外科接受甲状腺癌根治术且术后出现颈部疼痛的76例患者分为治疗组与对照组,每组38例。对照组予以常规护理,治疗组在对照组基础上加用中药封包疗法。本研究采用数字评分量表(NRS)、简明疼痛评估量表(BPI)评价2组患者手术后1 h、手术后3 d疼痛情况。采用术后恢复质量量表-15(QoR-15)评价患者手术前1 d、手术后3 d手术恢复情况,并比较2组患者手术后不良反应发生情况。  结果  组内比较:治疗组手术后3 d的NRS、BPI评分较手术后1 d显著降低(P<0.05)。组间比较:治疗组手术后3 d NRS评分为[0(0, 0)]分,显著低于对照组[1(1, 1)分,Z=-6.595,P<0.001];治疗组手术后3 d BPI疼痛强度得分为(6.71±2.54)分,显著低于对照组[(8.89±3.56)分,F=8.862,P=0.004];治疗组手术后3 d BPI疼痛影响得分为(15.00±5.80)分,显著低于对照组[(19.68±4.27)分, F=15.027,P<0.001];治疗组手术后3 d QoR-15评分为(130.42±9.36)分,显著高于对照组[(121.76±8.38)分, F=17.805,P<0.001]。2组患者在治疗期间均未出现不良反应。  结论  相较于对照组,中药封包疗法可以更好地改善甲状腺癌患者术后颈部疼痛,加速患者术后恢复,且安全性良好。
健脾化痰方联合针刺治疗卒中后抑郁的疗效及对患者血清肾素-血管紧张素系统的影响
李智申, 王岱, 郭芮彤, 安静, 何曼曼
2025, 23(7): 1222-1226. doi: 10.16766/j.cnki.issn.1674-4152.004102
481 3
摘要:
  目的  探究健脾化痰方联合针刺治疗卒中后抑郁(PSD)的疗效,并从血清肾素-血管紧张素系统(RAS)方面分析其机制。  方法  选取石家庄市中医院2021年6月—2023年12月收治的150例PSD患者,按随机数字表法分为汤方组(健脾化痰方口服)、针刺组与联合组(健脾化痰方联合针刺治疗),每组50例。比较3组治疗效果及治疗前后各项评分、血清神经递质[5-羟色胺(5-HT)、P物质(SP)、脑源性神经营养因子(BDNF)、视黄醇结合蛋白4(RBP4)]及RAS[肾素活性(PRA)、血管紧张素(Ang)Ⅱ、Ang 1-7]指标。  结果  3组治疗总有效率比较差异有统计学意义[47例(94.0%) vs. 38例(76.0%) vs. 36例(72.0%),χ2=8.806,P=0.012]。联合组治疗4周中医证候总积分、汉密尔顿抑郁量表(HAMD)-17、美国国立卫生研究院卒中量表(NIHSS)评分、血清SP、RBP4及血浆PRA、Ang Ⅱ水平均显著低于汤方组、针刺组(P<0.05),日常生活活动能力(ADL)评分、血清5-HT、BDNF、Ang 1-7水平均显著高于汤方组、针刺组(P<0.05),汤方组与针刺组各指标比较差异均无统计学意义(P>0.05)。3组不良反应比较差异均无统计学意义(P>0.05)。  结论  健脾化痰方联合针刺治疗PSD安全有效,RAS及神经递质调控为其可能作用机制。
全科医学教育研究
DOPS在临床医学专业本科生外科学临床技能考核中的应用
褚维伟, 徐静, 李旭文, 韩志强, 田丽, 黄鹤, 高颖, 宋培军
2025, 23(7): 1227-1230. doi: 10.16766/j.cnki.issn.1674-4152.004103
478 5
摘要:
  目的  观察评价依托问卷星与微信平台的改良操作技能直接观察评估(DOPS)在临床医学专业本科生外科学临床技能考核中的应用效果。  方法  研究时间为2022年11月—2023年10月,选取在蚌埠医科大学第一附属医院外科实习的100名临床医学专业本科生作为研究对象,按照随机数字表法将其分为对照组与观察组,每组50人。对照组进行常规临床技能考核,观察组在其基础上加用DOPS,采用问卷星与微信平台对考核成绩进行综合分析与实时反馈,了解学生的基本技能掌握情况,并针对性进行纠错与改进练习,对学生的技能操作水平进行等级划分,超过平均能力预期标准为优,达到平均能力预期标准为良,未达到能力预期标准或仅达到能力预期标准下限为差,比较2组的技能操作优良率。优良率=(优+良)人数/总人数×100%。  结果  前期技能考核成绩,2组差异无统计学意义(P>0.05);中期、后期考核成绩,观察组均优于对照组(P<0.05);实习后,观察组的技能操作优良率为92.00%(46/50),对照组为76.00%(38/50),2组差异有统计学意义(χ2=4.762,P=0.029)。  结论  在外科学教学过程中运用DOPS能起到良好效果,可为教师合理调整教学模式提供便利,有利于激发学生的学习兴趣,该评价方法具有较高的应用价值,值得临床推广与使用。
