2026 Vol. 24, No. 1

General Practice Forum
Shared decision-making in patients with multimorbidity from the perspective of general practice
FENG Cancan, SHI Weili, LIU Zhihui, WANG Liuyi
2026, 24(1): 1-4. doi: 10.16766/j.cnki.issn.1674-4152.004319
44 30
Abstract:
With the continuous increase in life expectancy and changes in lifestyle-related risk factors, multimorbidity has become a global public health challenge and is closely associated with a series of adverse health outcomes, including premature death, functional disability, prolonged hospitalization, and escalating healthcare costs. Patients with multimorbidity often present with complex clinical conditions and significant individual differences. The traditional specialty-oriented, single-disease-centered medical models frequently face limitations like fragmented diagnosis and treatment, conflicting treatment recommendations, overmedicalization, and lack of continuity in care. Thus, effective management of patients with multimorbidity requires moving beyond a single-disease view, integrating individual disease treatment with overall health maintenance, and carefully balancing limited medical resources against the diverse individual needs of patients. Shared decision-making (SDM), as a core patient-centered practice, facilitates the development of personalized care plans by integrating medical evidence with patient ' s preferences, demonstrating significant advantages in improving communication quality, treatment adherence, and patient satisfaction. General practice, characterized by continuity and holistic care and is based on the concept of "whole-person health", provides an ideal framework for SDM in patients with multimorbidity through strategies such as multidisciplinary collaboration and the establishment of long-term. General practitioners, acting as coordinators, information providers, and supporters, can effectively address issues such as information asymmetry and varying degrees of patient engagement during decision-making process. This article systematically reviews the challenges with implementing SDM in patients with multimorbidity, including time constraints, power imbalances, and the influence of social environment. It also summarizes strategies in general practice-based strategies for integrating care pathways and applying decision support tools, and proposes the need for future exploration of practical SDM models and the development of context-specific tools for different medical scenarios in the future. The aim is to offer theoretical foundations and practical guidance for constructing a more efficient and patient-centered multimorbidity management system.
Guidelines and Consensus
Expert consensus on primary care practice for the management of multimorbidity
The Digital and Intelligent Health Security Branch of the China Association for Health Care of the Elderly
2026, 24(1): 5-19. doi: 10.16766/j.cnki.issn.1674-4152.004320
75 31
Abstract:
With the acceleration of population aging and rising prevalence of chronic diseases in China, multimorbidity has emerged as a major challenge for primary healthcare. The management of patients with multimorbidity is characterized by substantial clinical complexity, potential treatment conflicts, and challenges in resource coordination. To enhance the comprehensive management capacity of primary healthcare institutions, this expert consensus was developed by a multidisciplinary panel in accordance with evidence-based principles. It provides systematic guidance across key domains, including the definition and assessment of multimorbidity, disease cluster typologies, hospital and community-based evaluation strategies, principles of general practice management, individualized care, family and self-management, lifestyle interventions, follow-up and referral procedures, prevention strategies, and end-of-life care. Emphasizing person-centered care, multidisciplinary collaboration, information integration, and continuity of care, this consensus aims to deliver practical and adaptable recommendations to primary care institutions, ultimately improving health outcomes and quality of life for patients with multimorbidity.
Special Topic/Chronic Obstructive Pulmonary Disease
Clinical practice protocol for home-based pulmonary rehabilitation in patients with stable chronic obstructive pulmonary disease
ZHOU Chuanlin, HUANG Haizhu, DENG Ning, LIU Rui, KONG Jinliang
2026, 24(1): 20-26. doi: 10.16766/j.cnki.issn.1674-4152.004321
52 26
Abstract:
Chronic obstructive pulmonary disease (COPD) is one of the major chronic diseases that poses a serious threat to population health in China. In 2024, it was incorporated into the National Basic Public Health Service Program as the third targeted chronic disease, following hypertension and type 2 diabetes. Pulmonary rehabilitation (also known as respiratory rehabilitation) is recognized as a core component of rehabilitation for patients with chronic respiratory diseases and represents a cornerstone of non-pharmacological treatment for COPD patients. However, the widespread implementation of traditional center-based pulmonary rehabilitation is limited by multiple barriers, including time constraints, geographical distance, transportation difficulties, and financial cost, resulting in suboptimal participation and adherence. The home-based pulmonary rehabilitation model, with its advantages of convenience and accessibility, has emerged as an effective solution to overcome these difficulties. This article aims to systematically outline a clinical protocol for home-based pulmonary rehabilitation in patients with stable COPD. It comprehensively discusses key aspects, including definition, target population, optimal timing and duration of intervention, assessment methods, exercise and breathing prescriptions, safety monitoring, precautions, as well as a summary of future prospective. The goal is to provide clear and practical guidance for healthcare professionals across different levels of medical institutions, ultimately supporting comprehensive disease management aimed at symptom relief, delayed disease progression, and improved quality of life in patients with COPD.
Diagnostic value of bronchoalveolar lavage fluid mGNS technology combined with inflammatory factors for chronic obstructive pulmonary disease complicated with fungal infection
DAI Jianxia, LIU Yuan, YU Yuanyuan, SONG Jinping
2026, 24(1): 27-30. doi: 10.16766/j.cnki.issn.1674-4152.004322
28 0
Abstract:
  Objective  To improve the accuracy of diagnostic methods for chronic obstructive pulmonary disease (COPD) complicated with fungal infections. In response to the unsatisfactory sensitivity and specificity of traditional diagnostic methods, the main focus of this study is to explore the diagnostic value of bronchoalveolar lavage fluid mGNS technology combined with inflammatory factors for this disease, aiming to provide a reliable basis for clinical diagnosis.  Methods  A total of 102 patients with COPD complicated with fungal infection admitted to the People ' s Hospital of Xinjiang Uygur Autonomous Region from June 2022 to June 2024 were selected as the fungal infection group, and 102 patients with COPD without infection were selected as the non-infection group. The clinical data and levels of inflammatory factors [tumor necrosis factor-α (TNF-α), interleukin-6 (IL-6), interleukin-2 (IL-2)] were compared between the two groups. Pearson analysis was used to investigate the correlation between inflammatory factors and lung function [forced expiratory volume in one second (FEV1), forced vital capacity (FVC), FEV1/FVC]. Receiver operating characteristic (ROC) curves were used to analyze the diagnostic value of mGNS and inflammatory factors for COPD complicated with fungal infections.  Results  The proportion of diabetes and hypoproteinemia, serum TNF-α, IL-6, and IL-2 levels in the fungal infection group were higher than those in the non-infection group, while FEV1, FVC, and FEV1/FVC were lower than those in the non-infection group (P < 0.05). The levels of serum TNF-α, IL-6, and IL-2 were negatively correlated with lung function (P < 0.05). The AUC of serum TNF-α, IL-6, and IL-2 for diagnosing COPD with fungal infection were 0.793, 0.754, and 0.778, respectively. The sensitivity and specificity of mGNS in diagnosing COPD complicated with fungal infection were 91.18% and 86.27%, respectively. The AUC of mGNS combined with serum TNF-α, IL-6, and IL-2 for the diagnosis of COPD with fungal infection was 0.960, and the combined predictive value was the highest (P < 0.05).  Conclusion  The combination of mGNS and serum TNF-α, IL-6, and IL-2 has high clinical value in the diagnosis of COPD complicated with fungal infection.
Effect of auricular scraping on gastrointestinal hormone levels in patients with acute exacerbation of chronic obstructive pulmonary disease complicated with gastrointestinal dysfunction
CHEN Shengxi, ZHANG Panpan, CHEN Xinxin, WU Peiyan
2026, 24(1): 31-34. doi: 10.16766/j.cnki.issn.1674-4152.004323
37 1
Abstract:
  Objective  To explore the effect of auricular scraping on the levels of gastrointestinal hormones in patients with acute exacerbation of chronic obstructive pulmonary disease (AECOPD) complicated with gastrointestinal dysfunction, and to provide evidence for clinical management.  Methods  A total of 167 patients with AECOPD complicated with gastrointestinal dysfunction admitted to the First Affiliated Hospital of Zhejiang Chinese Medical University from March 2023 to March 2025 were randomly divided into the group A (83 cases) and the group B (84 cases). The group A were given drug treatment, and the group B were given drug treatment combined with auricular scraping to stimulate the vagus nerve. The gastrointestinal hormone levels, gastrointestinal symptoms, TCM symptom scores, clinical efficacy and adverse reactions of the two groups were observed.  Results  A significant interaction was observed among group, time point, and their interaction (group-by-time) for the levels of gastrin (GAS), pepsinogen Ⅰ (PG Ⅰ), and pepsinogen Ⅱ (PG Ⅱ, P < 0.05). The GAS, PG Ⅰ and PG Ⅱ of T2 and T3 in the two groups were increased (P < 0.05), and the GAS, PG Ⅰ and PG Ⅱ of T2 and T3 in the group B were higher than those in the group A (P < 0.05). A significant interaction was observed for the gastrointestinal symptom rating scale (GSRS) scores between groups, over time points, and for their interaction (group × time, P < 0.05). The GSRS scores of T2 and T3 in the two groups were decreased (P < 0.05), and the GSRS scores of T2 and T3 in the group B were lower than those in the group A (P < 0.05). The TCM syndrome scores of T2 and T3 in the two groups were decreased (P < 0.05), and the TCM syndrome scores of T2 and T3 in the group B were lower than those in the group A (P < 0.05). The total effective rate of group B was higher than that of group A [91.67% (77/84) vs. 78.31% (65/83), χ2=5.848, P=0.016]. There was no significant difference in the incidence of adverse reactions between the two groups (P>0.05).  Conclusion  The combination of medication and auricular scraping therapy, which stimulates the vagus nerve can improve the gastrointestinal hormone level of AECOPD patients with gastrointestinal dysfunction, reduce gastrointestinal symptoms and clinical symptoms of traditional Chinese medicine, improve the clinical efficacy, and has high safety.
