Current Issue

2025, Volume 29,  Issue 10

General Practice Forum
Analysis of the current status and development trends of family doctor contract services based on Bibliometrix
LI Yaru, ZHAO Jing, WANG Xinran, LIU Xinyu, GUAN Yongyi, SU Yunhan
2025, 23(10): 1631-1635. doi: 10.16766/j.cnki.issn.1674-4152.004193
125 9
Abstract:
  Objective  With the severe aging population in our country and the increasing prevalence of chronic non-communicable diseases year by year, research on family doctor contract services has gradually increased both domestically and internationally. However, there are limitations, and there is a lack of comparative analysis across regions or countries. This article uses bibliometric methods to systematically sort out and analyze the current research status in the field of family doctor contract services, to grasp the research hotspots and evolutionary trends in this field, and to provide directions and references for future research.  Methods  We searched the Web of Science database for research literature on family doctor contract services published between January 1, 2004, and December 31, 2023. We used Bibliometrix software to quantitatively and visually analyze the literature in terms of annual publication volume, journals, institutions, highly cited articles, national cooperation, and keywords.  Results  A total of 1 783 articles were included, involving 673 journals. The UK' s "BMJ OPEN" published the most articles; "The Lancet" "JAMA" and "BMJ" have significant influence and authority in the field of family doctor contract services; the United States has published 2 603 articles, far surpassing other countries and leading the field; the Netherlands places great importance on international cooperation, with the highest rate of international cooperation; "care" and "services" are the core and foundation of family doctor contract service research; the research hotspots in the past three years have focused on the elderly, China, primary health care, and stress.  Conclusion  The number of publications in the field of family doctor contract services is showing a growing trend; research exhibits clear international and diversified characteristics; scientific cooperation and transnational exchanges are very important; managing chronic disease patients is a hot topic in the field of family doctor contract services; mental health will be a key direction for future research.
Guidelines and Consensus
Expert consensus on the development integrated medical-nursing-rehabilitation service system for older adults
Project Team of the National Key R&D Program "Integrated Technologies and Applications for Smart Healthcare and Elderly Care Services"
2025, 23(10): 1636-1642. doi: 10.16766/j.cnki.issn.1674-4152.004194
163 10
Abstract:
With the accelerating trends of population aging and increased longevity in China, the healthcare, rehabilitation, and elderly care systems face significant challenges in addressing the health needs of older adults. A critical priority is to effectively integrate medical, rehabilitative, and elderly care resources, coordinate home- and community-based care with institutional care models, and leverage community hospitals and rehabilitation facilities to deliver whole-life-cycle integrated health management and elderly care services, thereby advancing healthy aging. Supported by the National Key R&D Program "Integrated Technologies and Applications for Smart Healthcare and Elderly Care Services", this expert consensus was developed under the leadership of the China Rehabilitation Research Center in collaboration with twelve authoritative institutions including Guangdong Provincial People' s Hospital, Central South University, and China Research Center on Aging. The consensus establishes standardized guidelines across seven critical dimensions: the conceptual framework of integrated care, service principles, individualized functional assessment protocols for elderly populations, among others. This initiative aims to provide an evidence-based reference for advancing China' s integrated elderly healthcare service system.
Special Topic/Stroke
Analysis of influencing factors and predictive value of in-hospital acute ischemic stroke
Dilidare·Aierken, Xiherezhati·Abulimiti, TIAN Ruisi
2025, 23(10): 1643-1646. doi: 10.16766/j.cnki.issn.1674-4152.004195
128 16
Abstract:
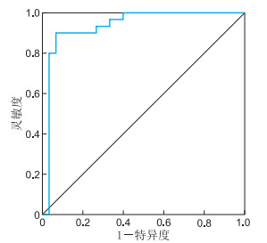
  Objective  Given that in-hospital acute ischemic stroke (IHS) is often associated with diagnostic delays and poor prognosis due to patients' complex underlying conditions and specific treatment backgrounds, this study aims to identify independent risk factors for IHS and evaluate their predictive value, so as to provide a basis for early clinical identification and intervention.  Methods  A retrospective analysis was conducted on 85 cases of acute ischemic stroke admitted to the Department of Neurology of the Second Affiliated Hospital of Xinjiang Medical University, from January 2015 to January 2020. The 85 cases were included as the in-hospital group, and 170 cases hospitalized due to acute ischemic stroke during the same period were selected as the control group (out-of-hospital group). The general information between the two groups of patients was analyzed. Logistic regression was used to analyze the factors of in-hospital acute ischemic stroke. The receiver operating characteristic (ROC) curve was used to analyze the predictive value of each factor for acute ischemic stroke in the hospital.  Results  Cardiac insufficiency (OR=5.202, 95% CI: 1.436-18.849), mRS score at onset (≥3 points, OR=3.602, 95% CI: 1.809-7.175), perioperative period (OR=4.085, 95% CI: 1.391-11.997), combined anterior and posterior circulation infarction (OR=1.959, 95% CI: 1.270-3.022), and cardiogenic embolism (OR=2.312, 95% CI: 1.257-4.253) were identified as independent risk factors for the occurrence of acute ischemic stroke in hospital (P<0.05). The AUCs of IHS for cardiac insufficiency, high mRS score at onset, perioperative period, combined anterior and posterior circulation infarction, and cardiogenic embolism were 0.705, 0.720, 0.736, 0.751 and 0.782, respectively. The combined prediction of all five indicators yielded an AUC of 0.913.  Conclusion  Cardiac insufficiency, mRS score at onset, perioperative period, combined anterior and posterior circulation infarction, and cardiogenic embolic infarction are independent risk factors affecting the occurrence of IHS. These factors have certain significant predictive value for the occurrence of IHS.
