留言板

尊敬的读者、作者、审稿人, 关于本刊的投稿、审稿、编辑和出版的任何问题, 您可以本页添加留言。我们将尽快给您答复。谢谢您的支持!

姓名
邮箱
手机号码
标题
留言内容
验证码

2026年  第24卷  第1期

全科医学论坛
全科医学视角下多病共存患者的医患共同决策
冯灿灿, 史威力, 刘志辉, 王留义
2026, 24(1): 1-4. doi: 10.16766/j.cnki.issn.1674-4152.004319
148 37
摘要:
随着预期寿命的持续增加以及生活方式风险因素的改变,多病共存已成为全球性公共卫生问题,与过早死亡、功能残疾、住院时间延长及医疗费用激增等一系列不良健康结局密切相关。此类患者疾病复杂、个体差异显著,传统的以单病种为核心的专科医疗模式在应对时常面临诊疗碎片化、治疗方案冲突、过度医疗与管理缺乏连续性等诸多局限。因此,对多病共存患者的管理,迫切需要超越单一疾病的思维,统筹兼顾个体疾病治疗与整体健康维护,并审慎平衡有限医疗资源与患者多元化的个体需求。医患共同决策作为以患者为中心的核心实践,通过整合医学证据与患者偏好制定个性化方案,在提升沟通质量、治疗依从性及患者满意度方面优势显著。全科医学凭借连续性、整体性照护特点,以“全人健康”理念为基础,通过多学科协作、长期医患信任关系构建等策略,为多病共存患者的共同决策提供了理想框架。全科医生作为协调者、信息提供者与支持者,能有效应对决策中的信息不对称、患者参与意愿差异等问题。本文系统梳理多病共存患者实施医患共同决策的挑战,包括时间限制、权力失衡、社会环境影响等,总结全科医学在整合诊疗路径、应用决策辅助工具等方面的策略,并提出未来需探索不同医疗场景的实践模式及开发专属工具,旨在为构建更具效率、更具人性化的多病共存管理体系提供理论依据与实践参考。
指南与共识
多病共存管理基层实践专家共识
中国老年保健协会数智健康保障分会
2026, 24(1): 5-19. doi: 10.16766/j.cnki.issn.1674-4152.004320
237 40
摘要:
随着我国慢性病患病率上升,多病共存已成为基层医疗面临的重大挑战。多病共存管理需面对疾病诊疗复杂性、治疗目标冲突、资源协调困难等诸多问题。为提升基层医疗机构对多病共存患者的综合管理能力,本共识由多学科专家组基于循证医学原则制定,提出了涵盖定义与评估、常见疾病簇、院内外评估路径、全科管理策略、家庭与自我管理、生活方式干预、随访与转诊、预防策略及终末期照护等内容的系统性指导意见。共识强调以患者为中心,倡导多学科协作、信息整合与连续性照护,旨在为基层医疗机构提供具有可操作性和适应性的实践指导框架,从而优化多病共存患者的健康结局和生活质量。
专题/慢性阻塞性肺疾病
慢性阻塞性肺疾病稳定期患者居家肺康复临床规范
周传林, 黄海珠, 邓宁, 刘锐, 孔晋亮
2026, 24(1): 20-26. doi: 10.16766/j.cnki.issn.1674-4152.004321
176 32
摘要:
慢性阻塞性肺疾病(chronic obstructive pulmonary disease,COPD)是严重危害我国居民健康的重大慢病之一,在2024年已成为继高血压病、2型糖尿病后第3个被纳入国家基本公共卫生服务项目的慢性病。肺康复(又称呼吸康复)被认为是慢性呼吸道疾病患者康复的核心组成部分,是COPD患者非药物治疗的核心手段。然而,传统中心化的肺康复因受限于时间、空间、交通条件、成本等多重因素,其普及性与依从性均面临严峻挑战。居家肺康复模式以其便捷、可及的优势,成为突破这一困境的有效途径。本文旨在系统阐述COPD稳定期患者居家肺康复的临床规范,从其定义、适用对象、介入时机、持续时间、评估方法、运动及呼吸处方、安全性监测、注意事项、总结与展望等关键环节进行全面论述,以期为各级医疗机构医护人员提供清晰、实用的实践指导,最终达到减轻症状、延缓疾病进展、提升患者生活质量的综合管理目标。
支气管肺泡灌洗液mGNS技术联合炎症因子对慢性阻塞性肺疾病合并真菌感染的诊断价值
代建霞, 刘媛, 于媛媛, 宋金萍
2026, 24(1): 27-30. doi: 10.16766/j.cnki.issn.1674-4152.004322
88 4
摘要:
  目的  为提高慢性阻塞性肺疾病(COPD)合并真菌感染诊断方法的准确性,针对当前传统诊断方法灵敏度和特异度均不理想的问题,本研究主要探究支气管肺泡灌洗液宏基因组二代测序(mGNS)技术联合炎症因子对该病的诊断价值,旨在为临床诊断提供可靠依据。  方法  选取2022年6月—2024年6月新疆维吾尔自治区人民医院收治的102例COPD合并真菌感染患者作为真菌组、102例COPD未合并感染患者作为无感染组。比较2组临床资料、炎症因子[肿瘤坏死因子-α(TNF-α)、白介素-6(IL-6)、白介素-2(IL-2)]水平,采用Pearson相关性分析研究炎症因子与肺功能[第1秒用力呼气量(FEV1)、用力肺活量(FVC)、FEV1/FVC]的相关性,采用ROC曲线分析mGNS、炎症因子对COPD合并真菌感染的诊断价值。  结果  真菌组糖尿病、低蛋白血症比例、血清TNF-α、IL-6、IL-2水平高于无感染组,FEV1、FVC、FEV1/FVC低于无感染组(P<0.05);血清TNF-α、IL-6、IL-2水平与肺功能均呈负相关关系(P<0.05);血清TNF-α、IL-6、IL-2诊断COPD合并真菌感染的AUC为0.793、0.754、0.778;mGNS诊断COPD合并真菌感染的灵敏度为91.18%,特异度为86.27%;mGNS联合血清TNF-α、IL-6、IL-2诊断COPD合并真菌感染的AUC为0.960,联合预测价值最大(P<0.05)。  结论  mGNS联合血清TNF-α、IL-6、IL-2在诊断COPD合并真菌感染中具有较高的临床价值。
耳部刮痧对慢性阻塞性肺疾病急性加重期伴胃肠功能紊乱患者胃肠激素水平的影响
陈晟茜, 张盼盼, 陈新鑫, 吴培焱
2026, 24(1): 31-34. doi: 10.16766/j.cnki.issn.1674-4152.004323
90 4
摘要:
  目的  探讨耳部刮痧对慢性阻塞性肺疾病急性加重期(AECOPD)伴胃肠功能紊乱患者胃肠激素水平的作用,为临床治疗提供依据。  方法  选取2023年3月—2025年3月浙江中医药大学附属第一医院收治的167例AECOPD伴胃肠功能紊乱患者,按照随机数字表法分成A组(83例)与B组(84例),A组予以药物治疗,B组予以药物治疗联合耳部刮痧刺激迷走神经。观察2组患者胃肠激素水平、胃肠道症状、中医症状积分、临床疗效及不良反应。  结果  胃泌素(GAS)、胃蛋白酶原Ⅰ(PGⅠ)、胃蛋白酶原Ⅱ(PGⅡ)在组间、各时点间、组间与时点间存在交互作用(P<0.05);2组治疗后第4天(T2)、治疗后第8天(T3)的GAS、PGⅠ、PGⅡ均升高(P<0.05),且B组T2、T3的GAS、PGⅠ、PGⅡ高于A组(P<0.05)。胃肠道症状分级评分量表(GSRS)评分在组间、各时点间、组间与时点间存在交互作用(P<0.05);2组T2、T3的GSRS评分均降低(P<0.05),且B组T2、T3的GSRS评分低于A组(P<0.05)。各项中医证候积分在组间、各时点间、组间与时点间存在交互作用(P<0.05);2组T2、T3的各项中医证候积分均降低(P<0.05),且B组T2、T3的各项中医证候积分低于A组(P<0.05)。B组总有效率高于A组[91.67%(77/84) vs. 78.31%(65/83), χ2=5.848,P=0.016]。2组不良反应发生率比较差异无统计学意义(P>0.05)。  结论  药物治疗联合耳部刮痧刺激迷走神经可改善AECOPD伴胃肠功能紊乱患者的胃肠激素水平,减轻胃肠道症状及中医临床症状,提高疗效,且安全性较高。