The mediating effect of dyspnea belief between fatigue degree and perceived exercise behavior in patients with chronic obstructive pulmonary disease
LIN Xiaoxiao, LIANG Shiyao, WEN Xiaomei
2026, 24(1): 35-39. doi: 10.16766/j.cnki.issn.1674-4152.004324
23 0
Abstract:
  Objective  Patients with chronic obstructive pulmonary disease (COPD) commonly exhibit insufficient exercise behavior. To explore the intrinsic psychological mechanisms influencing patients ' exercise behaviors, this study analyzed the relationship between dyspnea belief and the perception of fatigue and exercise behaviors in COPD patients, aiming to provide a theoretical basis for formulating effective intervention strategies for this population.  Methods  A total of 215 COPD patients admitted to the Department of Respiratory and Critical Care Medicine at the First Affiliated Hospital of Wenzhou Medical University from January 2024 to July 2025 were selected for this study. After excluding invalid questionnaires, a final total of 203 cases were included. Assessments were conducted using the beliefs about breathlessness questionnaire (BBQ), the fatigue severity scale (FSS), and the exercise benefits/barriers scale (EBBS). The Pearson correlation coefficient and SPSS 30.0 statistical software were employed to analyze correlations and mediating effects.  Results  The BBQ, FSS, and EBBS scores of COPD patients were (36.90±5.06) points, (38.52±2.76) points, and (116.45±14.68) points, respectively. The EBBS score was negatively correlated with the FSS and BBQ scores, while the BBQ score was positively correlated with the FSS score. Fatigue degree could negatively predict the perceived level of exercise behavior and positively predict the dyspnea belief. After adding the mediating variable of the dyspnea belief, fatigue degree, and the dyspnea belief had a negative predictive effect on the perceived level of exercise behavior. The mediating effect of the dyspnea belief between the fatigue degree and the perceived level of exercise behavior in COPD patients accounted for 36.43%.  Conclusion  The degree of fatigue can not only directly reduce the perceived level of exercise behavior in COPD patients, but also indirectly reduce the perceived level of exercise behavior by enhancing the dyspnea belief. Reducing the degree of fatigue and lowering dyspnea belief may become important measures to improve the perceived level of exercise behavior in patients with COPD.
General Practice Research
The correlation between self-efficacy and visual quality of life in patients with age-related macular degeneration combined with choroidal neovascularization
YUAN Bingxin, XIE Zhan, ZHANG Haiwei
2026, 24(1): 40-44. doi: 10.16766/j.cnki.issn.1674-4152.004325
21 0
Abstract:
  Objective  To analyze the correlation between self-efficacy and visual quality of life (VQOL) in patients with age-related macular degeneration (AMD) combined with choroidal neovascularization (CNV), and to explore the influencing factors of patients ' visual quality of life.  Methods  A total of 126 patients with AMD and CNV admitted to the First Affiliated Hospital of Nanjing Medical University from January 2022 to June 2023 were selected. Within 24 hours of admission, the self-efficacy scale and NEI VFQ-25 Chinese version were used for research. The Pearson method was used to analyze the correlation, and clinical data of patients were collected. According to the median NEI VFQ-25 score, patients were divided into the good VQOL group (69 cases) and the poor VQOL group (57 cases). Binary logistic regression was used to analyze the influencing factors of poor VQOL, and the ROC curve was used to evaluate its predictive value.  Results  There was a positive correlation between self-efficacy score and NEI VFQ-25 (r=0.461, P < 0.001). The independent risk factors for poor VQOL in AMD patients with CNV include: high logMAR value in dominant eyes, low choroidal thickness in dominant eyes, low logCS value in dominant eyes, and diabetes. In addition, high self-efficacy was a protective factor. The AUC of the joint prediction was 0.957, with a sensitivity of 0.912 and a specificity of 0.885, indicating that the joint multi-index prediction has the best performance and good sensitivity and specificity.  Conclusion  The self-efficacy of AMD patients with CNV was positively correlated with VQOL. LogMAR of high dominance eyes, choroidal thickness of low dominance eyes, logCS of low dominance eyes, and diabetes were independent risk factors affecting VQOL, and high self-efficacy was a protective factor. The sensitivity and specificity of multi-index joint prediction and evaluation of poor visual quality of life are good, so improving self-efficacy and controlling the above risk factors are of great significance for improving patients ' visual quality of life.
The application of KELIM score and CRS score in patients with advanced epithelial ovarian cancer undergoing neoadjurant chemotherapy
ZHANG Xinyi, LI Ying, ZHAO Yue, HAN Shuqi, WANG Yixiao, YANG Bo
2026, 24(1): 45-49. doi: 10.16766/j.cnki.issn.1674-4152.004326
29 1
Abstract:
  Objective  To explore the prognostic value of the CA-125 elimination rate constant K (KELIM) and the chemotherapy response score (CRS) in patients with advanced epithelial ovarian cancer (AEOC), and to investigate the correlation between KELIM score, CRS score, and breast cancer susceptibility gene (BRCA) status.  Methods  Clinical data, including BRCA gene status, KELIM score, CRS score, and follow-up outcomes, were retrospectively collected from 83 patients with stage Ⅲ-Ⅳ AEOC who underwent intermediate cytoreductive surgery at the First Affiliated Hospital of Bengbu Medical University from November 2014 to May 2023. BRCA genes were classified as mutant type or wild type, KELIM was classified as ≥ 1 or < 1, CRS was classified as CRS3 or CRS1+2. Chi-square test was used to analyze the correlation between BRCA status and KELIM and CRS scores. The log-rank test and multivariate Cox regression model were used to evaluate their relationship with progression-free survival (PFS) and overall survival (OS).  Results  Among the 83 AEOC patients, 20 cases (24.1%) were in the BRCA mutant group while 63 cases (75.9%) were in the wild type group. In the BRCA mutant group, the proportions of KELIM ≥ 1 and CRS3 were higher than those in the wild type group (P < 0.05). Multivariate Cox analysis identified BRCA gene, FIGO stage, and R0 cytoreduction as independent predictors of PFS in AEOC patients (P < 0.05), while BRCA gene, CRS score, KELIM score, and R0 cytoreduction were independent predictors of OS in AEOC patients (P < 0.05).  Conclusion  Both the CRS and KELIM scores are valuable predictive indicators for the prognosis in AEOC patients. The BRCA mutation status was significantly positively correlated with both CRS3 and KELIM ≥ 1, suggesting that it can serve as a good predictor of chemotherapy response in AEOC patients.
A prediction model for postoperative residual low back and leg pain in patients with postmenopausal osteoporosis complicated with lumbar disc herniation was constructed based on machine learning algorithms
ZHOU Minhong, WANG Lijuan, WANG Linxia, JIN Haiming
2026, 24(1): 50-54. doi: 10.16766/j.cnki.issn.1674-4152.004327
36 0
Abstract:
  Objective  This study aims to provide a predictive tool for the identification of postoperative residual low back and leg pain in postmenopausal patients with osteoporosis (OP) combined with lumbar disc herniation (LDH) by constructing a predictive model based on machine learning algorithms.  Methods  A retrospective study was conducted on 200 postmenopausal patients with osteoporosis and lumbar disc herniation who were admitted to the Department of Pain Medicine and Department of Spinal Surgery at the Second Affiliated Hospital of Wenzhou Medical University from January 2023 to January 2025. Using stratified random sampling, the patients were divided into a training set (n=140) and a validation set (n=60) in a 7∶3 ratio. LASSO regression was used to screen the characteristic variables related to residual low back and leg pain after surgery in postmenopausal patients with OP combined with LDH. The random forest algorithm was used as the basic algorithm for machine learning analysis to construct the prediction model. The model performance was verified using the validation set data.  Results  The incidence of residual lumbago and leg pain after surgery in postmenopausal patients with osteoporosis and lumbar disc herniation was 48.50% (97 cases). Factors influencing postoperative residual pain in these patients include age, diabetes, lumbar bone mineral density, pain manifestations, Pfirrmann grade, and preoperative Oswestry disability index (ODI). Based on the variables selected via LASSO, a random forest model was constructed, achieving AUC values of 0.799 and 0.790 in the training and validation sets, respectively, for predicting postoperative residual lumbago and leg pain. Pfirrmann classification contributed positively to the residual low back and leg pain after surgery in postmenopausal patients with OP combined with LDH, while lumbar bone mineral density contributed negatively to the residual low back and leg pain after surgery in postmenopausal patients with OP combined with LDH.  Conclusion  The prediction model constructed based on the random forest algorithm can effectively predict the risk of postoperative residual low back and leg pain in postmenopausal patients with OP combined with LDH, which is conducive to the early identification of high-risk patients with postoperative residual low back and leg pain and provides guidance for clinical management.