Risk factors for poststroke pneumonia in stroke patients
ZHAO Kanglu, LI Xuesong, YE Weijiang, LIU Wenbing, CHEN Xiaoling, XIA Qiuhua
2025, 23(10): 1647-1649. doi: 10.16766/j.cnki.issn.1674-4152.004196
66 6
Abstract:
  Objective  This study aimed to analyze the risk factors for poststroke pneumonia in stroke patients to enable early intervention, reduce its incidence, and improve patient outcomes.  Methods  A total of 441 stroke patients who received treatment at Zhejiang Rehabilitation Medical Center from January 2023 to October 2023 were selected. The demographic data (gender, age), clinical variables (consciousness disorder, dysphagia, whether invasive procedures), complications (coronary heart disease, hypertension, hyperlipidemia), and laboratory parameters (white blood cells, red blood cells, platelets, serum potassium, serum sodium, and glycosylated hemoglobin) were recorded. Based on the occurrence of poststroke pneumonia within 3 weeks of admission, they were divided into the pneumonia group and the non-pneumonia group. The occurrence of poststroke pneumonia was statistically analyzed, and the risk factors for poststroke pneumonia in stroke patients were analyzed.  Results  Among 441 patients including 293 males and 148 females, with an average age of (58.58±13.60) years. The incidence of poststroke pneumonia was 16.10% (71/441). Univariate analysis of poststroke pneumonia identified age, consciousness disorder, dysphagia, invasive procedures, and glycosylated hemoglobin as influencing factors for poststroke pneumonia in stroke patients (P<0.05). Unconditional multivariate logistic regression model analysis demonstrated that age >60 years, presence of consciousness disorder, dysphagia, and glycosylated hemoglobin >7.5% were independent risk factors for poststroke pneumonia in stroke patients (P<0.05).  Conclusion  The occurrence of poststroke pneumonia in stroke patients is correlated with age, consciousness disorder, dysphagia, and elevated glycosylated hemoglobin. Early identification and targeted management of these factors are necessary to reduce the risk of poststroke pneumonia in stroke patients and improve the prognosis of patients.
The correlation between sleep status and the risk of cognitive impairment after stroke
KUANG Yongmei, HU Lejing, KE Xuexue, LIAN Hong, ZOU Zehui, YU Yu
2025, 23(10): 1650-1653. doi: 10.16766/j.cnki.issn.1674-4152.004197
43 1
Abstract:
  Objective  Sleep disorders are one of the common complications after stroke, which have a significant impact on the recovery and quality of life of patients. The study aims to explore the correlation between sleep status and post-stroke cognitive impairment (PSCI), in order to provide a scientific basis for clinical diagnosis and treatment.  Methods  The 146 stroke patients who received treatment at the Second Affiliated Hospital of Wenzhou Medical University from January 2021 to January 2024 were selected as the research subjects. After a 3-month follow-up, their cognitive function was evaluated using the Montreal cognitive assessment scale (MoCA), and they were divided into a PSCI group (72 cases) and a non-PSCI group (74 cases) based on the scoring results. General information of the two groups of patients was compared, and the pittsburgh sleep quality index (PSQI) was used to evaluate their sleep status. A multifactor logistic regression model was used to screen for factors related to PSCI after stroke, and a restricted cubic spline (RCS) was used to fit the relationship between sleep status and PSCI after stroke.  Results  The PSQI and National Institutes of Health stroke scale (NIHSS) scores of patients in the PSCI group were higher than those in the non PSCI group (P<0.05); The levels of blood uric acid (BUA), cystatin C (CysC), and high-sensitivity C-reactive protein (hs-CRP) in the PSCI group were higher than those in the non PSCI group (P<0.05); Multivariate logistic regression analysis showed that PSQI, NIHSS, CysC, BUA, and hs-CRP are independent influencing factors for PSCI after stroke; The RCS plot showed a significant non-linear relationship between sleep status and the occurrence of PSCI in patients after stroke (χ2=21.380, P<0.001).  Conclusion  Sleep status is associated with the risk of PSCI after stroke.