呼吸困难信念在慢性阻塞性肺疾病患者疲劳程度与锻炼行为感知间的中介效应
林筱筱, 梁世耀, 温小媚
2026, 24(1): 35-39. doi: 10.16766/j.cnki.issn.1674-4152.004324
76 3
摘要:
  目的  慢性阻塞性肺疾病(COPD)患者普遍存在锻炼行为不足的问题。为探索影响患者锻炼行为的内在心理机制,本研究对呼吸困难信念在COPD患者疲劳程度与锻炼行为感知间的关系进行分析,旨在为制定针对COPD患者的有效干预策略提供理论依据。  方法  选取2024年1月—2025年7月温州医科大学附属第一医院呼吸与危重症医学科收治的215例COPD患者, 剔除无效问卷,最终纳入203例。采用呼吸困难信念问卷(BBQ)、疲劳严重程度量表(FSS)、锻炼益处及障碍量表(EBBS)进行评估。采用Pearson相关性分析与SPSS 30.0统计学软件分析相关性及中介效应。  结果  COPD患者BBQ、FSS、EBBS评分分别为(36.90±5.06)分、(38.52±2.76)分、(116.45±14.68)分。EBBS评分与FSS、BBQ评分呈负相关关系,BBQ评分与FSS评分呈正相关关系。疲劳程度可负向预测锻炼行为感知水平,正向预测呼吸困难信念,增加中介变量呼吸困难信念后,疲劳程度、呼吸困难信念对锻炼行为感知水平有负向预测作用。呼吸困难信念在COPD患者疲劳程度与锻炼行为感知水平间的中介效应占比为36.43%。  结论  疲劳程度既可以直接降低COPD患者锻炼行为感知水平,又可以通过增强呼吸困难信念间接降低锻炼行为感知水平。减轻疲劳程度、降低呼吸困难信念可能是提高COPD患者锻炼行为感知水平的重要措施。
全科医学论著
年龄相关性黄斑变性合并脉络膜新生血管患者自我效能与视觉生活质量的相关性
袁冰心, 谢瞻, 张海伟
2026, 24(1): 40-44. doi: 10.16766/j.cnki.issn.1674-4152.004325
67 2
摘要:
  目的  分析年龄相关性黄斑变性(AMD)合并脉络膜新生血管(CNV)患者自我效能与视觉生活质量(VQOL)的相关性,探究影响患者视觉生活质量的因素。  方法  选取2022年1月—2023年6月南京医科大学第一附属医院收治的126例AMD合并CNV患者,入院24 h内采用自我效能量表和NEI VFQ-25中文版调研,采用Pearson法分析相关性,收集患者临床资料,按NEI VFQ-25评分中位数将患者分为VQOL良好组(69例)和不良组(57例),采用二元logistic回归分析不良VQOL的影响因素,并采用ROC曲线评估其预测价值。  结果  自我效能评分与NEI VFQ-25呈正相关关系(r=0.461,P<0.001)。AMD合并CNV患者VQOL不良的独立危险因素包括:优势眼logMAR值高、优势眼脉络膜厚度低、优势眼logCS值低以及合并糖尿病,高自我效能是其保护因素。联合预测的AUC为0.957,灵敏度为0.912、特异度为0.885,表明联合多指标预测的效能最佳,且灵敏度和特异度良好。  结论  AMD合并CNV患者自我效能与VQOL呈正相关关系,高优势眼logMAR、低优势眼脉络膜厚度、低优势眼logCS及合并糖尿病为影响VQOL的独立危险因素,高自我效能是保护因素。多指标联合预测评估不良视觉生活质量灵敏度和特异度良好,故提高自我效能、控制上述危险因素对改善患者视觉生活质量有重要意义。
KELIM评分和CRS评分在预测晚期上皮性卵巢癌新辅助化疗患者预后中的应用
张新怡, 李莹, 赵越, 韩淑琪, 王亦潇, 杨波
2026, 24(1): 45-49. doi: 10.16766/j.cnki.issn.1674-4152.004326
102 4
摘要:
  目的  探讨CA-125消除速率常数K(KELIM)及化疗反应评分(CRS)对晚期上皮性卵巢癌(AEOC)患者预后的预测价值, 同时探讨KELIM评分和CRS评分与乳腺癌易感基因(BRCA)之间的相关性。  方法  收集2014年11月—2023年5月在蚌埠医科大学第一附属医院接受中间型肿瘤细胞减灭术的83例Ⅲ~Ⅳ期AEOC患者的BRCA基因状态、KELIM评分、CRS评分及随访资料。将BRCA基因分为突变型、野生型;将KELIM分为KELIM≥1、KELIM<1;将CRS分为CRS3、CRS1+2,通过χ2检验分析BRCA状态与KELIM评分、CRS评分的相关性, log-rank检验和多变量Cox回归模型评估其与无进展生存期(PFS)、总生存期(OS)的关系。  结果  83例AEOC患者中BRCA突变组20例(24.1%),野生组63例(75.9%)。BRCA突变组KELIM≥1、CRS3比例高于野生组(P<0.05)。Cox多变量分析显示,BRCA基因、FIGO分期、R0减瘤是AEOC患者PFS的独立影响因素(P<0.05),BRCA基因、CRS评分、KELIM评分、R0减瘤是AEOC患者OS的独立影响因素(P<0.05)。  结论  CRS评分、KELIM评分可作为AEOC患者预后有价值的预测指标;BRCA突变状态与CRS3及KELIM≥1均呈显著正相关,提示其可作为AEOC患者化疗反应的良好预测指标。
基于机器学习算法构建绝经后骨质疏松症合并腰椎间盘突出症患者术后残留腰腿痛的预测模型
周敏洪, 王丽娟, 王林夏, 金海明
2026, 24(1): 50-54. doi: 10.16766/j.cnki.issn.1674-4152.004327
74 2
摘要:
  目的  本研究旨在通过机器学习算法构建预测模型,为绝经后骨质疏松症(OP)合并腰椎间盘突出症(LDH)患者术后残留腰腿痛的识别提供预测工具。  方法  回顾性选取2023年1月—2025年1月温州医科大学附属第二医院疼痛科和脊柱外科收治的200例绝经后OP合并LDH患者,按分层随机抽样法以7∶3比例分为训练集(140例)和验证集(60例)。采用LASSO回归方法筛选绝经后OP合并LDH患者术后残留腰腿痛相关特征变量,基于机器学习算法构建预测模型。采用验证集数据对模型效能进行验证。  结果  绝经后OP合并LDH患者术后残留腰腿痛发生率为48.50%(97例)。绝经后OP合并LDH患者术后残留腰腿痛的影响因素包括年龄、糖尿病、腰椎骨密度、疼痛表现、Pfirrmann分级、术前ODI。基于LASSO筛选变量构建随机森林模型,训练集、验证集预测绝经后OP合并LDH患者术后残留腰腿痛的AUC分别为0.799、0.790。糖尿病、疼痛表现、年龄、Pfirrmann分级对绝经后OP合并LDH患者术后残留腰腿痛呈正向贡献,腰椎骨密度对绝经后OP合并LDH患者术后残留腰腿痛呈反向贡献。  结论  基于随机森林算法构建的预测模型可有效预测绝经后OP合并LDH患者术后残留腰腿痛风险,有利于及早识别术后残留腰腿痛高风险患者,为临床干预提供指导。
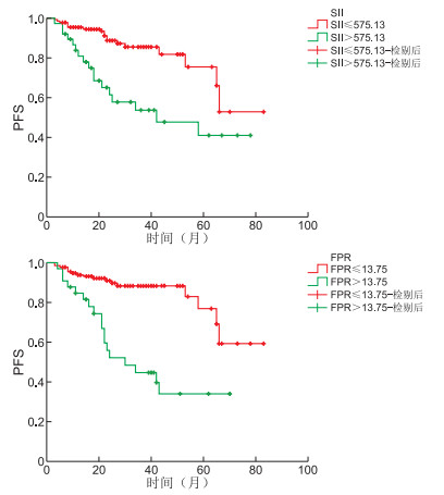
系统免疫炎症指数及纤维蛋白原与前白蛋白比值对前列腺癌预后的预测价值
完海洋, 徐卫强, 谷明利
2026, 24(1): 55-58. doi: 10.16766/j.cnki.issn.1674-4152.004328