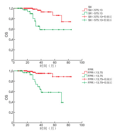
The prognostic value of systemic immune-inflammation index and fibrinogen to prealbumin ratio in prostate cancer
WAN Haiyang, XU Weiqiang, GU Mingli
2026, 24(1): 55-58. doi: 10.16766/j.cnki.issn.1674-4152.004328
18 2
Abstract:
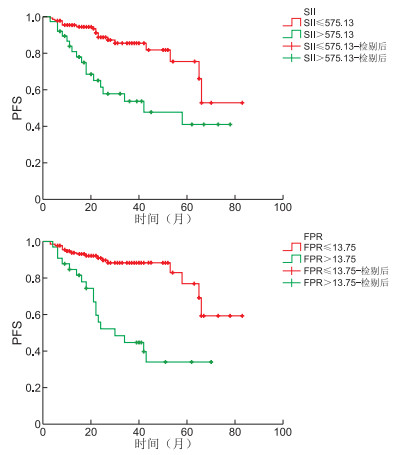
  Objective  To investigate the prognostic value of the systemic immune-inflammation index (SII) and fibrinogen to prealbumin ratio (FPR) in patients with prostate cancer, so as to provide evidence for the outcome of postoperative patients.  Methods  A total of 175 patients who underwent radical prostatectomy (RP)in the Department of Urology, the Second Affiliated Hospital of Bengbu Medical University from January 2014 to September 2020 were enrolled as subjects, and the relevant clinical data and follow-up information were collected. The optimal cut-off values of SII and FPR were determined using the ROC curves. Based on these cut-offs, patients were divided into high and low SII groups, and high and low FPR groups. The clinicopathological features of prostate cancer patients with different SII and FPR groups were analyzed, and Kaplan-Meier curves were established to analyze the PFS and OS. The Cox proportional hazards model was used to analyze the risk factors for PFS and OS of prostate cancer.  Results  The cut-off values of SII and FPR were 575.13 and 13.75, respectively. There were statistically significant differences in positive margin status, postoperative pathological stage among patients with different SII groups, and seminal vesicle invasion and positive margin status among patients with different FPR groups (P < 0.05). Survival analysis showed that PFS and OS in the low SII group and low FPR group were higher than those in the high SII group and high FPR group at 3 and 5 years after surgery, respectively. Compared with the combination of SII and FPR 0 and 1 groups, the 5-year PFS and OS of group 2 were the lowest, and the difference was statistically significant (P < 0.001). Multivariate analysis showed that preoperative tPSA, SII, and FPR were independent prognostic factors affecting PFS; margin status, SII, and FPR were independent prognostic factors affecting OS.  Conclusion  Both SII and FPR can be used as prognostic indicators for patients with prostate cancer, and the combination of the two has better predictive accuracy.
A clinical study on pathological injury patterns and factors influencing hormone response in patients with autoimmune hepatitis
TIAN Aiping, WANG Fuchun, MAO Yongwu, LI Qiong, LI Ziyi, ZHANG Wanjie, MAO Xiaorong, JIANG Zhenxiu
2026, 24(1): 59-62. doi: 10.16766/j.cnki.issn.1674-4152.004329
26 1
Abstract:
  Objective  To analyze the clinical characteristics and liver biopsy-assessed pathological injury patterns in patients with autoimmune hepatitis (AIH) and to explore factors influencing the hormone response, aiming to provide new insights for clinical diagnosis and treatment.  Methods  We retrospectively analyzed data from 84 AIH patients diagnosed by liver biopsy and treated with glucocorticoids at the First Hospital of Lanzhou University from December 2020 to December 2022. Clinical data, liver biopsy information, and follow-up data were collected. Patients were divided into two groups based on their hormone response within 6 months: a complete response group (n=52) and an incomplete response or non-response group (n=32). Based on liver biopsy results, patients were further categorized into Group A (lobulitis, n=12), Group B (lobulitis combined with interface hepatitis, n=23), and Group C (interface hepatitis, n=49). We employed t-tests, Chi-square tests, non-parametric tests, and binary logistic regression to analyze the impact of pathological injury patterns and other factors on hormone response within 6 months in AIH patients.  Results  Among the 84 patients, 76.2% were female (n=64), and 23.8% were male (n=20), with a mean age of (50.6±11.4) years. Significant differences were observed between the two response groups in immunoglobulin G (IgG) levels, immunoglobulin M (IgM) levels, and pathological injury patterns (P < 0.05). Multivariate analysis revealed that IgG, IgM, and pathological injury patterns were independent factors influencing hormone response within 6 months in AIH patients (P < 0.05).  Conclusion  AIH patients with lower serum IgG levels were more likely to achieve a complete hormone response within 6 months compared to those with higher levels. Compared to AIH patients with interface hepatitis as the predominant pathological injury pattern, patients with lobulitis combined with interface hepatitis were more likely to achieve a complete hormone response to glucocorticoid therapy within 6 months.
Investigation and correlation analysis on the quality of discharge teaching and the quality of life post discharge for patients with cardiac pacemaker implantation
MA Fangfang, YANG Lixiao, HE Ye, YANG Deyan, YANG Zhu, XIA Ying
2026, 24(1): 63-66. doi: 10.16766/j.cnki.issn.1674-4152.004330
34 0
Abstract:
  Objective  To assess how discharge instruction quality affects post-discharge quality of life (QoL) in pacemaker-implanted patients and analyze potential influencing factors, with the aim of providing more effective discharge guidance strategies for clinical practice and improving patients ' long-term QoL.  Methods  A cross-sectional study design was adopted, and patients who underwent cardiac pacemaker implantation surgery and were discharged from Peking Union Medical College Hospital, Chinese Academy of Medical Sciences from January 2023 to August 2024 were selected as the research subjects through convenience sampling. The readiness for hospital discharge scale (RHDS), the quality of discharged teaching scale (QDTS), the general self-efficacy scale (GES), and the 12-item short form health survey (SF-12) were used for the investigation. A model was constructed through Pearson correlation analysis and multiple linear regression to evaluate the relationship between discharge guidance and quality of life. Identify the factors that affect the quality of life of patients.  Results  A total of 174 patients were included, including 98 males and 76 females, aged from 18 to 89 years old. Discharge instruction quality positively correlated with discharge readiness (r=0.559, P < 0.01), while higher discharge readiness and self-efficacy predicted better 1-month QoL (r=0.400, P < 0.01; r=0.537, P < 0.01). Regression confirmed discharge instructions (B=1.429, P < 0.001) and self-efficacy (B=0.534, P=0.026) as independent QoL determinants.  Conclusion  Optimizing discharge guidance and enhancing self-efficacy improve long-term QoL. Clinicians should emphasize patient discharge education, develop individualized guidance plans to enhance patients ' self-management abilities, and improve their long-term QoL.
Application of Remazolam combined with Esketamine in tonsillar-adenoidectomy in children
QIAN Wei, ZHANG Congli, ZHANG Yunchun
2026, 24(1): 67-70. doi: 10.16766/j.cnki.issn.1674-4152.004331
24 1
Abstract:
  Objective  To investigate the effects of remazolam in combination with esketamine on intraoperative haemodynamics, stress response, and postoperative quality of awakening in paediatric tonsillectomy and adenoidectomy.  Methods  In this study, 60 paediatric patients who underwent tonsillectomy and adenoidectomy under general anaesthesia at the First Affiliated Hospital of Bengbu Medical University between January 2023 and December 2023 were selected for the study and randomly divided into two groups: an observation group (Group R) and a control group (Group B), each with 30 patients. In the observation group, remazolam was used for induction and maintenance of anaesthesia; in the control group, propofol was used for induction and maintenance of anaesthesia. The changes in haemodynamic and blood pressure indices were compared between the two groups before induction (T0), during completion of induction (T1), during intubation (T2), during the start of surgery (T3), during removal of the tracheal intubation 10 minutes after the start of surgery (T4) and during withdrawal of the tracheal intubation (T5) as well as at the time of postoperative 15. The changes in haemodynamic and blood pressure indicators, agitation score, and analgesia score 15 minutes (T6) and 30 minutes (T7) postoperatively, the time to extubation, the length of stay in the recovery room (PACU), and the occurrence of adverse reactions during the recovery phase in the two groups were compared.  Results  In group R, blood pressure and heart rate changes at T1-T5 were lower than those in group B, and the difference was statistically significant (P < 0.05). In group R, cortisol (Cor), norepinephrine(NE), and glucose(Glu) were lower in T4 compared to group B. The difference was statistically significant (P < 0.05). The awakening scores of group R at T6 and T7 were lower than those of group B, and the difference was statistically significant (P < 0.05). Extubation time (8.90±1.18) min and PACU length of stay (30.50±2.26) min in group R were shorter than (9.83±1.34) min and (34.47±1.93) min in group B, and the difference was statistically significant (P < 0.05).  Conclusion  The combination of remazolam and esketamine in paediatric tonsillectomy and adenoidectomy can soften the perioperative haemodynamic changes, reduce the intraoperative stress response, and improve the quality of children' s awakening during the recovery period.