General Practice Research
Exploring potential molecular targeting strategies for the treatment of acute myocardial infarction with genes encoding panax notoginseng saponins
ZHOU Ruiling, SUN Jinghui, DENG Yanping, HUANG Hongbo, NIU Zelong, WANG Peili
2025, 23(10): 1654-1657. doi: 10.16766/j.cnki.issn.1674-4152.004198
59 3
Abstract:
  Objective  To analyze the causal relationship between genes underlying the antithrombotic drug target of Panax notoginseng saponins (PNS) and acute myocardial infarction (AMI) using Mendelian randomization (MR) method.  Methods  Genome-wide association study (GWAS) datasets were obtained from the European Bioinformatics Institute, Finnish database and UK Biobank database, all available online at the IEU Open GWAS website. Random-effects inverse variance weighting was the main analytical method, MR-Egger regression tested for horizontal pleiotropy, Cochran' s Q test assessed heterogeneity, and leave-one-out sensitivity analysis assessed stability.  Results  Eighteen core drug targets of PNS were obtained, and the genetic proxies of the 18 targets were screened for thrombus-positive diseases to identify 11 effective antithrombotic targets, which resulted in five potential drug targets for the treatment of AMI, including HIF1A, MDM2, CCND1, TP53 and INS. PNS targets HIF1A, CCND1, TP53, and INS were associated with an increased risk of AMI (all OR>1, P<0.05), and MDM2 was associated with a decreased risk of AMI (OR=0.671, P=0.022).  Conclusion  PNS exhibits potential therapeutic effects for AMI by targeting myocardial apoptosis pathways through antithrombotic genes to modulate disease progression, highlighting its potential as a key target for developing precision therapeutic strategies.
Study on the relationship between the nature of cold and heat of IBS-D and changes in gut microbiota and metabolites
TANG Binbin, HU Yunlian, SU Chengxia, HUANG Chaoqun, WEN Na
2025, 23(10): 1658-1662. doi: 10.16766/j.cnki.issn.1674-4152.004199
63 3
Abstract:
  Objective  To investigate the correlation between changes in gut microbiota and metabolites and the nature of cold and heat in traditional Chinese medicine (TCM) through diarrhea-predominant irritable bowel syndrome (IBS-D) rat models with cold-dampness syndrome and damp-heat syndrome.  Methods  Thirty newborn rats were divided into a healthy group, a damp-heat group, and a cold-dampness group using the random number table method, with 10 rats in each group. The damp-heat group was subjected to maternal separation, restraint stress, a high-fat and high-sugar diet, and a damp-heat environment to establish an IBS-D rat model with damp-heat syndrome. The cold-dampness group was subjected to maternal separation, restraint stress, and intragastric administration of senna leaves to establish an IBS-D rat model with cold-dampness syndrome. Subsequently, 16S rRNA sequencing and non-targeted metabolomics were employed to detect the gut microbiota and fecal metabolites of the rats in each group, respectively, followed by bioinformatics analysis.  Results  Significant differences in β-diversity were observed among the rat groups (P=0.001). Specifically, bacterial genera such as Clostridium_sensu_stricto_1, Roseburia, and Prevotella were enriched in the damp-heat group, whereas Dubosiella, Akkermansia, and Romboutsia were enriched in the cold-dampness group. The disrupted metabolic pathways in the damp-heat group rats primarily involved alanine, aspartate, and glutamate metabolism. In contrast, the cold-dampness group rats exhibited disruptions in steroid hormone biosynthesis, tryptophan metabolism, and histidine metabolism. The differential pathways between the damp-heat and cold-dampness groups mainly involved pantothenate and CoA biosynthesis, histidine metabolism, and glycerophospholipid metabolism.  Conclusion  There are differences in the characteristics of gut microbiota and metabolites between IBS-D with cold-dampness syndrome and damp-heat syndrome. The changes in gut microbiota and metabolites might be the microscopic manifestations of the nature of cold and heat in TCM.