70 4
摘要:
  目的  探讨系统免疫炎症指数(SII)及纤维蛋白原与前白蛋白比值(FPR)在前列腺癌患者中的预后价值,以期为术后患者的转归提供依据。  方法  以2014年1月—2020年9月在蚌埠医科大学第二附属医院泌尿外科行前列腺癌根治术(RP)的175例患者为研究对象,收集患者相关临床资料和随访信息。利用ROC曲线明确SII和FPR的最佳截断值,分为高SII组和低SII组、高FPR组和低FPR组,分析不同SII、FPR分组的前列腺癌患者临床病理特征,同时建立Kaplan-Meier曲线对PFS和OS进行分析,采用Cox比例风险模型分析影响前列腺癌预后的危险因素。  结果  SII和FPR的截断值分别为575.13、13.75。不同SII分组患者切缘阳性状况、术后病理分期和不同FPR分组患者精囊侵犯情况、切缘阳性状况比较,差异均有统计学意义(P<0.05)。生存分析显示,低SII组、低FPR组患者术后3、5年PFS和OS分别高于高SII组、高FPR组。与SII联合FPR 0、1分组相比,2分组的5年PFS和OS最低,差异有统计学意义(P < 0.001)。多因素分析表明,术前tPSA、SII、FPR是影响患者PFS的独立预后因素;切缘状况、SII、FPR是影响OS的独立预后因素。  结论  SII和FPR均可作为预测前列腺癌患者的预后指标,二者联合预测的准确性更佳。
自身免疫性肝炎患者病理学损伤模式与激素应答的影响因素分析
田爱平, 王富春, 毛永武, 李琼, 李子怡, 张万洁, 毛小荣, 蒋珍秀
2026, 24(1): 59-62. doi: 10.16766/j.cnki.issn.1674-4152.004329
56 3
摘要:
  目的  分析自身免疫性肝炎(AIH)患者的临床特征及肝活检病理损伤模式,以探究AIH患者激素应答与否的影响因素,为临床诊治提供新依据。  方法  回顾性分析2020年12月—2022年12月兰州大学第一医院经肝脏活组织病理检查诊断明确且经糖皮质激素治疗的84例AIH患者。获取患者的临床资料、肝活检相关信息及随访数据,根据患者6个月内对激素治疗的应答情况将其分为完全应答组(52例)与不完全应答+无应答组(32例),根据患者的肝脏病理活检结果将其分为A组(病理损伤为小叶炎,12例)、B组(病理损伤可见明显的小叶炎和界面炎,23例)、C组(病理损伤为界面炎,49例),分析病理学损伤模式等因素对AIH患者6个月内激素应答的影响。  结果  84例患者中,女性占比较高(76.2%,64例),男性占23.8%(20例),患者年龄为(50.6±11.4)岁。2组患者免疫球蛋白G(IgG)、免疫球蛋白M(IgM)及病理损伤模式差异均有统计学意义(P<0.05)。多因素分析显示,IgG、IgM及病理损伤模式均为AIH患者半年内激素应答的独立影响因素(P<0.05)。  结论  血清IgG和IgM水平较低的AIH患者相对于水平较高者,半年内发生激素完全应答的概率增加;相较于病理损伤模式为界面炎的AIH患者,以小叶炎合并界面炎为主的患者在半年内更易产生激素治疗后的完全应答。
心脏起搏器植入患者出院指导质量与出院后生活质量的现状调查及相关性分析
马芳芳, 杨丽潇, 何叶, 杨德彦, 杨竹, 夏莹
2026, 24(1): 63-66. doi: 10.16766/j.cnki.issn.1674-4152.004330
73 3
摘要:
  目的  探讨出院指导质量对心脏起搏器植入患者出院后生活质量的影响,并分析可能的影响因素,以期为临床提供更有效的出院指导策略,改善患者长期生活质量。  方法  采用横断面研究设计,便利抽样选取2023年1月—2024年8月在中国医学科学院北京协和医院接受心脏起搏器植入手术并出院的患者作为研究对象。使用出院准备度量表(RHDS)、出院指导质量问卷(QDTS)、一般自我效能量表(GES)、简明生活质量量表(SF-12)进行调查,通过Pearson相关分析及多元线性回归构建模型,评估出院指导与生活质量之间的关系,识别影响患者生活质量的因素。  结果  共纳入患者174例,其中男性98例,女性76例,年龄为18~89岁。相关分析结果显示,出院指导质量与患者出院准备度呈正相关关系(r=0.559,P<0.01),而患者出院准备度、自我效能与出院后1个月的生活质量呈正相关关系(r=0.400,P<0.01;r=0.537,P<0.01)。多元线性回归分析显示,出院指导和自我效能均为影响心脏起搏器植入患者生活质量的独立因素(B=1.429,P < 0.001;B=0.534,P=0.026)。  结论  出院指导质量及自我效能对心脏起搏器植入患者出院后的生活质量具有正向影响,因此,医护人员应重视对患者的出院指导工作,制定个性化指导计划,以提高患者的自我管理能力,改善远期生活质量。
瑞马唑仑联合艾司氯胺酮在小儿扁桃体加腺样体切除术中的应用
钱威, 张从利, 张运淳
2026, 24(1): 67-70. doi: 10.16766/j.cnki.issn.1674-4152.004331
78 3
摘要:
  目的  探讨瑞马唑仑联合艾司氯胺酮用于小儿扁桃体加腺样体切除术对患者术中血流动力学、应激反应及术后苏醒质量的影响。  方法  选取2023年1—12月于蚌埠医科大学第一附属医院全麻下行扁桃体加腺样体切除术患儿60例作为研究对象,按随机数字表法分为观察组(R组)和对照组(B组),每组30例。观察组使用瑞马唑仑诱导与维持麻醉,对照组使用丙泊酚诱导与维持麻醉,比较2组诱导前(T0)、诱导完毕时(T1)、插管时(T2)、手术开始时(T3)、手术开始后10 min(T4)以及气管插管拔出时(T5)的血流动力学和血液应激性指标变化,比较2组术后15 min(T6)、术后30 min(T7)的躁动评分和镇痛评分,比较2组拔管时间、麻醉复苏室(PACU)停留时间及术后不良反应发生率。  结果  R组于T1~T5时刻,血压与心率变化幅度低于B组,差异有统计学意义(P<0.05)。R组T4时,血清皮质醇(Cor)、去甲肾上腺素(NE)及葡萄糖(Glu)等应激指标低于B组,差异有统计学意义(P<0.05)。R组于T6、T7时躁动评分低于B组,差异有统计学意义(P<0.05)。R组拔管时间(8.90±1.18)min与PACU停留时间(30.50±2.26)min均少于B组[(9.83±1.34)min、(34.47±1.93)min,P<0.05]。  结论  瑞马唑仑与艾司氯胺酮联合用于小儿扁桃体加腺样体切除术,术中血流动力学变化更加平稳,减少术中应激反应,提高苏醒质量。
全科临床研究
丁苯酞注射液治疗急性脑梗死患者的临床疗效观察
张伟平, 骆嵩, 黄显军
2026, 24(1): 71-74. doi: 10.16766/j.cnki.issn.1674-4152.004332
107 2
摘要:
  目的  在急性脑梗死(acute cerebral infarction,ACI)患者的临床治疗中,予以丁苯酞注射液干预,观察记录患者的治疗效果。  方法  选取2021年6月—2024年6月铜陵市人民医院126例急性脑梗死患者,按随机数字表法分为观察组与对照组,每组各63例。2组均予常规药物治疗,观察组加用丁苯酞注射液,疗程2周。统计分析2组神经功能缺损(NIHSS)、日常生活能力(ADL)评分,外周血IL-23、巨噬细胞炎症因子1α(MIP-1α)等炎症指标,超氧化物歧化酶(SOD)与谷胱甘肽过氧化物酶(GSH-PX)以及一氧化氮(NO)水平等氧化应激指标及不良反应发生率。  结果  观察组治疗有效率为92.06%(58/63),显著高于对照组的73.02%(46/63),差异有统计学意义(χ2=5.714,P<0.001);与对照组比较,观察组在辅以丁苯酞注射液治疗后NIHSS评分明显降低(P<0.01),ADL评分显著升高(P<0.01),日常生活能力显著增强(P<0.01),氧化应激指标SOD、GSH-PX以及NO水平明显升高(P<0.01),炎症指标IL-23与MIP-1α水平显著降低(P<0.01)。2组患者均未出现明显的不良反应。  结论  在临床常规治疗的基础上加以丁苯酞注射液治疗,可显著提升治疗有效率,有助于患者神经功能与生活能力的恢复,明显降低炎性反应,抑制氧化应激反应,更利于血管内皮功能的恢复,安全性能较好,能显著提高患者的生活质量。
低频重复经颅磁刺激治疗帕金森病非运动症状的疗效观察
高玉良, 楼敏芳, 胡宁, 杨金美, 翁小建, 汪翔, 孙琳琳
2026, 24(1): 75-78. doi: 10.16766/j.cnki.issn.1674-4152.004333
72 2
摘要:
  目的  分析低频重复经颅磁刺激(rTMS)对帕金森病(PD)患者认知功能、睡眠质量等非运动症状的疗效,为帕金森病的治疗提供更为有效的方式。  方法  前瞻性选取2023年1月—2024年6月衢州市中医医院收治的80例PD患者作为研究对象,按照随机数字表法将研究对象分为研究组和常规组,每组各40例,所有患者均接受美芭多治疗,研究组予以rTMS治疗,常规组予以假刺激。对比2组患者临床疗效、认知功能、睡眠质量、抑郁情况等。  结果  研究组治疗后有效患者38例, 常规组有效患者30例(95.00% vs. 75.00%,P<0.05);治疗后,2组患者认知功能各维度得分均较治疗前上升,且研究组各维度得分高于常规组(P<0.05);治疗后,2组患者汉密尔顿抑郁量表(HAMD)得分均较治疗前下降,且研究组低于常规组,2组PD睡眠量表(PDSS)得分均较治疗前上升,且研究组高于常规组(P<0.05)。  结论  与假刺激比较,予以患者0.5 Hz rTMS治疗能够更好地改善患者的认知功能、睡眠质量以及抑郁情况,减轻非运动症状,进而获得更好的治疗效果。
慢病防治研究
罗沙司他对比rHuEPO治疗慢性肾脏病腹膜透析患者肾性贫血的疗效及对心脏功能的影响
王保家, 第加美, 谢伟楠, 戴荣, 韩姝, 袁玲
2026, 24(1): 79-82. doi: 10.16766/j.cnki.issn.1674-4152.004334
77 2
摘要:
  目的  比较罗沙司他与重组人促红素治疗腹膜透析患者肾性贫血的临床疗效及对心脏指标的影响。  方法  回顾性分析2022年9月—2023年9月安徽理工大学第一附属医院肾病腹透中心收治的接受规律腹膜透析合并肾性贫血的40例患者,其中使用罗沙司他治疗20例(观察组),使用重组人促红细胞生成素(rHuEPO)治疗20例(对照组)。比较2组患者贫血的疗效及对心脏指标的影响。  结果  协方差分析调整各指标治疗前水平后,治疗后观察组血红蛋白(Hb)高于对照组,差异有统计学意义[(115.45±12.94)g/L vs. (99.25±13.11)g/L,F=21.233,P<0.001]。治疗后观察组总胆固醇(TC)、左心房内径(LAD)、室间隔厚度(IVST)水平低于对照组,差异均有统计学意义(P<0.05)。  结论  罗沙司他治疗能够更有效地改善患者的贫血状况,同时可以改善患者的铁代谢和脂代谢,对患者心功能的负面影响更小,效果优于rHuEPO。
宣肺健脾汤治疗COPD稳定期伴肺脾气虚证的临床疗效及机制探讨
陶一青, 沈爱娟, 盛薇
2026, 24(1): 83-87. doi: 10.16766/j.cnki.issn.1674-4152.004335
89 3
摘要:
  目的  观察宣肺健脾汤对COPD稳定期伴肺脾气虚证患者临床症状的改善作用,并探讨起效机制。  方法  纳入2023年1月—2025年6月嘉兴市中医医院收治的100例COPD稳定期伴肺脾气虚证患者,使用随机数字表法分为对照组和观察组, 各50例,对照组实施沙美特罗替卡松联合噻托溴铵吸入治疗,观察组增加宣肺健脾汤治疗。观察患者中医证候疗效水平、COPD症状、运动耐力和肺功能改善情况,检测血清炎症因子水平,分析辅助性T细胞17(Th17)/调节性T细胞(Treg)免疫平衡状态变化情况。  结果  治疗8周后,观察组治疗总有效率高于对照组[92.00%(46/50) vs. 72.00%(36/50), χ2=6.775,P=0.009]。观察组慢性阻塞性肺疾病评分(CAT)、改良呼吸困难量表(mMRC)评分和Borg评分均低于对照组(P<0.001),6分钟步行距离(6MWD)高于对照组。观察组第一秒用力呼气容积(FEV1)、FEV1/用力肺活量(FVC)和FVC占预计值百分比(FVC% Pred)等肺功能指标均高于对照组(P<0.001)。观察组血清Th17、Treg和Th17/Treg均低于对照组(P<0.001)。观察组血清肿瘤坏死因子-α、白细胞介素-1β和白细胞介素-17等炎症因子水平均低于对照组(P<0.001)。  结论  宣肺健脾汤可有效缓解COPD稳定期伴肺脾气虚证患者中医证候和临床症状,提高肺功能和运动耐力,其机制与调节细胞免疫功能、抑制呼吸系统炎症反应相关。
妇幼卫生研究
温州地区儿童功能性便秘与饮食和肠道菌群的相关性
陈斯琼, 李威, 钟蒙蒙, 薛蓉
2026, 24(1): 88-91. doi: 10.16766/j.cnki.issn.1674-4152.004336
74 4
摘要:
  目的  分析影响温州地区儿童功能性便秘(FC)的因素,探讨FC发生与饮食习惯和肠道菌群的相关性。  方法  选取2020年12月—2022年12月于温州市中西医结合医院儿科就诊的FC患儿35例为FC组,选取同期健康儿童35例为对照组。对所有儿童和其监护人进行问卷调查。比较2组儿童的临床资料、肠道菌群特征等情况。应用多因素logistic回归分析研究影响儿童FC发生的相关因素,采用Pearson相关性分析研究相关指标与FC发生的相关性。  结果  FC组蔬菜水果摄入频率、运动频次和饮水量均少于对照组(P>0.05)。FC组Chao1指数、ACE指数和Shannon指数均低于对照组(P<0.05),而Simpson指数高于对照组(P<0.05)。蔬菜水果摄入频次高(OR=0.768)、运动频次高(OR=0.494)、饮水量多(OR=0.206)和菌群Chao1指数高(OR=0.931)均是影响儿童FC发生的保护性因素。2组儿童肠道菌群分布存在差异,FC组肠道菌群中以普氏菌属、巨单胞菌属等占主要优势,对照组以双歧杆菌、乳酸杆菌等占主要优势(LDA>4log10)。  结论  蔬菜水果摄入频次高、运动频次高、饮水量多和菌群Chao1指数高是儿童FC发生的保护性因素。肠道菌群中普氏菌属、巨单胞菌属、拟杆菌属和粪肠球菌都可能与FC发生有关。
基于机器学习的妊娠期糖尿病孕妇自发性早产风险预测模型研究
林央央, 黄莹莹, 曹晓丹, 李晓庆, 张娜
2026, 24(1): 92-95. doi: 10.16766/j.cnki.issn.1674-4152.004337
80 3
摘要:
  目的  基于4种机器学习算法构建妊娠期糖尿病(GDM)孕妇自发性早产(SPB)风险预测模型,筛选最优模型,为识别GDM孕妇发生SPB的高危群体提供参考。  方法  收集2023年1月—2025年1月在温州市人民医院分娩的221例GDM孕妇的病历资料,根据是否早产分为早产组(68例)和正常组(153例),采用多因素logistic分析研究GDM孕妇发生SPB的危险因素;将221例患者以7∶3比例随机拆分为训练集和验证集,分别采用决策树(DT)、K近邻(KNN)、随机森林(RF)、支持向量机(SVM)4种机器学习算法构建GDM孕妇SPB风险预测模型,并评估、筛选最优模型。  结果  多因素logistic分析显示,年龄≥35岁、BMI≥24、妊娠期高血压、糖尿病家族史、妊娠期阴道感染、孕晚期白细胞计数升高是GDM孕妇SPB的独立危险因素,血糖控制良好则是GDM孕妇SPB的保护因素。RF模型的AUC为0.925、准确率为0.863、精确率为0.887、灵敏度为0.729、特异度为0.975、F1分数为0.826,均优于其他3种模型。  结论  基于DT、KNN、RF、SVM 4种机器学习算法构建GDM孕妇SPB风险预测模型,RF预测效果最佳,其可有效筛查GDM孕妇发生SPB的高危人群,为临床干预方案制定提供支持。
育龄期女性生殖道感染疾病感知水平现状及影响因素分析
周丽丽, 叶小燕, 黄凤雁, 朱彦迪
2026, 24(1): 96-99. doi: 10.16766/j.cnki.issn.1674-4152.004338
65 5
摘要:
  目的  生殖道感染是威胁育龄期女性健康的常见问题,本研究旨在分析育龄期女性生殖道感染疾病感知水平现状及其影响因素,为制定分层精准的健康教育策略提供依据。  方法  选取2024年1—6月在嘉兴市第一医院妇科门诊就诊的204名育龄女性。使用一般资料调查表、简易疾病感知问卷(BIPQ)、心理弹性量表(CD-RISC)、社会支持评定量表(SSRS)进行调查,分析育龄期女性对生殖道感染疾病认知的影响因素。  结果  204名育龄期女性生殖道感染BIPQ量表评分为(44.15±7.46)分。不同文化程度、职业、居住地、家庭收入、健康教育经历、知识获取途径、心理弹性及社会支持的女性感知评分差异均有统计学意义(P<0.05)。多因素logistic回归分析结果显示,文化程度、职业、居住地、家庭收入、接受过生殖道感染健康教育、生殖道健康知识获取途径、心理弹性及社会支持均为育龄期女性生殖道感染疾病感知的影响因素(P<0.05)。  结论  育龄期女性生殖道感染疾病感知水平有待提高,且受多重因素影响,需针对关键人群制定分层、精准的健康教育策略,以提升其自我保健能力。
基社卫生研究
医护人员对未分化疾病健康科普的知信行现状及其影响因素分析
夏晴, 李鑫, 蔡梦阳, 蒋元英, 马方晖, 任菁菁
2026, 24(1): 100-103. doi: 10.16766/j.cnki.issn.1674-4152.004339
79 8
摘要:
  目的  调查医护人员对未分化疾病健康科普的知信行现状及其影响因素,为有效开展未分化疾病健康科普提供依据。  方法  于2024年6—7月,采用整群抽样法对杭甬地区1 313名医护人员以自制调查问卷进行现状调查。进一步采用Pearson分析探索医护人员健康效用值与未分化疾病健康科普的知、信、行得分的相关性。  结果  医护人员的健康效用值为0.87±0.15,未分化疾病健康科普的知识、信念、行为及问卷总分的百分制得分分别为(74.33±12.28)分、(84.47±13.32)分、(79.55±13.45)分、(78.54±9.91)分;知、信、行得分两两之间均呈正相关关系(r值分别为0.293、0.200、0.757,均P<0.05);健康效用值与知、信、行得分之间呈正相关关系(r=0.060、0.214、0.228,均P<0.05);性别、职业、婚姻、运动习惯、熬夜习惯、是否经常参与健康科普是健康效用值的影响因素(P<0.05);学历、BMI、职业、熬夜习惯、运动习惯、是否经常参与健康科普是知信行得分的影响因素(P<0.05)。  结论  医护人员对未分化疾病的健康科普知识和行为干预处于中等水平,态度较积极,且健康状况较差。为提升医护人员健康状况,提高其健康科普水平,改善未分化疾病诊疗现状,未来需加强对医护人员未分化疾病健康科普方面的培训和实践指导。
健康促进与健康教育
退休中老年人抑郁症状发展轨迹及其预测因素
黄菊菊, 马丽, 李鹏鹞, 庞佳雪, 刘乾坤, 徐洋, 陈丹丹, 谢晖
2026, 24(1): 104-108. doi: 10.16766/j.cnki.issn.1674-4152.004340
89 9
摘要:
  目的  分析退休中老年人群的抑郁症状发展轨迹,识别其潜在的预测因素,为中老年人心理健康干预提供科学依据。  方法  采用2015—2020年中国健康与养老追踪调查的数据,共选取4 435名退休中老年人作为研究对象。利用潜变量增长混合模型对退休中老年人群的抑郁症状发展轨迹进行分类,并进一步探讨影响发展轨迹的预测因素。  结果  退休中老年人群抑郁症状发展轨迹可分为4种类别:抑郁缓解型(9.85%)、抑郁加重型(18.85%)、持续高抑郁型(9.50%)和持续无抑郁型(61.80%)。Logistic回归分析发现,性别、年龄、教育程度、婚姻状况、居住地、自评健康、失能情况、住院情况、家庭子女数目、是否为城镇职工、听力能力、认知障碍、社会参与程度以及慢性病患病状况等均为退休中老年人群抑郁症状发展轨迹的影响因素。  结论  本研究强调了退休中老年人群抑郁症状发展轨迹的多样性和群体间的异质性。医务人员可以根据这些不同的轨迹特征,实施针对性的健康管理策略。通过识别抑郁症状的不同发展轨迹,可以更精确地理解抑郁症状的动态变化过程,并为开发有效的预防和干预措施提供科学依据。
自我效能与家庭支持在疾病感知和重度抑郁症患者治疗依从性间的中介作用
李雅红, 李松涛
2026, 24(1): 109-112. doi: 10.16766/j.cnki.issn.1674-4152.004341
70 6
摘要:
  目的  基于横断面调查数据,分析重度抑郁症(MDD)患者治疗依从性的现状,并验证自我效能和家庭支持在疾病感知与治疗依从性之间的中介作用模型。  方法  通过便利抽样法,纳入2022年8月—2024年8月绍兴市第七人民医院收治的160例MDD患者,选用一般自我效能量表(GSES)、Morisky用药依从性量表(MMAS-8)等进行问卷调查。自我效能和家庭支持在MDD患者疾病感知与治疗依从性间的中介作用选用Process插件进行分析。  结果  本研究收回156份(97.50%)有效问卷,MMAS-8评分为(5.72±1.36)分。Pearson相关系数分析显示,MMAS-8评分与GSES、家庭支持评分均呈正相关关系(r=0.658、0.514,P<0.001)。Bootstrap检验结果显示,间接效应值为-0.152(95% CI:-0.216~-0.107),直接效应值为-0.233(95% CI:-0.308~-0.112)。  结论  MDD患者治疗依从性有待提高,疾病感知可直接影响患者的治疗依从性,还可通过自我效能和家庭支持间接影响患者的治疗依从性。
诊断技术研究
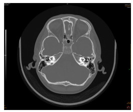
术前颞骨HRCT联合内耳MR在人工耳蜗植入患儿中的应用
武林, 贾慧惠, 陈萌萌, 顾维, 王爱平
2026, 24(1): 113-116. doi: 10.16766/j.cnki.issn.1674-4152.004342
67 2
摘要:
  目的  针对重度感音神经性耳聋患儿人工耳蜗植入术(CI)中解剖结构复杂、电极植入风险高的临床难点,探讨术前颞骨高分辨率CT(HRCT)与内耳MRI多模态影像联合评估的应用价值,为优化手术方案、降低并发症风险提供影像学依据。  方法  选取苏州大学附属儿童医院2021年1月—2024年12月行CI治疗的重度或极重度感音神经性耳聋患儿192例(215患耳),对患儿行颞骨HRCT、内耳MR检查。比较2种方法对内耳畸形的诊断效能,以及电极植入异常情况;采用单因素和logistic回归分析研究电极植入异常的危险因素。  结果  192例(215耳)患儿中内耳发育畸形共140例(159耳),部分单侧畸形耳合并多种畸形;内耳MRI检查耳蜗畸形检出率低于颞骨HRCT(P<0.05)。经颞骨HRCT联合内耳MRI检查,有29耳电极植入异常,其中不伴内耳畸形植入异常率为5.36%(3/56),低于伴内耳畸形的16.35%(26/159,P<0.05)。Logistic多因素回归分析结果显示,前庭导水管宽度较高、面神经管迷路段缺失率较高、内淋巴囊扩大程度较高、术中脑脊液压力水平较高、患儿年龄较大是电极植入异常的独立危险因素(P<0.05)。  结论  术前颞骨HRCT联合内耳MRI可客观显示患儿内耳发育情况及解剖结构,且前庭导水管宽度、面神经管迷路段完整性、内淋巴囊扩大程度、术中脑脊液压力是电极植入异常的独立影响因素。
医学综述
鞘氨醇-1-磷酸信号通路调控哮喘气道重塑的多靶点作用机制
杨智鹏, 先容, 郗域江, 张晓丽, 欧阳丽, 肖泓
2026, 24(1): 117-120. doi: 10.16766/j.cnki.issn.1674-4152.004343
68 3
摘要:
鞘氨醇-1-磷酸(S1P)信号通路是鞘脂代谢的核心环节,通过其5种G蛋白偶联受体(S1PR1-5)介导细胞增殖、迁移、存活、免疫细胞趋化和血管生成等多种生物学过程,在免疫调节、炎症反应和组织重塑中扮演关键角色。近年来,随着代谢组学及信号通路研究的深入,S1P信号通路与哮喘等慢性炎症性疾病的关联日益受到关注。哮喘的核心病理特征之一是气道重塑(AR),表现为气道平滑肌细胞(ASMC)异常增殖与迁移、上皮-间充质转化(EMT)、纤维化病变及病理性血管新生等不可逆结构性改变。目前研究表明,S1P信号通路在AR中发挥多靶点调控作用:其一方面通过激活S1PR2/3-Rho/ROCK及STAT3/YAP/Notch3等信号轴驱动ASMC增殖、迁移与收缩;另一方面协同转化生长因子-β(TGF-β)下调上皮标志物、上调间充质标志物,促进EMT及纤维化进程;同时,与血管内皮生长因子(VEGF)形成协同效应,介导病理性血管新生,加剧缺氧-炎症-重塑的恶性循环。本文系统阐述S1P信号通路在哮喘气道重塑中的多维调控网络及其作为治疗靶点的潜力,旨在为开发靶向干预气道重塑的多靶点治疗新策略提供理论依据。
基于多维度微创技术的下颌阻生智齿拔除术优化研究
陈新, 鲁秀真, 黄传龙, 李扬
2026, 24(1): 121-125. doi: 10.16766/j.cnki.issn.1674-4152.004344
130 5
摘要:
下颌阻生智齿拔除术是一项常见但复杂的口腔外科手术,由于手术区域受限、邻近重要解剖结构复杂,以及智齿阻生程度及牙根形态的多样性,使得这类手术的难度较大,术后并发症的风险也相对较高,目前面临术前镇静与疼痛控制不足、术后肿胀与出血管理困难以及神经损伤风险等挑战,在微创拔牙方面尚缺乏统一且系统的技术标准。本文基于临床实践经验,通过对围手术期镇静及疼痛控制策略、阻生智齿拔牙术围手术期抗生素使用规范、基于多维度阻力分析的规范化拔牙方式、下颌智齿拔除术中翻瓣方式的灵活选择、个性化下颌智齿拔除策略、拔牙创口封闭的考量等方面进行分析,提出了“多维度微创技术”这一新概念,(1)通过在围手术期采用镇静、有效的疼痛管理及规范化的抗生素预防性使用,减轻患者的焦虑与不适感,从而提高整体手术体验;(2)通过改进拔牙操作方法和灵活选择翻瓣技术,结合多维度阻力分析,优化手术策略,减少手术过程中的组织创伤;(3)通过灵活的创口封闭方式,并采取下牙槽神经保护措施,以最大限度地预防术后并发症;(4)标准化手术流程推动了个性化智齿拔除策略的实施,使得手术流程更加精细与高效。本研究旨在推动其在下颌阻生智齿拔除中的应用与发展,提升手术效果并减少并发症的发生。
预防/保健 中医/康复
祛湿健发汤对脾虚湿滞型脂溢性脱发患者代谢指标及心理状态的影响
陈彩飞, 邱础, 朱晓燕, 王晖, 蔡路炜
2026, 24(1): 126-130. doi: 10.16766/j.cnki.issn.1674-4152.004345
109 3
摘要:
  目的  脂溢性脱发是临床常见毛发疾病,脾虚湿滞是其重要证型之一,主要表现为脱发、糖脂代谢紊乱及焦虑、抑郁等,西医尚缺乏特异性治疗手段,仅进行对症治疗,为此本研究通过祛湿健发汤治疗脂溢性脱发(脾虚湿滞型),并探讨其对患者代谢与心理状态的影响。  方法  回顾性纳入2023年6月—2024年6月绍兴市中医院收治的96例男性脂溢性脱发(脾虚湿滞型)患者,根据不同的治疗方案将患者分为西医组(48例)与结合组(48例)。西医组予以米诺地尔外用,结合组在西医组的基础上给予祛湿健发汤治疗;比较2组临床疗效、中医证候评分、血脂代谢指标及心理状态。采用Spearman相关系数分析疾病严重程度与代谢水平、心理状态的相关性。  结果  结合组总有效率(91.67%,44/48)显著高于西医组[72.92%(35/48), χ2=5.790,P<0.05]。治疗后,2组患者瘙痒、鳞屑、油腻评分均下降,且结合组低于西医组(P<0.05)。治疗6个月后,结合组总胆固醇(TC)、甘油三酯(TG)及低密度脂蛋白胆固醇(LDL-C)水平均下降,但西医组水平无显著变化(P>0.05),且结合组低于西医组(P < 0.05)。治疗6个月后结合组抑郁、焦虑、压力及抑郁-焦虑-压力量表(DASS-21)评分均低于西医组(P<0.05)。Spearman相关分析显示,疾病严重程度与TG、TC、LDL-C、压力评分及DASS-21评分呈正相关关系(P<0.05),与HDL-C呈负相关关系(P<0.05)。  结论  祛湿健发汤用于脂溢性脱发(脾虚湿滞型)患者,临床疗效显著,可降低中医证候评分,改善代谢水平及心理状态。
全科医学教育研究
广西农村执业医师多重慢病诊疗认知状况和培训需求调查
彭厚瑄, 申颖, 赵璨, 韦耿贵, 奚谦, 陈培萌
2026, 24(1): 131-135. doi: 10.16766/j.cnki.issn.1674-4152.004346
78 9
摘要:
  目的  本研究旨在了解广西农村执业医师对多重慢病诊疗的认知现状和培训需求,为有效开展相关教育培训提供有益参考。  方法  2024年2—8月,采用分层抽样法和整群抽样法抽取广西2家县级综合医院和32家乡镇卫生院为样本机构,通过问卷星向样本机构全体执业医师发放自设问卷,以县级医院执业医师为非基层医疗机构组,乡镇卫生院执业医师为基层医疗机构组。采用χ2检验等统计学方法分析农村执业医师对多重慢病诊疗的认知现况和培训需求。  结果  发放问卷1 200份,最终回收994份,有效回收率为82.8%。绝大多数农村执业医师在多重慢病筛查、评估、管理、转诊及临床指南等题项中选择“一般了解”或“较少了解”或“完全不了解”,但较少人选择“了解”或“非常了解”;基层医疗机构组对某些题项的认知状况优于非基层医疗机构组(P < 0.05)。农村执业医师对多重慢病相关培训需求强烈,倾向于线上线下结合、理论与实践并重、中低频次的培训模式和频率。  结论  广西农村执业医师自感多重慢病诊疗的认知水平有限,尤其缺乏多重慢病筛查、评估、管理及临床指南等知识和技能;建议采取线上线下混合式、理论结合实践的培训模式加强相关培训,切实提高农村执业医师多重慢病的防治能力。