Observation on the clinical efficacy of butylphthalide injection in the treatment of acute cerebral infarction
ZHANG Weiping, LUO Song, HUANG Xianjun
2026, 24(1): 71-74. doi: 10.16766/j.cnki.issn.1674-4152.004332
27 0
Abstract:
  Objective  To observe and evaluate the therapeutic effect of butylphthalide injection in the clinical treatment of patients with acute cerebral infarction (ACI).  Methods  A total of 126 ACI patients admitted to Tongling People' s Hospital from June 2021 to June 2024 were selected and divided into an observation group and a control group by a random number table method, with 63 cases in each group. Both groups received conventional drug treatment, while the observation group was additionally given butylphthalide injection for a treatment course of 2 weeks. The National Institutes of Health stroke scale (NIHSS) score, activities of daily living (ADL) score, inflammatory indicators (peripheral blood IL-23 and macrophage inflammatory protein-1α (MIP-1α), oxidative stress indicators superoxide dismutase (SOD), glutathione peroxidase (GSH-PX), and the nitric oxide (NO) levels, and the adverse reaction rate were statistically compared between the two groups.  Results  The total effective rate in the observation group was 92.06% (58/63), which was significantly higher than 73.02% (46/63) of the control group, with a statistically significant difference (χ2=5.714, P < 0.001). After treatment, the observation group showed significantly lower NIHSS scores (P < 0.01) and significantly higher ADL scores than the control group (P < 0.01), indicating enhanced daily living ability (P < 0.01). In addition, oxidative stress indicators (SOD, GSH-PX and NO levels) were significantly increased (P < 0.01), while inflammatory indicators (IL-23 and MIP-1α levels) were significantly reduced in the observation group (P < 0.01). There was no statistically significant difference in the incidence of adverse reactions between the two groups (P>0.05).  Conclusion  On the basis of conventional clinical treatment, the addition of butylphthalide injection significantly improves the therapeutic effect, promotes the recovery of neurological function and daily living ability in patients, reduces inflammatory response, inhibits oxidative stress. The treatment demonstrates good safety and contributes to life quality improvement in affected patients.
Therapeutic effect of low-frequency repetitive transcranial magnetic stimulation on non-motor symptoms of Parkinson' s disease
GAO Yuliang, LOU Minfang, HU Ning, YANG Jinmei, WENG Xiaojian, WANG Xiang, SUN Linlin
2026, 24(1): 75-78. doi: 10.16766/j.cnki.issn.1674-4152.004333
24 0
Abstract:
  Objective  To analyze the therapeutic effect of repetitive transcranial magnetic stimulation (rTMS) on non-motor symptoms in patients with Parkinson' s disease (PD).  Methods  A prospective study was conducted involving 80 PD patients admitted to Quzhou Hospital of Traditional Chinese Medicine from January 2023 to June 2024. The patients were randomly divided into two groups using a random number table: a study group and a control group, with 40 patients in each group. All patients received Madopar treatment. The study group was additionally treated with rTMS, while the control group received sham stimulation. Clinical efficacy, cognitive function, sleep quality, and depression were compared between the two groups.  Results  After treatment, 38 patients in the study group showed improvement, compared to 30 patients in the control group (95.00% vs. 75.00%, P < 0.05). After treatment, scores across all dimensions of cognitive function increased in both groups compared to pre-treatment levels, with the study group exhibiting higher scores than the control group (P < 0.05). The Hamilton depression scale (HAMD) scores decreased in both groups after treatment, with the study group scoring lower than the control group. Conversely, the Parkinson' s disease sleep scale (PDSS) scores increased in both groups after treatment, with the study group scoring higher than the control group (P < 0.05).  Conclusion  Compared to sham stimulation, 0.5 Hz rTMS treatment significantly improves cognitive function, sleep quality, and depression in PD patients, alleviates non-motor symptoms, and leads to better therapeutic outcomes.
The efficacy of roxadustat versus rHuEPO in treating renal anemia and its impact on cardiac function in patients with chronic kidney disease undergoing peritoneal dialysis
WANG Baojia, DI Jiamei, XIE Weinan, DAI Rong, HAN Shu, YUAN Ling
2026, 24(1): 79-82. doi: 10.16766/j.cnki.issn.1674-4152.004334
19 0
Abstract:
  Objective  To compare the clinical efficacy of roxadustat and recombinant human erythropoietin (rHuEPO) in the treatment of renal anemia in peritoneal dialysis patients with chronic kidney disease and its effect on cardiac markers.  Methods  A retrospective analysis was performed for 40 patients with renal anemia who received regular peritoneal dialysis from September 2022 to September 2023 in the Renal Dialysis Center of the First Affiliated Hospital of Anhui University of Science and Technology, including 20 patients treated with roxadustat (observation group) and 20 patients treated with rHuEPO (control group). The efficacy of anemia and its effect on cardiac indexes were compared between the two groups.  Results  After adjusting for the pretreatment levels of each index by covariance analysis, the observation group demonstrated significantly higher levels of hemoglobin (Hb) compared to the control group [(115.45±12.94) g/L vs. (99.25±13.11) g/L, F=21.233, P < 0.001] after treatment. The levels of total cholesterol (TC), left anterior posterior diameter (LAD), and interventricular septal thickness (IVST) in the observation group were lower than those in the control group after treatment, the difference was statistically significant (P < 0.05).  Conclusion  Roxadustat treatment can improve the anemia of patients more effectively, and can improve iron metabolism and lipid metabolism in patients, with less negative impact on cardiac function, and the effect is better than rHuEPO.
The mechanism of Xuanfei Jianpi Decoction in improving pulmonary function of stable COPD patients
TAO Yiqing, SHEN Aijuan, SHENG Wei
2026, 24(1): 83-87. doi: 10.16766/j.cnki.issn.1674-4152.004335
28 1
Abstract:
  Objective  This paper observes the efficacy of Xuanfei Jianpi Decoction in mitigating the clinical symptoms exhibited by patients diagnosed with stable chronic obstructive pulmonary disease (COPD, with lung spleen qi deficiency syndrome) and the mechanism behind it.  Methods  A total of 100 stable COPD patients (with lung spleen qi deficiency syndrome) admitted Jiaxing Hostipal of TCM from January 2023 to June 2025 were randomly divided into two groups: a control group (50 cases) and an observation group (50 cases). The control group was administered a combination of inhaled salmeterol and fluticasone combined with tiotropium bromide, while the observation group was treated with the oral Xuanfei Jianpi Decoction. The curative effects on the traditional Chinese medicine syndome in patients were monitored along with COPD symptoms, exercise endurance, and improvement of lung function, The serum inflammatory factor levels were detected, and analyze changes in the T helper 17 cell (Th17)/ regulatory T cell (Treg) immune balance status were analyzed.  Results  Following a period of eight weeks, the overall effective rate was higher in the observation group than in the control group [92.00% (46/50) vs. 72.00% (36/50), χ2=6.775, P=0.009]. The COPD assessment test (CAT) score, modified medical research council (mMRC) score, and Borg score of the observation group were found to be lower than control group (P < 0.001), while the 6-min walk distance (6MWD) value was found to be higher in the observation group than in the control group. The values of lung function indicators such as forced expiratory volume in 1 sec (FEV1), FEV1/forced vital capacity (FVC), and FVC% Pred, were found to be higher in the observation group in comparison to the control group (P < 0.001). The detection values of Th17, Treg, and Th17/Treg in the serum of the observation group were lower than those in the control group (P < 0.001). The levels of inflammatory factors, including tumor necrosis factor-α, interleukin-1β and interleukin-17 in the serum of the observation group were lower than the control group (P < 0.001).  Conclusion  The Xuanfei Jianpi Decoction has been shown to effectively alleviate traditional Chinese medicine syndromes and clinical symptoms in patients with stable COPD (accompanied by lung spleen qi deficiency syndrome), improve lung function and exercise endurance. The pharmacological mechanism of the substance under investigation is closely related to the regulation of cellular immune function and the inhibition of respiratory inflammatory response.
Study on the influencing factors of functional constipation in children and its correlation with dietary habits/intestinal flora
CHEN Siqiong, LI Wei, ZHONG Mengmeng, XUE Rong
2026, 24(1): 88-91. doi: 10.16766/j.cnki.issn.1674-4152.004336
17 0
Abstract:
  Objective  To analyze the factors affecting functional constipation (FC) in children in Wenzhou area, and explore the correlation between FC occurrence and dietary habits and intestinal flora.  Methods  A total of 35 children with FC who were treated in the Department of Pediatrics of Wenzhou Hospital of Integrated Traditional and Western Medicine from December 2020 to December 2022 were selected as the FC group, and then 35 healthy children in the same period were selected as the control group. Questionnaires were conducted for all children and their guardians. The clinical data and intestinal flora characteristics of the two groups were compared. Multifactorial logistic regression was used to analyze the related factors affecting the incidence of FC in children, and Pearson correlation was used to analyze the correlation between correlation indicators and FC occurrence.  Results  Chao1 index, ACE index, and Shannon index in the FC group were lower than those in the control group (P < 0.05), while Simpson index was higher than those in the control group (P < 0.05). High frequency of vegetable and fruit intake (OR=0.768), high frequency of exercise (OR=0.494), high water intake (OR=0.206), and High flora Chao1 index (OR=0.931) were all protective factors affecting the incidence of FC in children. There were differences in the distribution of intestinal flora between the two groups. In the FC group, Prevotella and macroomonas were dominant, while in the control group, bifidobacterium and Lactobacillus were dominant (LDA>4log10).  Conclusion  High frequency of vegetable and fruit intake, high frequency of exercise, high water intake, and Chao1 index of bacterial flora were protective factors for the incidence of FC in children. The Prevotella, macroomonas, Bacteroides, and Enterococcus faecalis in intestinal flora may be related to the development of FC.