新赋能教学联合微课模式用于甲乳外科医师临床带教的价值
刘元, 朱珠, 宋婷婷, 王彬彬, 刘杨
2025, 23(7): 1231-1233. doi: 10.16766/j.cnki.issn.1674-4152.004104
431 6
摘要:
  目的  探讨新赋能教学联合微课模式用于甲乳外科医师临床带教的效果,为新赋能教学联合微课模式的推广应用提供参考。  方法  选取2022年1月—2024年1月蚌埠医科大学第一附属医院甲乳外科60名规培生作为研究对象,使用随机数表法分为观察组(30人)及对照组(30人)。对照组规培生采取传统教学模式,观察组规培生采取新赋能教学联合微课模式教学。比较2组规培生考核成绩及优良率,同时评估其简易临床评估演练(Mini-CEX)量表评分及教学质量评价量表(SEEQ)评分。  结果  观察组60分以下、60~69分、70~79分人数低于对照组,80~89分、90分以上人数多于对照组,优良率高于对照组[76.67%(23/30) vs. 46.67%(14/30),χ2=5.711,P=0.017]。观察组病史采集、体格检查、人文关怀、临床诊断、沟通技能、组织效能、整体表现评分均高于对照组(P<0.05);观察组学习价值感、组织清晰、教学热情、群体互动评分均高于对照组(P<0.05)。  结论  新赋能教学联合微课模式用于甲乳外科临床带教不仅能提高规培生学习能力、临床实践能力,还能提高其学习积极性、自学能力及临床思维能力。
OBE导向的临床见习教学模式对护本生核心能力与自主学习能力的影响
周慧赟, 王茜, 王磊, 叶枫林, 杨丽娟
2025, 23(7): 1234-1238. doi: 10.16766/j.cnki.issn.1674-4152.004105
577 3
摘要:
  目的  构建基于OBE理念的临床见习教学模式,解决护生核心能力培养碎片化与自主学习动力不足问题,验证其应用效果。  方法  选取蚌埠医科大学第一附属医院2024年7月—2025年2月暑假和寒假期间见习的238名护本生作为研究对象。采用整群抽样方法,抽取A班和B班分别作为对照组(119人)和观察组(119人)。对照组暑假期间采用传统路径式“一对一”临床见习教学模式,观察组寒假期间采用基于OBE理念的临床见习教学模式;比较2组护生核心能力、自主学习能力及满意度情况。  结果  观察组在临床生物医学科学、一般临床技能、批判性思维推理能力、关心以及终身学习五大维度表现均显著优于对照组,差异有统计学意义(P < 0.05);而在道德和责任维度上,2组间差异无统计学意义(P>0.05);观察组在信息处理能力[(45.56±4.24)分vs. (43.34±4.93)分]、自我管理能力[(43.69±5.13)分vs. (42.21±3.89)分]以及团队协作学习能力[(27.77±4.27)分vs. (26.29±4.34)分]3个维度得分均明显高于对照组(P < 0.05);观察组满意度优于对照组(Z=3.141, P=0.002);护生核心能力各维度与自主学习能力各维度均呈正相关关系(P < 0.01)。  结论  OBE导向的临床见习教学模式可提高护生的核心能力和自主学习能力,提升教学满意度,为护理教育改革提供理论依据与实践范式。
医学综合研究
山东丘陵农村老年人群硒摄入水平与高血压关系的研究
卢晓地, 吕实波, 王秀红, 王园园, 李为波, 董淑瑶, 石峰, 种冠峰
2025, 23(7): 1239-1243. doi: 10.16766/j.cnki.issn.1674-4152.004106
467 2
摘要:
  目的  调查山东丘陵地区农村老年人群硒摄入量与高血压患病情况,探讨硒摄入水平与高血压的相关性,为制定适宜的高血压防治策略提供依据。  方法  于2023年2—11月采用多阶段分层抽样的方法,在山东丘陵地区13个县(市、区)抽取≥60周岁常住居民进行问卷调查和体格检查,利用膳食摄入量调查表,对调查对象进行近1年的回顾性膳食调查,计算每日硒摄入量,根据硒摄入量五分位数分为5组并进行χ2检验,对高血压危险因素行logistic回归分析。  结果  共调查2 068人,高血压病患者1 153人,高血压患病率为55.75%,标化患病率为58.46%。5组间高血压患病率差异有统计学意义(P<0.05),按照性别、年龄、饮酒、BMI、腹型肥胖、糖尿病、每周运动量分组,不同人群高血压患病率不同(P<0.05)。Logistic回归分析显示,以硒摄入量第1五分位组作为对照,第2五分位组、第3五分位组、第4五分位组、第5五分位组OR值(95% CI)分别为0.945(0.903~1.051)、0.917(0.873~0.945)、0.891(0.854~0.939)、0.832(0.783~0.884),随着每日硒摄入量的增加,OR值呈递减趋势。  结论  硒摄入水平与老年人群高血压患病率呈负相关关系,增加硒摄入量可降低高血压的发病风险。
患者主观整体营养评估表对恶性肿瘤患者生存结局的预测价值研究
张会, 何荣芬, 刘群, 邵明莉
2025, 23(7): 1244-1248. doi: 10.16766/j.cnki.issn.1674-4152.004107
570 3
摘要:
  目的  通过系统探究患者主观整体营养评估(PG-SGA)评分与肿瘤患者全因死亡风险之间的关联,明确其在评估患者预后时的价值。  方法  回顾性收集2020年8月1日—2022年8月31日在淮北市人民医院肿瘤科住院患者的数据, 包括人口统计学资料、生化检查、PG-SGA评分等指标。通过查阅病历或电话等方式随访患者的临床结局,随访时间为2年,主要结局为全因死亡。使用ROC曲线评估PG-SGA评分预测2年生存情况的能力,采用Cox比例风险模型分析肿瘤患者全因死亡风险的影响因素。  结果  2组年龄、性别、高血压、肿瘤分期、BMI、营养风险筛查2002(NRS-2002)分级、PG-SGA评分、NRS-2002评分、PG-SGA分级、白蛋白比较,差异均有统计学意义(P < 0.05)。多因素Cox分析结果表明PG-SGA评分是肿瘤患者生存结局的独立影响因素。PG-SGA评分预测患者全因死亡的ROC曲线下面积为0.821(95% CI:0.757~0.885,P < 0.001),灵敏度为0.853,特异度为0.656,最佳截点值为5.5分,即PG-SGA评分超过6分(包括6分)时,患者全因死亡风险明显增加。  结论  PG-SGA评分是肿瘤患者生存结局的影响因素。PG-SGA评分5分以上的患者全因死亡风险明显增加,应给予充分重视并进行积极的营养干预。
全科护理研究
小儿肺炎支原体肺炎并发塑型性支气管炎的高危因素及护理对策
张晶, 冯新荣, 张翠香
2025, 23(7): 1249-1252. doi: 10.16766/j.cnki.issn.1674-4152.004108
513 3
摘要:
  目的  在小儿肺炎支原体肺炎(MPP)发病率上升且其严重并发症塑型性支气管炎(PB)可致患儿通气障碍甚至危及生命的背景下,本研究通过回顾病历资料,识别小儿MPP并发PB的高危因素,以制定针对性的护理对策,为临床早期干预提供科学依据。  方法  采用回顾性分析方法,选取2021年5月—2024年5月于天津市儿童医院确诊为MPP的260例患儿为研究对象,根据是否并发PB将其分为并发组(42例)和未并发组(218例)。收集患儿的一般资料和临床特征等,采用单因素和多因素logistic回归分析研究可能导致MPP患儿PB发生的相关因素。  结果  单因素分析显示,与未并发组比较,并发组患儿热峰≥38.5 ℃、热程≥5 d、患有胸腔积液的比例及C反应蛋白(CRP)、乳酸脱氢酶(LDH)、降钙素原(PCT)、红细胞沉降率(ESR)、D-二聚体(D-D)水平更高(P<0.05)。多因素logistic回归分析显示,热程≥5 d(OR=4.170,95% CI:1.778~9.783)、患有胸腔积液(OR=3.010,95% CI:1.186~7.637)、CRP≥20.13 mg/L(OR=2.389,95% CI:1.299~4.395)、LDH≥361.25 U/L(OR=2.462,95% CI:1.213~4.996)是影响MPP患儿PB发生的独立高危因素(P<0.05)。  结论  MPP患儿的热程、胸腔积液、CRP、LDH与其并发PB密切相关。临床上应建立完善的监测体系,加强抗感染治疗强度并适当延长疗程,积极处理胸腔积液,密切观察患儿呼吸、咳嗽等症状变化,给予针对性呼吸道护理,以预防PB的发生与进展。