全科医师社区师资培训效果评价及影响因素分析
曲云慧, 赵淞, 傅薇, 李继鹏, 刘婷, 胡杰, 张云坤, 顾洁芳
2026, 24(1): 136-139. doi: 10.16766/j.cnki.issn.1674-4152.004347
73 9
摘要:
  目的  本研究旨在评价全科医师社区师资培训的实施效果,识别影响培训的关键因素,并基于结果提出优化培训模式的建议,以提高社区师资培训的实际成效。  方法  采用问卷调查法,对参加2021年云南大学附属医院全科住院医师规范化培训骨干师资培训班中的45名社区师资学员进行调查。  结果  在师资培训班满意度评价方面:75.6%(34/45)的学员对课程内容表示非常满意,22.2%(10/45)表示满意,2.2%(1/45)表示一般;53.3%(24/45)的学员对师资培训班改变自身知识结构表示非常满意,44.4%(20/45)表示满意,2.2%(1/45)表示一般;在能力提升评价方面:100.0%(45/45)的学员认为培训有助于带教能力的提升,95.6%(43/45)认为培训有助于慢性病管理能力的提升,但认为对提升科研能力有帮助的仅占88.9%(40/45);且研究表明,学员在师资培训前后对课程内容了解程度存在差异;其中,线上培训方式为影响师资培训效果的首位因素,其次是工作与学习相矛盾;学员对最优教学方法的需求依次是参与式教学、案例教学、传统教学;学员培训前后每半年带教人数及开展教学活动次数存在差异。  结论  定期举办全科医师师资培训班能够有效提升社区师资的知识水平、临床带教能力和慢性病管理能力。培训应注重科研意识及科研能力的培养,采用线上线下相结合的方式,更多运用案例教学和参与式教学,提高内容的适用性和参与度,确保培训质量,打造高素质的全科医师社区师资队伍。
专升本护生志愿服务动机现状及其与专业认同的相关性
刘敏, 黄琼蕾, 邓音韵
2026, 24(1): 140-144. doi: 10.16766/j.cnki.issn.1674-4152.004348
86 3
摘要:
  目的  调查并分析护理专升本学生志愿服务动机水平现状及相关影响因素,并进一步探索志愿服务动机与专业认同之间的关系,为提升专升本护生志愿服务动机、推动社会志愿服务体系建设提供新思路和参考依据。  方法  便利抽取2023年就读于安徽医科大学临床医学院护理专业的374名专升本学生作为研究对象,采用一般资料调查表、志愿服务动机量表和专业认同问卷收集自愿参与的研究对象的一般资料、志愿服务动机和专业认同水平。采用四分位数、中位数描述收集的资料,通过Kruskal-Wallis H检验及Mann-Whitney U检验对不同特征下护生志愿服务动机和专业认同量表得分分别进行组间比较,采用Spearman相关分析法探究专升本护生志愿服务动机与专业认同度之间的关系。  结果  专升本护生志愿服务动机得分为67.50(60.00, 72.30)分,与护生民族、母亲受教育程度及学生干部任职经历存在显著相关性(P<0.05)。专升本护生专业认同得分为87.00(76.00, 92.00)分,与志愿服务动机呈显著正相关关系(r=0.527, P<0.01)。  结论  护理专升本学生志愿服务动机处于中等水平,有待进一步增强,受护生民族、母亲受教育程度、学生干部任职经历影响,并与护生专业认同感呈正相关关系。护理教育者应重视专升本护生专业认同教育和志愿意识培养,进而增强护生志愿服务动机。
医学综合研究
乡村医生脑卒中防治知信行现状调查及分析
郑雅兴, 柳俊杰, 杨德, 隆军, 熊桃, 陈长蓉
2026, 24(1): 145-148. doi: 10.16766/j.cnki.issn.1674-4152.004349
68 13
摘要:
  目的  调查乡村医生脑卒中防治知识、态度与行为(KAP)的现状,并分析其影响因素,为制定有效的干预措施提供理论依据,从而提升乡村医生的脑卒中防治能力。  方法  采用方便抽样法,于2024年7月从重庆市内24个乡镇抽取460名乡村医生,使用自制调查问卷,结合现场调查与电子问卷的形式开展问卷调查,了解乡村医生在脑卒中防治中的KAP现状。采用成组t检验、方差分析和多重线性回归分析,探讨影响乡村医生脑卒中防治知信行的相关因素。  结果  回收有效问卷436份,有效回收率为94.78%。乡村医生脑卒中防治KAP得分为(159.10±26.32)分,处于中等水平;其中,知识维度得分中等,为(99.20±19.38)分;态度维度得分较高,为(32.27±5.37)分;行为维度得分中等,为(27.63±5.83)分。乡村医生脑卒中防治知识、态度及行为3个维度之间呈正相关关系(P<0.001)。乡村医生脑卒中防治KAP影响因素是村民认可度、卒中培训意愿、参加卒中培训、全程管理卒中患者、防治工作意愿。  结论  乡村医生脑卒中防治态度较积极,但知识和行为水平有待提高。建议针对乡村医生开展脑卒中防治专项培训,推动农村脑卒中防治工作全面开展。
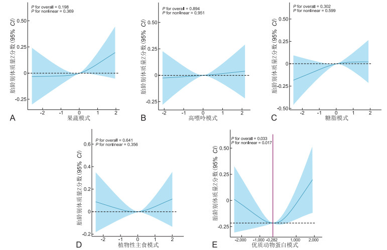
父亲膳食模式与辅助生殖子代出生体重的关联
朱芸芸, 杨东见, 冷姝芳, 李红
2026, 24(1): 149-154. doi: 10.16766/j.cnki.issn.1674-4152.004350
48 5
摘要:
  目的  探索父亲膳食模式与辅助生殖(assisted reproductive technology, ART)子代出生体重之间的关联性,分析影响子代体重的相关膳食因素,为ART子代健康发育提供依据。  方法  选取2017年1月1日—2021年12月31日在中国国家出生队列辅助生殖技术子代胚胎源性疾病队列研究(China National Birth Cohort, CNBC)项目招募的904组父亲及ART子代为研究对象,使用半定量食物频率问卷收集膳食摄入情况,主成分分析法提取膳食模式,利用限制性立方函数及多因素logistic回归分析父亲膳食模式和ART子代出生体重的关联。  结果  通过主成分分析法归纳出“果蔬”模式、“高嘌呤”模式、“植物性主食”模式、“优质动物蛋白”模式以及“糖脂”模式5种膳食模式。按膳食模式得分四分位数分组,调整协变量后,与父亲处于“优质动物蛋白”模式Q1(最低)组相比,处于Q4组(最高)的ART子代发生小于胎龄儿(small for gestational age, SGA)的风险更低(OR=0.257,95% CI: 0.079~0.712),且随分值增加SGA风险降低(P-trend=0.007)。  结论  父亲采取“优质动物蛋白”的膳食模式可能降低ART子代罹患SGA的风险。父亲应在备孕期间增加优质蛋白摄入,保障胎儿的正常生长发育,降低不良出生结局的风险。
全科护理研究
基于阶梯式护理模式的睡眠管理方案在NICU早产儿中的应用
黄小夏, 高萍, 胡思思, 郑冰清, 陈霜, 徐小群
2026, 24(1): 155-159. doi: 10.16766/j.cnki.issn.1674-4152.004351
99 2
摘要:
  目的  基于阶梯式护理模式构建早产儿睡眠管理方案并评价其应用效果,为临床上早产儿睡眠的保护和干预提供借鉴。  方法  选取2023年9—12月于温州医科大学附属第一医院新生儿科住院的60例早产儿作为研究对象,按照入院先后顺序分为观察组和对照组,各30例,对照组采用常规护理,观察组在对照组的基础上应用早产儿睡眠管理方案进行护理。比较2组早产儿24 h平均睡眠时长、日间平均睡眠时长、夜间平均睡眠时长、平均体质量增长速度、平均心率、平均住院时间及平均血氧饱和度。  结果  观察组24 h平均睡眠时长[(18.40±1.87)h]、日间平均睡眠时长[9.00(8.75, 10.00)h]均长于对照组[(16.00±2.45)h、7.00(6.00, 8.00)h,P < 0.001];2组夜间平均睡眠时长差异无统计学意义[9.00(8.00, 10.00)h vs. 9.00(8.00, 10.00) h, P>0.05]。观察组平均体质量增长速度为(20.50±0.43)g/(kg·d),快于对照组[(16.37±0.50)g/(kg·d)],平均心率为(135.83±13.91)次/min,慢于对照组[(145.07±12.25)次/min],差异均有统计学意义(P < 0.05)。2组平均住院时间、平均血氧饱和度比较差异均无统计学意义[25.50(20.00, 32.00)d vs. 30.00(25.00, 37.00)d、(95.13±3.15)% vs.(96.20±2.80)%,P>0.05]。  结论  基于阶梯式护理模式的早产儿睡眠管理方案能增加早产儿睡眠时长、降低早产儿心率、提高体质量增长速度,值得在临床推广。
基于虚拟现实的介入护理在经支气管动脉栓塞术咯血患者围手术期护理中的应用
张爱莲, 宋彪, 柏家元, 芮毛利, 赵雪晨, 闵旭红
2026, 24(1): 160-163. doi: 10.16766/j.cnki.issn.1674-4152.004352
57 3
摘要:
  目的  基于虚拟现实技术构建咯血患者的介入护理方案,观察其在支气管动脉栓塞术(BAE)患者围手术期护理中的应用效果,为提高患者生活质量和满意度,降低并发症发生率提供依据。  方法  选择2023年12月—2024年12月安徽省胸科医院收治的80例经BAE治疗的咳血患者,采用随机数字表法分为对照组(40例)和观察组(40例),分别给予常规护理和基于虚拟现实的介入护理。比较2组患者治疗效果、住院时间、再咯血量、生活质量、护理满意度、心理状态以及并发症发生率。  结果  观察组患者治疗总有效率为95.00%(38/40),高于对照组的77.50%(31/40,χ2=5.165,P < 0.05)。护理干预后,观察组患者住院时间和再咯血量均低于对照组(P < 0.05)。护理干预后,2组生活质量评分均提高,且观察组生活质量评分高于对照组[(96.67±4.49)分vs. (80.23±5.66)分, P < 0.05]。护理干预后,观察组总满意度为97.50%(39/40),高于对照组的80.00%(32/40,χ2=6.135,P < 0.05)。护理干预后,2组的焦虑自评量表(SAS)评分和抑郁自评量表(SDS)评分均降低(P < 0.05),且观察组评分低于对照组(P < 0.05)。护理干预后,观察组并发症发生率低于对照组[2例(5.00%)vs. 8例(20.00%), χ2=4.114, P < 0.05]。  结论  基于虚拟现实的介入护理可显著提高咯血患者BAE治疗有效率、护理满意度、生活质量,降低并发症发生率,缓解焦虑和抑郁状态,值得临床推广使用。
基于无陪护管理模式下正念减压对层流病房医护人员共情疲劳的影响
林婉冰, 蒋娇娇, 徐芳芳, 胡红燕, 何江娟
2026, 24(1): 164-167. doi: 10.16766/j.cnki.issn.1674-4152.004353
67 4
摘要:
  目的  探讨无陪护管理模式下正念减压对层流病房医护人员共情能力的影响,为优化层流病房医护人员心理干预策略、提升其心理健康水平提供科学依据。  方法  选取2023年11月—2024年11月在浙江省中医院层流病房工作的44名医护人员为研究对象,按照随机数字表法将其分为对照组(22名)和干预组(22名)。对照组除日常工作外不增加任何活动,干预组采取正念减压辅助层流病房医护人员共情能力的训练,通过专业培训的正念导师带领干预组研究对象进行正念练习,包括正念呼吸、身体扫描、正念冥想、正念行走等,为期8周。通过使用压力感知量表、匹兹堡睡眠质量指数与中文版共情疲劳量表来对比层流病房医护人员的干预前后的表现,以此衡量其影响并观察成效。  结果  干预后,干预组的失控感、紧迫感和压力知觉总分[(4.36±1.09)分、(4.41±1.05)分、(8.77±1.66)分]均低于对照组[(5.77±1.90)分、(5.77±1.74)分、(11.64±2.44)分],匹兹堡睡眠质量指数量表总分低于对照组,差异均有统计学意义(P < 0.05),干预组共情疲劳中的职业倦怠和二次创伤得分低于对照组,共情满意得分[(48.41±2.22)分]高于对照组[(36.59±4.83)分],差异有统计学意义(P < 0.001)。  结论  正念减压疗法能有效降低层流病房医护人员的共情疲劳,提高工作效率,增加自我认同感,提升医护人员心理健康水平,具有推广价值。
全科诊疗实践
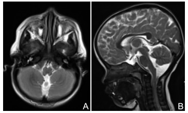
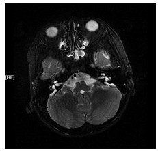
EBF3变异所致肌张力减退-共济失调和发育迟缓综合征患儿1例及文献复习
李慧晶, 阮妙华, 王丹, 卢朝升
2026, 24(1): 168-170. doi: 10.16766/j.cnki.issn.1674-4152.004354
82 5
摘要:
分析2024年8月就诊于温州医科大学附属第一医院儿童神经内科的1例肌张力减退-共济失调-发育迟缓综合征(hypotonia-ataxia-developmental delay syndrome,HADDS)患儿的临床表型及遗传学病因,患儿为1岁2个月,因“发育迟缓半年余”就诊。临床表现为肌张力减退、全面发育迟缓、异常面部特征及共济失调等。家系全外显子组测序发现患儿EBF3基因存在c.1038C>A(p.Y346*)无义变异,Sanger测序验证父母均无此变异。经分析,依据美国医学遗传学与基因组学学会标准,该变异被判定为致病性。通过复习文献总结相关疾病临床表现与遗传学特征,该病例不仅扩展了EBF3变异所致HADDS的变异谱,还丰富了其临床表型,为该疾病研究提供了新的案例与依据。
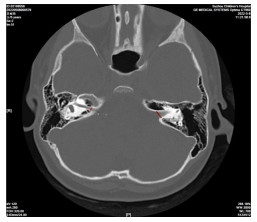
突发性耳聋合并非ST段抬高型心肌梗死1例
刘阳, 冯勇军, 刘千涵, 邓宇元
2026, 24(1): 171-174. doi: 10.16766/j.cnki.issn.1674-4152.004355
87 6
摘要:
本文报道1例以突发性感音神经性耳聋为首诊断入院的患者,在治疗过程中出现胸闷不适,后诊断为急性非ST段抬高型心肌梗死。尽管突发性感音神经性听力损失(sudden sensorineural hearing loss,SSNHL)的病因尚不清楚,目前认为可能的机制包括病毒感染、内耳微循环障碍、免疫因素、膜迷路积水等,但越来越多的证据表明其潜在的心血管病理机制。近期相关研究揭示了急性心肌梗死(acute myocardial infarction,AMI)和SSNHL之间的关联,本病例的结果进一步支持了SSNHL发展中潜在的血管病理机制,并强调了临床医生处理SSNHL患者时需要警惕AMI的发生和发展。