Research on risk prediction model of spontaneous premature delivery in pregnant women with diabetes mellitus based on machine learning
LIN Yangyang, HUANG Yingying, CAO Xiaodan, LI Xiaoqing, ZHANG Na
2026, 24(1): 92-95. doi: 10.16766/j.cnki.issn.1674-4152.004337
31 1
Abstract:
  Objective  To construct the risk prediction model of spontaneous preterm birth (SPB) in pregnant women with diabetes mellitus (GDM) based on the four machine learning algorithms, and to screen the optimal model to provide a reference for identifying the SPB population of GDM pregnant women.  Methods  The case data of 221 pregnant women with GDM who gave birth in the Obstetrics and Gynecology Department of Wenzhou People' s Hospital from January 2023 to January 2025 were collected. They were divided into a premature birth group (68 cases) and a normal group (153 cases) based on whether they were premature. Multivariate logistic analysis was used to identify the risk factors for SPB in GDM pregnant women. The patients were randomly divided into a 70% training set (155 cases) and a 30% validation set (66 cases). Four machine learning algorithms, namely decision tree (DT), K-nearest neighbor (KNN), random forest (RF), and support vector machine (SVM), were used to construct a GDM pregnant woman SPB risk prediction model, and the optimal model was evaluated and screened.  Results  Multivariate logistic analysis showed that age≤35 years old, BMI≥24, Hypertension during pregnancy, family history of diabetes, guided infection during pregnancy, and elevated WBC count in the third trimester were independent risk factors for SPB in GDM pregnant women, while good blood glucose control was a protective factor for SPB in GDM pregnant women. The AUC value of the RF model was 0.925, the accuracy was 0.863, the precision was 0.887, the sensitivity was 0.729, the specificity was 0.975, and the F1 score was 0.826, all of which are superior to the other three models.  Conclusion  A GDM pregnant women' s SPB risk prediction model is constructed based on four machine learning algorithms: decision tree (DT), K-nearest neighbor (KNN), random forest (RF), and support vector machine (SVM). RF prediction performs the best and can effectively screen high-risk populations for SPB in GDM pregnant women, providing support for clinical intervention plan formulation.
Analysis of perception status and influencing factors of reproductive tract infections in women of childbearing age
ZHOU Lili, YE Xiaoyan, HUANG Fengyan, ZHU Yandi
2026, 24(1): 96-99. doi: 10.16766/j.cnki.issn.1674-4152.004338
28 0
Abstract:
  Objective  Reproductive tract infection is a common issue threatening the health of women of childbearing age. This study aims to analyze the current status of the disease perception level of reproductive tract infection among women of childbearing age and its influencing factors, so as to provide a basis for formulating hierarchical and precise health education strategies.  Methods  A total of 204 women of childbearing age who visited the Gynecology Department of the First Hospital of Jiaxing from January 2024 to June 2024 were selected. The general information questionnaire, brief illness perception questionnaire (BIPQ), connor-davidson resilience scale (CD-RISC), and social support rating scale (SSRS) were used to conduct the survey, and the influencing factors of reprodutive tract infection-related cognitive level among women of childbearing age were analyzed.  Results  The BIPQ score of reprodutive tract infection among the 204 women of childbearing age was (44.15±7.46) points. There were significant differences in the perception scores of women with different education levels, occupations, places of residence, family incomes, health education experiences, knowledge acquisition ways, psychological resilience, and social support (P < 0.05). Multivariate logistic regression analysis showed that educational level, occupation, place of residence, family income, having received health education on reproductive tract infection, channels for acquiring reproductive health knowledge, psychological resilience, and social support were the influencing factors for the perception of reproductive tract infection among women of childbearing age (P < 0.05).  Conclusion  The disease perception level of reproductive tract infection among women of childbearing age needs to be improved, and it is affected by multiple factors. Hierarchical and precise health education strategies should be formulated for key populations to enhance their self-care ability.
Current status of knowledge, attitude and practice of medically unspecified disease health education in medical staff
XIA Qing, LI Xin, CAI Mengyang, JIANG Yuanying, MA Fanghui, REN Jingjing
2026, 24(1): 100-103. doi: 10.16766/j.cnki.issn.1674-4152.004339
21 1
Abstract:
  Objective  To analyze the current status of knowledge, attitude and practice (KAP) on health education for medically unspecified disease (MUD) among medical staff, as well as the factors influencing the practices, and to provide a basis for effective health education on MUD.  Methods  A total of 1 313 medical staff in the Cities of Hangzhou and Ningbo were sampled using a cluster sampling method from June 2024 to July 2024. Data was collected through a self-designed survey questionnaire. Further Pearson correlation analysis was performed to examine the pairwise correlations between health utility value and the scores of knowledge, attitude and practice of MUD health education.  Results  The mean health state utility value was (0.87±0.15) for medical staff, and the average scores of MUD health education knowledge, attitude practice, and total score were (74.33±12.28) points, (84.47±13.32) points, (79.55±13.45) points and (78.54±9.91) points, respectively. The scores of knowledge, attitude and practice of MUD health education were positively correlated to each other (r=0.293, 0.200, 0.757, all P < 0.05). The health state utility value was positively correlated with the scores for knowledge (r=0.060), attitude (r=0.214), and practice (r=0.228) of MUD health education (all P < 0.05). Gender, occupation, marital status, frequency of staying up late, exercise habits, and prior participation in health education were the influencing factors of the health utility value (P < 0.05). Education level, body mass index, occupation, staying up late, exercising, and whether they had participated in health education frequently or not were the influencing factors for KAP of MUD health education (P < 0.05).  Conclusion  The medical staff have a moderate level of knowledge and practice toward MUD health education, their attitude is positive, and their self-rated health status are poor. To enhance their health status and health education level, and improve the MUD diagnosis and treatment, it is necessary to strengthen the training and practical guidance of MUD health education in the future.
The trajectory of depression and its influencing factors among retired middle-aged and elderly individuals in China
HUANG Juju, MA Li, LI Pengyao, PANG Jiaxue, LIU Qiankun, XU Yang, CHEN Dandan, XIE Hui
2026, 24(1): 104-108. doi: 10.16766/j.cnki.issn.1674-4152.004340
22 0
Abstract:
  Objective  To analyze the developmental trajectories of depressive symptoms in retired middle-aged and elderly individuals, to identify potential predictors, and to provide a scientific basis for mental health interventions.  Methods  This research utilized data from the China Health and Retirement Longitudinal Study spanning the period from 2015 to 2020. The study population comprised of 4 435 retired middle-aged and elderly individuals who were selected as participants. A latent variable growth mixture model was employed in order to classify the developmental trajectories of depressive symptoms in this population. Further analysis was conducted in order to identify the predictors influencing these trajectories.  Results  The developmental trajectories of depressive symptoms in retired middle-aged and elderly individuals were classified into four categories: depressive remission (9.85%); depressive worsening (18.85%); persistently high depressive symptoms (9.50%); and persistently non-depressive (61.80%). Logistic regression analysis revealed that factors such as gender, age, education level, marital status, place of residence, self-rated health, disability status, history of hospitalization, number of children in the family, employment as urban workers, hearing ability, cognitive impairment, level of social participation, and chronic disease status were influencing factors of depressive symptom trajectories.  Conclusion  This study underscores the heterogeneity of developmental trajectories of depressive symptoms and the diversity among groups within the retired middle-aged and elderly population. Healthcare providers can utilize these distinct trajectory characteristics to implement targeted health management strategies. By identifying the various developmental trajectories of depressive symptoms, a more nuanced understanding of the dynamic changes in these symptoms can be achieved. This, in turn, offers a scientific foundation for the development of effective prevention and intervention strategies.
The mediating role of self-efficacy and family support in the relationship between illness perception and treatment adherence in patients with major depressive disorder
LI Yahong, LI Songtao
2026, 24(1): 109-112. doi: 10.16766/j.cnki.issn.1674-4152.004341
27 0
Abstract:
  Objective  To analyze the current status of treatment compliance in patients with major depressive disorder (MDD) and to validate the mediating model of self-efficacy and family support between illness perception and treatment compliance, based on cross-sectional survey data.  Methods  A total of 160 patients with MDD admitted to Shaoxing 7th People' s Hospital from August 2022 to August 2024 were selected by a convenience sampling method, and the general self-efficacy scale (GSES) and Morisky medical adherence scale (MMAS-8) were used for a questionnaire survey. The mediating role of self-efficacy and family support between disease perception and treatment compliance of MDD patients was analyzed through the Process plug-in.  Results  The MMAS-8 score of 156 (97.50%) valid questionnaires collected in this study was (5.72±1.36) points. Pearson correlation coefficient analysis showed that the MMAS-8 score was positively correlated with GSES and family support score (r=0.658, 0.514, P < 0.001). Bootstrap test showed that the indirect effect value was -0.152 (95% CI: -0.216 to -0.107) and the direct effect value was -0.233 (95% CI: -0.308 to -0.112).  Conclusion  The treatment compliance of patients with MDD needs to be improved. Disease perception can directly affect the treatment compliance of patients, and it can also indirectly affect the treatment compliance of patients through self-efficacy and family support.