The relationship of IL-6 and TNF-α levels with glucocorticoid sensitivity in patients with idiopathic Orbital inflammatory pseudotumor
REN Xiaolei, GONG Zhaoju, ZHOU Lei, ZHANG Zhiyang, LI Wei
2025, 23(10): 1663-1666. doi: 10.16766/j.cnki.issn.1674-4152.004200
55 4
Abstract:
  Objective  To investigate the relationship between serum interleukin-6 (IL-6), tumor necrosis factor-α (TNF-α) levels, and glucocorticoid sensitivity in patients with idiopathic orbital inflammatory pseudotumor (IOIP).  Methods  A total of 97 IOIP patients admitted to Xuzhou First People ' s Hospital from January 2020 to January 2023 were selected and divided into the glucocorticoid-sensitive group (n=62) and the resistance group (n=35) according to glucocorticoid sensitivity. The levels of IL-6 and TNF-α and disease activity were observed, the correlation was analyzed. The ROC curve was used to evaluate the predictive value of each index for the sensitivity of glucocorticoids.  Results  The serum levels of IL-6 and TNF-α in the resistance group and the proportion of patients in the active stage [(2.24±0.28) pg/mL, (1.95±0.22) pg/mL, 65.71% (23/35)] were higher than those in the sensitive group [(1.89±0.33) pg/mL, (1.45±0.31)pg/mL, 43.55%(27/62), P < 0.05]. The serum levels of IL-6 and TNF-α in the active patients in the sensitive group were higher than those in the inactive patients (P < 0.05); the serum levels of IL-6 and TNF-α in the active patients in the resistance group were higher than those in the inactive patients (P < 0.05). Spearman correlation analysis showed that the levels of IL-6 and TNF-α were positively correlated with the disease activity in the IOIP patients (r=0.433, 0.396, P < 0.05). ROC curve showed that IL-6 and TNF-α levels predicted glucocorticoid sensitivity with a score below the curve of 0.689 and 0.698 (P < 0.05).  Conclusion  Serum IL-6 and TNF-α expression is higher in patients with glucocorticoid resistance to IOIP, which can predict glucocorticoid sensitivity.
The value of neuroinflammation-related factors in predicting the occurrence of postoperative delirium in elderly patients with spinal fractures and the construction of predictive models
WANG Haigang, LI Yanling, LI Yuebing, LIU Lu, HUANG Yuliang, WANG Xinhua, YANG Shiwei
2025, 23(10): 1667-1671. doi: 10.16766/j.cnki.issn.1674-4152.004201
48 3
Abstract:
  Objective  To explore the relationship between neuroinflammation neuroinflammation-related factors and delirium in elderly patients suffering from spinal fractures, this study constituted an investigation into the measurement of baseline neuroinflammation-related factors in elderly patients with spinal fractures. The construction of a risk prediction model was then based on the findings.  Methods  From January 2022 to June 2024, a total of 426 elderly patients afflicted with spinal fractures were enrolled in the Second Affiliated Hospital of Zhejiang Chinese Medicine University. According to the ratio of 7∶3, the patients were divided into a training set (n=298) and a verification set (n=128). According to the incidence of postoperative delirium, the patients were categorized into two groups (the occurrence group and the non-occurrence group) to explore the influencing factors of delirium. Meanwhile, a prediction model was also constructed.  Results  Multivariate logistic regression analysis showed that age, operation time, interleukin-6 (IL-6), IL-1β, C-reactive protein (CRP), and central nervous system-specific protein (S100β) were all independent influencing factors for the occurrence of postoperative delirium in elderly patients undergoing spinal fracture surgery (P < 0.05). ROC curve analysis indicated that the area under the curve (AUC) of the model constructed based on the above influencing factors for predicting postoperative delirium in elderly patients undergoing spinal fracture surgery was 0.881, with a sensitivity of 85.71%, a specificity of 79.75%, and a Youden index of 0.655. Validation by the validation set showed that the AUC of this prediction model was 0.858 (95% CI: 0.782-0.916), with a sensitivity of 80.65%, a specificity of 76.47%, and a Youden index of 0.571. Decision curve analysis revealed that the threshold probabilities of the training set and the validation set were 1% and 2% respectively, suggesting that this prediction model had a relatively high net benefit.  Conclusion  Age, operation time, IL-6, IL-1β, CRP and S100β as the influencing factors of delirium in elderly patients with spinal fracture, and the prediction model based on these factors has high prediction efficiency.