基于健康行为改变整合理论的护理模式对消化性溃疡患者心理状态、遵医行为及生活方式的影响
沈燕燕, 祝阿英, 罗小英, 章小华
2025, 23(7): 1253-1257. doi: 10.16766/j.cnki.issn.1674-4152.004109
500 4
摘要:
  目的  消化性溃疡是一种常见的消化系统疾病,其发生和发展与心理状态、遵医行为和生活方式密切相关,本研究探讨基于健康行为改变整合(ITHBC)理论的护理模式对消化性溃疡患者心理状态、遵医行为及生活方式的影响。  方法  选取2023年4月—2024年3月绍兴第二医院收治的170例消化性溃疡患者,采用随机数字表将患者分为对照组(85例)和观察组(85例)。对照组应用常规护理,观察组在对照组基础上应用基于ITHBC理论的护理模式。比较2组患者干预前后心理状态、遵医行为及生活方式。  结果  干预后,观察组患者焦虑自评量表(SAS)和抑郁自评量表(SDS)评分分别为(35.18±4.62)分、(34.29±3.82)分,均低于对照组[(43.24±5.10)分、(40.05±4.21)分,P<0.05];干预后,观察组遵医行为量表及健康促进生活方式量表-Ⅱ(HPLP-Ⅱ)得分分别为(75.33±5.29)分、(100.50±15.34)分,均高于对照组[(67.82±7.10)分、(91.59±12.77)分,P<0.05]。  结论  基于健康行为改变整合理论的护理模式能有效改善消化性溃疡患者焦虑、抑郁等情绪状态,对提高遵医行为及促进健康生活方式具有积极作用。
基于IPC模式的阶段性功能训练方案在不稳定桡骨远端骨折患者术后的应用
陈飞飞, 陈洁芳
2025, 23(7): 1258-1261. doi: 10.16766/j.cnki.issn.1674-4152.004110
512 11
摘要:
  目的  基于跨专业合作模式(IPC)构建不稳定桡骨远端骨折术后阶段性功能训练方案,探讨其对患者预后的影响。  方法  选取2023年10月—2024年9月在绍兴市上虞人民医院骨科住院手术治疗的100例不稳定桡骨远端骨折患者为研究对象。采用随机数字表法将患者分为2组,每组各50例,对照组术后实施常规护理,观察组术后实施阶段性功能训练。观察比较2组训练前后疼痛、腕关节功能以及上肢功能情况。  结果  观察组术后疼痛程度低于对照组,住院时间及患肢消肿时间均短于对照组(P<0.05);2组12周后功能状况、活动范围、握力、疼痛评分均高于干预前(P<0.05),且观察组功能状况、活动范围、握力、疼痛评分均高于对照组(P<0.05);12周后2组上肢运动功能简式评分表(DASH)评分均低于干预前,且观察组DASH评分低于对照组(P<0.05);观察组术后关节僵硬1例,固定松动1例,骨折愈合延迟1例,并发症总发生率为6.00%(3/50),显著低于对照组的24.00%(12/50,χ2=6.353,P=0.012)。  结论  在不稳定桡骨远端骨折术后功能训练中采用基于IPC模式的阶段性功能训练方案能减轻骨折患者早期疼痛,促进患肢消肿,缩短住院时间,且有利于腕关节及上肢功能恢复,降低术后并发症发生风险。
全科诊疗实践
成人腹型过敏性紫癜误诊1例并文献复习
罗利绵, 李琪, 谢淼
2025, 23(7): 1262-1266. doi: 10.16766/j.cnki.issn.1674-4152.004111
443 8
摘要:
通过回顾成人腹型过敏性紫癜误诊病例,分析原因并结合临床文献资料,总结腹型过敏性紫癜疾病特点,降低误诊率。本文回顾分析了2022年7月收治的1例被误诊为急性胃肠炎的成人腹型过敏性紫癜患者的临床资料,该例患者在腹痛后期出现皮肤紫癜,同时寻求多学科会诊,更改诊断为腹型过敏性紫癜,予以糖皮质激素、抗过敏药物等对症治疗后病情好转出院。腹型过敏性紫癜少见,而成人发病率更低,因缺乏特征性临床表现及特异性辅助检查,误诊率高,临床工作者应吸取经验教训,避免误诊错治。