Preoperative HRCT of temporal bone combined with inner ear MRI in patients with cochlear implantation
WU Lin, JIA Huihui, CHEN Mengmeng, GU Wei, WANG Aiping
2026, 24(1): 113-116. doi: 10.16766/j.cnki.issn.1674-4152.004342
32 0
Abstract:
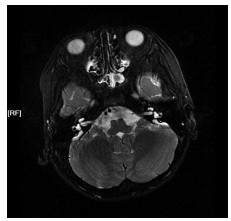
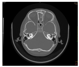
  Objective  To address the clinical difficulties of complex anatomical structure and high risk of electrode implantation in children with severe sensorineural deafness during cochlear implantation, and to explore the application value of a combined assessment using high-resolution temporal bone CT (HRCT) and multimodal inner ear MRI before surgery, thereby providing imaging evidence for optimizing surgical planning and reducing the risk of complications.  Methods  A total of 192 children (215 affected ears) with severe or profound sensorineural deafness who underwent surgical CI treatment at the Children' s Hospital Affiliated to Soochow University from January 2021 to December 2024 were selected. All patients underwent temporal bone HRCT and inner ear MRI examinations. The diagnostic efficacy of the two methods for detecting inner ear malformations and abnormal electrode implantation were compared. Univariate and Logistic regression analyses were used to analyze the risk factors associated with abnormal electrode implantation.  Results  Among the 192 cases (215 ears) of children, a total of 140 cases (159 ears) had inner ear developmental malformations, with some unilateral malformed ears presenting with multiple malformations. The detection rate of cochlear malformation identified by inner ear MRI was significantly lower than that by HRCT of the temporal bone (P < 0.05). Transtemporal bone HRCT combined with inner ear MRI examination identified abnormal electrode implantation in 29 ears. Among them, the abnormal implantation rate without inner ear deformity was 5.36% (3/56), which was significantly lower than that in ears with inner ear deformity (16.35%, 26/159, P < 0.05). Logistic multivariate regression analysis showed that increased width of vestibular aqueduct, loss of the labyrinthine segment of the facial nerve canal, greater endolymphatic cyst expansion, elevated intraoperative cerebrospinal fluid pressure level, and older patient age were independent risk factors for abnormal electrode implantation (P < 0.05).  Conclusion  Preoperative temporal bone HRCT combined with inner ear MRI can objectively depict the development and anatomical structure of the inner ear in children. Moreover, the width of vestibular aqueduct, the integrity of the labyrinthine segment of the facial nerve canal, the degree of the endolymphatic sac enlargement, and the intraoperative cerebrospinal fluid pressure are independent risk factors for abnormal electrode implantation.
Multi-target mechanisms of the sphingosine-1-phosphate signaling pathway in regulating airway remodeling in asthma
YANG Zhipeng, XIAN Rong, XI Yujiang, ZHANG Xiaoli, OUYANG Li, XIAO Hong
2026, 24(1): 117-120. doi: 10.16766/j.cnki.issn.1674-4152.004343
31 1
Abstract:
The sphingosine-1-phosphate (S1P) signaling pathway is the key component of sphingolipid metabolism. It mediates cell proliferation, migration, survival, immune cell trafficking, and angiogenesis via S1PR1-5 receptors. It plays key roles in immunomodulation, inflammation, and tissue remodeling. Recent advances in metabolomics and signaling research highlight the growing link between S1P signaling and chronic inflammatory diseases like such as asthma. A core pathological feature of asthma is airway remodeling (AR), characterized by irreversible structural alterations including abnormal airway smooth muscle cell (ASMC) proliferation or migration, epithelial-mesenchymal transition (EMT), fibrosis, and pathological angiogenesis. Current research shows the S1P pathway targets multiple aspects of asthma AR: it drives ASMC proliferation, migration, and contraction by activating axes such as S1PR2/3-Rho/ROCK and STAT3/YAP/Notch3; it downregulates epithelial markers while upregulating mesenchymal markers to promote EMT and fibrosis; and it synergizes with VEGF to mediate pathological angiogenesis, exacerbating the hypoxia-inflammation-remodeling cycle. This review systematically examines the regulatory network of the S1P pathway in asthma AR and its therapeutic potential, aiming to provide a foundation for novel, multi-targeted strategies for AR intervention.
Optimization study of mandibular impacted third molar extraction based on multidimensional minimally invasive techniques
CHEN Xin, LU Xiuzheng, HUANG Chuanlong, LI Yang
2026, 24(1): 121-125. doi: 10.16766/j.cnki.issn.1674-4152.004344
51 2
Abstract:
The extraction of impacted mandibular third molars is a common yet complex oral surgical procedure. Due to the restricted operative field, proximity to vital anatomical structures, and variations in impaction depth and root morphology, such surgeries are technically challenging and carry a relatively high risk of postoperative complications. Current challenges include insufficient preoperative sedation and pain control, difficulty in managing postoperative swelling and bleeding, and the risk of nerve injury. Moreover, a unified and systematic standard for minimally invasive extraction techniques is still lacking. Based on clinical practice, this study introduces the new concept of "multidimensional minimally invasive techniques" through an analysis of several key aspects, including perioperative sedation and pain control strategies, standardized antibiotic prophylaxis for impacted tooth extraction, resistance-based surgical planning, flexible flap design, individualized mandibular third molar extraction strategies, and wound closure considerations. (1) By implementing perioperative sedation, effective pain management, and standardized prophylactic antibiotic use, patients ' anxiety and discomfort are alleviated, thereby improving overall surgical experience. (2) Through optimization of extraction procedures and flexible flap techniques guided by multidimensional resistance analysis, intraoperative tissue trauma is minimized. (3) Appropriate wound closure techniques combined with inferior alveolar nerve protection measures help to prevent postoperative complications to the greatest extent possible. (4) Standardization of the surgical process promotes personalized extraction strategies, enhancing procedural precision and efficiency. This study aims to advance the application and development of multidimensional minimally invasive techniques in the extraction of impacted mandibular third molars, thereby improving surgical outcomes and reducing the incidence of complications.
The influence of Qushi Jianfa Decoction on metabolic indicators and psychological status in patients with seborrheic alopecia of spleen deficiency and dampness stagnation type
CHEN Caifei, QIU Chu, ZHU Xiaoyan, WANG Hui, CAI Luwei
2026, 24(1): 126-130. doi: 10.16766/j.cnki.issn.1674-4152.004345
28 0
Abstract:
  Objective  Seborrheic alopecia is a common clinical hair disease, and spleen deficiency with dampness stagnation is one of its important syndromes, mainly manifested as alopecia, glycolipid metabolism disorder, anxiety, depression. Western medicine still lacks specific treatment methods and only conducts symptomatic treatment. Therefore, this study aims to evaluate the efficacy of Qushi Jianfa Decoction in treating seborrheic alopecia (spleen deficiency with dampness stagnation type) and explores its impact on patients ' metabolism and psychological state.  Methods  A total of 96 male patients with seborrheic alopecia (of the spleen deficiency and dampness stagnation type) admitted to Shaoxing Hospital of Traditional Chinese Medicine from June 2023 to June 2024 were conducted. The patients were randomly divided into a western medicine group (n=48) and a combined group (n=48) using a different treatment options. The western medicine group was given topical minoxidil, while the combined group was supplemented with Qushi Jianfa Decoction on the basis of the treatment for the western medicine group. The clinical efficacy, TCM syndrome scores, blood lipid metabolism indicators, and psychological status were compared between the two groups. Spearman correlation coefficient was used to analyze the correlation between disease severity and metabolic level as well as psychological status.  Results  The clinical total effective rate of the combined group (91.67%, 44/48) was significantly higher than that of the western medicine group (72.92%, 35/48, χ2=5.790, P < 0.05). After treatment, the scores of pruritus, scales and greasiness in both groups decreased, and those in the combined group were lower than those in the western medicine group (P < 0.05). After 6 months of treatment, the levels of total cholesterol (TC), triglyceride (TG) and low-density lipoprotein cholesterol (LDL-C) in the combined group decreased, while there was no significant change in the western medicine group (P>0.05), and the levels in the combined group were lower than those in the western medicine group (P < 0.05). After 6 months of treatment, the scores of depression, anxiety, stress and depression-anxiety-stress scale (DASS-21) in the combined group were lower than those in the western medicine group (P < 0.05). Spearman correlation coefficient analysis showed that the severity of the disease was positively correlated with TG, TC, LDL-C, stress score and DASS-21 score (P < 0.05), and negatively correlated with HDL-C (P < 0.05).  Conclusion  Qushi Jianfa Decoction is effective in treating seborrheic alopecia (spleen deficiency and dampness stagnation), which can reduce TCM syndrome score and improve metabolic level and psychological state.