Effects of serum HIF-1α and VEGF on vascular calcification in patients with maintenance hemodialysis
DAI Rong, HAN Shu, XIE Weinan, WANG Baojia, DI Jiamei
2025, 23(10): 1672-1675. doi: 10.16766/j.cnki.issn.1674-4152.004202
47 3
Abstract:
  Objective  To investigate the relationship between serum hypoxia-inducible factor-1α (HIF-1α), vascular endothelial growth factor (VEGF), and vascular calcification (VC) in patients with maintenance hemodialysis (MHD), and to evaluate their predictive value for VC.  Methods  A total of 101 patients with chronic kidney disease (CKD) who underwent MHD in the Blood Purification Center of the First Affiliated Hospital of Anhui University of Science and Technology from October 2023 to August 2024 were enrolled. The patients ' VC was evaluated by abdominal lateral X-ray. According to the abdominal aortic calcification score (AACS), they were divided into a calcification group (59 cases) and a non-calcification group (42 cases). The clinical data, such as serum calcium and phosphorus, and serum HIF-1α and VEGF levels, were compared between the two groups. The correlation method was used to analyze the correlation between HIF-1α, VEGF, and AACS. Multivariate logistic regression was used to analyze the influencing factors of VC in MHD patients. The ROC curve was used to analyze the predictive value of HIF-1α and VEGF levels for VC in MHD patients.  Results  The age, dialysis age, alkaline phosphatase, serum calcium, serum phosphorus, TC, HIF-1α, and VEGF levels in the calcification group were higher than those in the non-calcification group (P < 0.05). Correlation analysis showed that the levels of HIF-1α and VEGF were positively correlated with AACS (P < 0.05). Multivariate logistic regression showed that age, serum calcium, serum phosphorus, HIF-1α, and VEGF were risk factors for VC in MHD patients (P < 0.05). The areas under the ROC curves of HIF-1α and VEGF alone and their combined prediction were 0.756 (sensitivity 47.5%, specificity 97.6%), 0.777 (sensitivity 71.2%, specificity 76.2%), and 0.879 (sensitivity 83.1%, specificity 83.3%), respectively.  Conclusion  Age, serum calcium, serum phosphorus, and levels of HIF-1α and VEGF are important influencing factors for the occurrence of VC in MHD patients. HIF-1α and VEGF are positively correlated with AACS. Both have certain predictive value for the occurrence of VC in MHD patients, and the combined predictive value is higher.
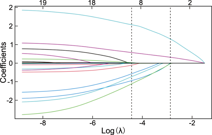
A study on risk factor analysis and prediction model construction for dilated cardiomyopathy complicated with pulmonary hypertension
LUO Hangzhou, ZHOU Ping, CHEN Yukai
2025, 23(10): 1676-1680. doi: 10.16766/j.cnki.issn.1674-4152.004203
50 3
Abstract:
  Objective  To investigate risk factors for pulmonary hypertension (PH) in patients diagnosed with dilated cardiomyopathy (DCM) and develop a predictive model to facilitate early identification of patients who are at high risk, thus enabling optimized clinical management.  Methods  A total of 122 patients diagnosed with DCM patients were admitted to the Affiliated Hospital of Hangzhou Normal University between October 2022 and October 2024, were divided into PH and non-PH groups (61 each). Binary logistic regression was used to identify risk factors for PH in DCM and construct a predictive model. The predictive model ' s performance was evaluated using ROC curves, with calibration assessment being conducted in both the training and validation sets.  Results  Statistically significant differences were identified (P < 0.05) between the two groups with regard to QRS wave duration on electrocardiogram (ECG), the sum of R-wave amplitude in lead V1 and S-wave amplitude in lead V5 (RV1+SV5) on ECG, N-terminal pro-brain natriuretic peptide (NT-proBNP), left anterior descending coronary artery (LAD), and pulmonary artery systolic pressure (PASP). Binary logistic regression analysis revealed that QRS wave duration, RV1+SV5, NT-proBNP, and PASP were all influential factors for DCM complicated by PH (P < 0.05). ROC analysis demonstrated that the AUCs for predicting PH in DCM using QRS wave duration, RV1+SV5, NT-proBNP, and PASP were 0.862, 0.362, 0.840, and 0.848, respectively, the sensitivity were 70.50%, 88.50%, 68.90% and 86.90%, and the specificity were 95.10%, 9.80%, 90.20% and 73.80%, respectively. The calibration curve was utilized to evaluate the calibration of the model, and the results indicated effective discrimination of the nomogram. The prediction model ' s calculation formula was utilized to obtain prediction model data, which was then employed as test variables, with group assignment designated as the state variable. An ROC curve was undertaken for the purpose of analyzing the discrimination of each model, and the results showed an AUC of 0.985 for the prediction model, with a sensitivity of 91.80% and a specificity of 98.40%. A calibration curve for the nomogram was plotted, and there was a high degree of consistency between the calibration curves for the training and validation sets and the ideal curve, indicating a minor discrepancy between the prediction model and the actual validation.  Conclusion  QRS duration, NT-proBNP, and PASP are key predictors of PH in DCM. The model offers excellent predictive performance, supporting early screening and personalized treatment strategies for improved precision medicine.