A study on knowledge of multimorbidity diagnosis and treatment and need for relevant trainings of rural licensed physicians in Guangxi
PENG Houxuan, SHEN Ying, ZHAO Can, WEI Genggui, XI Qian, CHEN Peimeng
2026, 24(1): 131-135. doi: 10.16766/j.cnki.issn.1674-4152.004346
29 0
Abstract:
  Objective  This study aims to investigate knowledge of multimorbidity diagnosis and treatment and the need for relevant training of rural licensed physicians in Guangxi, and to offer guidance on effective implementation of relevant education and training.  Methods  From February to Aug 2024, 2 county general hospitals and 32 township health centers in Guangxi were sampled using a combination of stratified and cluster sampling, and a self-designed questionnaire was sent via the national online platform "Wenjuanxing" to all licensed physicians working in all the above organizations. The licensed physicians working in the township health centers were assigned to the group of primary health care organization, and those in the county hospitals to the group of non-primary health care organization. Chi-square test was employed to analyze knowledge of multimorbidity diagnosis and treatment, and the need for relevant training of rural licensed physicians.  Results  A total of 1 200 questionnaires were sent out, and eventually 994 verified copies were back, accounting for 82.8%. The majority of rural licensed physicians chose "know some" or " know less" or "never know" on items related to screening, assessment, management, referral, and clinical guidelines, and only a few picked up "know" or "know well". The group of primary health care organization demonstrated better knowledge on some items than the group of non-primary health care organization (P < 0.05). Rural licensed physicians showed an urge for training in multimorbidity and preferred it to be carried out in a way characterized by a mixture of online and offline patterns, a combination of theory and practice, and low to middle frequency.  Conclusion  The rural licensed physicians in Guangxi feel that their knowledge about multimorbidity diagnosis and treatment is limited, especially regarding screening, assessment, management, and clinical guidelines. It is suggested to adopt the model with a mixture of online and offline patterns and inclusion of theory and practice to enhance relevant training, to effectively promote competence of rural licensed physicians on multimorbidity diagnosis and treatment.
The evaluation of training effectiveness and analysis of influencing factors for community faculty of general practitioners
QU Yunhui, ZHAO Song, FU Wei, LI Jipeng, LIU Ting, HU Jie, ZHANG Yunkun, GU Jiefang
2026, 24(1): 136-139. doi: 10.16766/j.cnki.issn.1674-4152.004347
25 0
Abstract:
  Objective  To evaluate the effectiveness of faculty training for community-based general practitioners, identify key factors influencing the training outcomes, and propose recommendations for optimizing the training model based on the findings to enhance the practical effectiveness of community faculty training.  Methods  The present study employed a questionnaire survey method, targeting 45 "community faculty trainees" who participated in the 2021 core faculty training program for standardized general practice residency at Yunnan University Affiliated Hospital.  Results  The survey results indicated that 75.6% (34/45) of trainees expressed high levels of satisfaction with the course content, 22.2% (10/45) indicated satisfaction, and 2.2% (1/45) provided an average rating. For knowledge structure improvement, 53.3% (24/45) expressed very high levels of satisfaction, 44.4% (20/45)indicated satisfaction, and 2.2% (1/45) assigned an average rating. All trainees reported an improvement in their teaching abilities improved, 95.6% (43/45) noted better chronic disease management skills. However, only 88.9% (40/45) observed an improvement in their research skills. The training significantly improved understanding of course content, with key factors influencing effectiveness being the online format, work-study conflicts, and the learners ' attitudes. The preferred teaching methods of trainees were participatory teaching, followed by case-based and traditional methods. Furthermore, a divergence in teaching frequency and trainee numbers before and after training was observed.  Conclusion  The regular implementation of faculty training programs for general practitioners has been demonstrated can effectively enhance the community faculty ' s knowledge level, clinical teaching skills and chronic disease management capabilities. The training program should emphasize the cultivation of research awareness and research capabilities, employing a blended approach of online and offline methods. It should incorporate more case-based teaching and participatory teaching to enhance the relevance and engagement of the content. This will ensure the quality of the training and will also develop a highly qualified community faculty team for general practitioners.
Current status of volunteer service motivation among nursing students and its correlation with professional identity
LIU Min, HUANG Qionglei, DENG Yinyun
2026, 24(1): 140-144. doi: 10.16766/j.cnki.issn.1674-4152.004348
16 0
Abstract:
  Objective  To investigate the current status and influencing factors of volunteer service motivation among nursing students pursuing a bachelor ' s degree after obtaining an associate ' s degree, and to further explore the relationship between volunteer service motivation and professional identity. This study aims to provide new insights and references for enhancing volunteer service motivation among nursing students and promoting the development of social volunteer service systems.  Methods  A total of 374 nursing students from the Clinical Medical College of Anhui Medical University in 2023 were selected as research subjects. General information, motivation for volunteer service, and professional identity levels were assessed using a general information questionnaire, the volunteer service motivation scale, and the professional identity questionnaire. Data were summarized using quartiles and medians. Differences in volunteer service motivation and professional identity among groups with different characteristics were analyzed using the Kruskal-Wallis H test and Mann-Whitney U test. Spearman correlation analysis was used to explore the relationship between volunteer service motivation and professional identity among junior college-to-bachelor ' s nursing students.  Results  The median volunteer service motivation score for nursing students was 67.50 (60.00, 72.30), showing significant correlations with their ethnicity, maternal educational level, and student leadership experience (P < 0.05). The median professional identity score for junior college nursing students was 87.00 (76.00, 92.00), demonstrating a significant positive correlation with volunteer service motivation (r=0.527, P < 0.01).  Conclusion  The volunteer service motivation of nursing students transitioning from an associate to bachelor ' s degree is at a moderate level and requires further improvement. It is influenced by factors such as ethnicity, maternal education level, and leadership experience, and demonstrates a positive correlation with their professional identity. Nursing educators should strengthen professional identity education and volunteer awareness training to enhance nursing students ' motivation for volunteer service.
Analysis of the current status of knowledge, attitude, and practice of rural doctors in the prevention and treatment of stroke
ZHENG Yaxing, LIU Junjie, YANG De, LONG Jun, XIONG Tao, CHEN Changrong
2026, 24(1): 145-148. doi: 10.16766/j.cnki.issn.1674-4152.004349
19 0
Abstract:
  Objective  To investigate the current status of knowledge, attitudes, and practices (KAP) of rural doctors regarding stroke prevention and treatment, to analyze the influencing factors, and to provide a theoretical basis for developing effective intervention measures to enhance their stroke prevention and treatment capabilities of rural doctors.  Methods  Using convenience sampling, 460 rural doctors were selected from 24 townships within Chongqing Municipality in July 2024. A self-designed questionnaire, administered through a combination of on-site surveys and electronic questionnaires, was used to investigate their current KAP regarding stroke prevention and treatment. Independent sample t-tests, analysis of variance (ANOVA), and multiple linear regression analysis were conducted to explore the factors influencing the KAP of rural doctors in stroke prevention and treatment.  Results  A total of 436 valid questionnaires were collected, yielding an effective response rate of 94.78%. The KAP score for stroke prevention and control among rural doctors was 159.10±26.32, indicating a moderate level. Specifically, the knowledge dimension showed a moderate score (99.20±19.38), the attitude dimension scored relatively high (32.27±5.37), and the practice dimension scored moderately (27.63±5.83). Significant positive correlations were observed among the three dimensions of knowledge, attitude, and practice regarding stroke prevention and control among rural doctors (P < 0.001). The factors influencing rural doctors ' KAP towards stroke prevention and control including villagers ' recognition, willingness to participate in stroke-related training, actual participation in stroke training, involvement in whole-course stroke patient management, and willingness to engage in prevention and control efforts.  Conclusion  Rural doctors demonstrate a relatively positive attitude toward stroke prevention and treatment, yet their levels of knowledge and behavior remain insufficient. Targeted training programs on stroke prevention and treatment for rural doctors are recommended to promote comprehensive stroke prevention and treatment in rural areas.
Association of paternal dietary patterns with birth weight of assisted reproduction offspring
ZHU Yunyun, YANG Dongjian, LENG Shufang, LI Hong
2026, 24(1): 149-154. doi: 10.16766/j.cnki.issn.1674-4152.004350
18 0
Abstract:
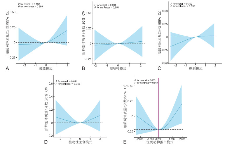
  Objective  To explore the correlation between the father ' s dietary pattern and the birth weight of assisted reproductive technology (ART) offspring, and analyze the relevant dietary factors influencing the weight of offspring, and provide a basis for promoting the healthy development of ART offspring.  Methods  A total of 904 groups of fathers and ART offspring recruited in the China National Birth Cohort (CNBC) project from January 1, 2017 to December 31, 2021 were selected as the research subjects. The dietary intake was collected using the semi-quantitative food frequency questionnaire, the dietary patterns were extracted by principal component analysis, and the association between the father ' s dietary patterns and the birth weight of ART offspring was analyzed using the restricted cube function and multivariate logistic regression.  Results  Five dietary patterns were summarized through principal component analysis: the "fruit and vegetable" model, the "high purine" model, the "plant-based staple food" model, the "high-quality animal protein" model, and the "sugar-lipid" model. Grouped by quartiles of dietary pattern scores and after adjusting for covariates, compared with the group where the father was in the "high-quality animal protein" pattern Q1 (lowest), the ART offspring in the Q4 group (highest) had a lower risk of small for gestational age (SGA, OR=0.257, 95% CI: 0.079-0.712), and the SGA risk decreased with the increase of the score (P-trend=0.007).  Conclusion  A dietary pattern of "high-quality animal protein" adopted by fathers may reduce the risk of SGA in the offspring of ART. Fathers should increase their intake of high-quality protein during the preconception period to ensure the normal growth and development of the fetus and reduce the risk of adverse birth outcomes.
Application of a sleep management program based on the stepwise nursing model in premature infants in the NICU
HUANG Xiaoxia, GAO Ping, HU Sisi, ZHENG Bingqing, CHEN Shuang, XU Xiaoqun
2026, 24(1): 155-159. doi: 10.16766/j.cnki.issn.1674-4152.004351
34 0
Abstract:
  Objective  To develop and evaluate a stepped-care-based sleep protocol for preterm infants, with a view to guiding clinical sleep protection and intervention.  Methods  From September to December of 2023, a total of 60 infants born preterm (as defined by a gestational age of less than 37 weeks) were enrolled in the study. These infants were recruited from a designated neonatal unit and were subsequently divided into two groups comprising 30 individuals each. The control group received routine care, while the intervention group received the sleep protocol in addition to routine care. The outcomes encompassed a range of metrics, including 24 h/daytime/nighttime sleep duration, weight gain velocity, heart rate, number of days spent in hospital, and oxygen saturation levels.  Results  The intervention group exhibited a greater duration of average sleep over a 24-h period [(18.40±1.87) hours] and during daytime [9.00 (8.75, 10.00) hours] vs. control group [(16.00±2.45) hours and 7.00 (6.00, 8.00) hours, both P < 0.001]. Nighttime sleep showed no difference [9.00(8.00, 10.00)h vs. 9.00(8.00, 10.00) h, P>0.05]. A significant difference was observed in weight gain velocity [(20.50±0.43) g/(kg·d) vs. (16.37±0.50) g/(kg·d)] and heart rate [(135.83±13.91) times/min vs. (145.07±12.25) times/min] (P < 0.05). Hospitalization days [25.50 (20.00, 32.00) d vs. 30.00 (25.00, 37.00) d] and oxygen saturation [(95.13±3.15) % vs. (96.20±2.80) %] were comparable (P>0.05).  Conclusion  The stepped-care protocol has been demonstrated to enhance sleep duration, heart rate, and weight gain in preterm infants, thus offering significant clinical benefits in terms of promotion..
The application of virtual reality-assisted nursing in the perioperative care of patients with hemoptysis after transbronchial arterial embolization surgery
ZHANG Ailian, SONG Biao, BAI Jiayuan, RUI Maoli, ZHAO Xuechen, MIN Xuhong
2026, 24(1): 160-163. doi: 10.16766/j.cnki.issn.1674-4152.004352
27 0
Abstract:
  Objective  To construct an interventional nursing plan for hemoptysis patients based on virtual reality technology and to evaluate its application effect in the perioperative nursing of patients with bronchial artery embolization (BAE), providing a basis for improving the quality of life and satisfaction of patients while reducing the incidence of complications.  Methods  From December 2023 to December 2024, a total of 80 patients with hemoptesis treated by BAE at Anhui Provincial Chest Hospital were selected and randomly divided into the control group (n=40) and the observation group (n=40). The control group was given routine nursing, whereas the observation group was given interventional nursing based on virtual reality. The treatment effect, length of hospital stay, hemoptysis volume, quality of life, nursing satisfaction, psychological status, and incidence of complications were compared between the two groups.  Results  The total effective rate of treatment in the observation group was 95.00% (38/40), which was higher than that of the control group (77.50%, 31/40, χ2=5.165, P < 0.05). After the nursing intervention, the hospitalization duration and re-bleeding volume in the observation group were lower than those in the control group (P < 0.05). After the nursing intervention, the quality of life scores improved in both groups improved, with the observation group showing higher scores compared with the control group [(96.67±4.49) points vs. (80.23 ± 5.66) points, P < 0.05]. After the nursing intervention, the total satisfaction rate of the observation group was 97.50% (39/40), which was higher than that of the control group (80.00%, 32/40, χ2=6.135, P < 0.05). Following the nursing intervention, both groups demonstrated decreased the self-rating anxiety scale (SAS) scores and self-rating depression scale (SDS) scores (P < 0.05), with the observation group achieving lower score than the control group (P < 0.05). The incidence of complications in the observation group was lower than that in the control group [2 cases (5.00%) vs. 8 cases (20.00%), χ2=4.114, P < 0.05].  Conclusion  The intervention nursing based on virtual reality can significantly improve the effective rate of BAE treatment, nursing satisfaction, quality of life, reduce complications, relieve anxiety and depression in patients with hemoptysis. This approach is worthy of further clinical promotion and application.
Mindfulness based stress reduction on empathy fatigue among medical staff in laminar flow wards under the unaccompanied management model
LIN Wanbing, JIANG Jiaojiao, XU Fangfang, HU Hongyan, HE Jiangjuan
2026, 24(1): 164-167. doi: 10.16766/j.cnki.issn.1674-4152.004353
22 0
Abstract:
  Objective  To explore the effect of mindfulness decompression on theempathy ability of medical staf in laminar flow ward under the management modewithout accompanying, so as to provide a scientific basis for optimizing thepsychological intervention strategy of medical staff in laminar flow ward andimproving their mental health level in the future.  Methods  From November 2023 to November 2024, 44 medical staff in the laminar flow wards of Zhejiang Provincial Hospital of Traditional Chinese Medicine were selected as the research subjects and randomly divided into a control group (n=22) and an intervention group (n=22) using a random number table method. The control group did not engage in any activities other than daily work, while the intervention group received mindfulness-based stress reduction and empathy training for 8 weeks. A trained mindfulness instructor led the intervention group in a series of mindfulness practices, which included mindful breathing, body scan, mindful meditation, and mindful walking. By using the stress perception questionnaire, Pittsburgh sleep quality index, and the Chinese version of the empathy fatigue scale to compare the performance of medical staff in laminar flow hospitals before and after intervention, the impact was measured, and the effectiveness was observed.  Results  After the intervention, the total scores of sense of control, sense of urgency and pressure perception in the intervention group [(4.36±1.09) points, (4.41±1.05) points, (8.77±1.66) points] were lower than those in the control group [(5.77±1.90) points, (5.77±1.74) points, (11.64±2.44) points], and the total score of Pittsburgh sleep quality index was lower than that in the control group, with statistical significance (P < 0.05). The job burnout and secondary trauma in the intervention group were lower than those in the control group, and empathic satisfaction [(48.41±2.22) points] was significantly higher than that of the control group [(36.59±4.83)points, P < 0.001].  Conclusion  Mindfulness-based stress relief therapy can effectively reduce empathy fatigue among medical staff in laminar flow wards, enhance work efficiency, increase self-identity, and improve their psychological well-being, thus possessing promotion value.
Hypotonia-ataxia-developmental delay syndrome caused by EBF3 variant in a child: a case report and literature review
LI Huijing, RUAN Miaohua, WANG Dan, LU Chaosheng
2026, 24(1): 168-170. doi: 10.16766/j.cnki.issn.1674-4152.004354
22 1
Abstract:
This study analyzed the clinical phenotype and genetic etiology of a 14-month-old patient patient diagnosed with hypotonia-ataxia-developmental delay syndrome (HADDS) who was admitted to the Department of Pediatric Neurology at the First Affiliated Hospital of Wenzhou Medical University in August 2024. The patient presented with "developmental delay for over six months" as the chief complaint, exhibiting clinical manifestations including hypotonia, global developmental delay, characteristic facial features, and ataxia. Whole-exome sequencing of the family identified a nonsense variant c.1038C>A (p.Y346*) in the EBF3 gene of the proband, which was absent in both parents as confirmed by Sanger sequencing. According to the American College of Medical Genetics and Genomics standards, this variant was classified as pathogenic. Through literature review summarizing relevant disease manifestations and genetic characteristics, this case not only expands the variant spectrum of EBF3 -related HADDS but also enriches its clinical phenotype, providing new evidence and case reference for research on this disorder.
A case of sudden sensorineural hearing loss complicated with non-ST-segment elevation myocardial infarction
LIU Yang, FENG Yongjun, LIU Qianhan, DENG Yuyuan
2026, 24(1): 171-174. doi: 10.16766/j.cnki.issn.1674-4152.004355
26 1
Abstract:
This article reports a case of a patient who was admitted to the hospital with sudden sensorineural hearing loss as the initial diagnosis, and developed chest tightness during the course of treatment, which was later diagnosed as acute non-ST-segment elevation myocardial infarction. Although the etiology of sudden sensorineural hearing loss (SSNHL) remains unclear, current theories suggest possible mechanisms including viral infection, inner ear microcirculation disorders, immune factors, and perilymph fistula. However, increasing evidence suggests its potential cardiovascular pathophysiological mechanisms. Recent studies have revealed the association between acute myocardial infarction (AMI) and SSNHL. The results of this case further support the vascular pathophysiological mechanisms underlying the development of SSNHL and emphasize the need for clinicians to be vigilant about the occurrence and progression of AMI in the management of SSNHL patients.