The expression of NLPR3 and NF-κB in peripheral blood mononuclear cells of patients with diabetic cardiomyopathy and their correlation with myocardial perfusion
MENG Shasha, LI Nan, LIU Xiaohua
2025, 23(10): 1681-1684. doi: 10.16766/j.cnki.issn.1674-4152.004204
35 2
Abstract:
  Objective  To explore nucleotide-binding oligomerization domain-like receptor protein 3(NLPR3) in peripheral blood mononuclear cells of patients with diabetic cardiomyopathy (DCM) Expression characteristics of nuclear transcription factor KappaB(NF-κB) and its correlation with myocardial perfusion development in patients.  Methods  A total of 100 patients with diabetes admitted to Qingdao Hospital of University of Health and Rehabilitation Sciences from June 2023 to June 2024 were enrolled and divided into a DCM group and a diabetes group. An additional 30 healthy individuals undergoing physical examinations were selected as the control group. Receiver operating characteristic (ROC) curves were used to evaluate the diagnostic efficacy of NLPR3 and NF-κB expression in DCM. Pearson correlation was used to analyze the correlation between NLPR3 and NF-κB expression with summed stress score (SSS score) and summed rest score (SRS score) on myocardial perfusion.  Results  The expressions levels of NLPR3 and NF-κB in the DCM group (1.67±0.28, 2.21±0.65) were higher than those in the diabetes group (1.04±0.20, 1.57±0.38), and both were elevated relative to the control group (0.76±0.10, 0.75±0.10; F=172.319, 91.669, P < 0.05). The areas under the curve of NLPR3, NF-κB, and their combined detection for diagnosing DCM were 0.963, 0.847, and 0.990, respectively (P < 0.05). The SSS and SRS scores of the DCM group (19.68±8.19, 13.10±4.62) were both higher than those in the diabetes group (6.36±1.04, 5.21±1.92), while the LVEF [(34.14±15.58) %] was lower than that in the diabetes group [(53.21±8.58)%, t=12.877, 11.980, 7.907, P < 0.05]. The expressions of NLPR3 and NF-κB in patients with DCM were positively correlated with SSS and SRS scores (r=0.449, 0.367, 0.353, 0.401, P < 0.05).  Conclusion  NLPR3 and NF-κB are upregulated in peripheral blood mononuclear cells of DCM patients, and their expression is closely associated with impaired myocardial perfusion. These markers can assist the clinical diagnosis of DCM and provide insights into the pathophysiological mechanisms of DCM.
Efficacy of low frequency transcranial magnetic stimulation combined with cognitive behavioral therapy in patients with Parkinson's disease complicated with sleep disorders
LIU Minfen, LAN Likang, LYU Jin, LIANG Yanfei, XU Ruyue, WU Hongwei
2025, 23(10): 1685-1688. doi: 10.16766/j.cnki.issn.1674-4152.004205
61 2
Abstract:
  Objective  To explore the clinical effect of low-frequency transcranial magnetic stimulation (LF-TMS) combined with cognitive behavioral therapy (CBT) in the treatment of patients with Parkinson ' s disease (PD) complicated with insomnia disorder, and to provide guidance for improving the sleep quality of PD patients.  Methods  A total of 92 patients with PD complicated with sleep disorders admitted to Lishui People ' s hospital from October 2021 to October 2023 were selected and randomly divided into an observation group and a control group, with 46 cases in each group, by the random number table method. Both groups were treated with LF-TMS, and the observation group received CBT intervention on the basis of LF-TMS treatment. The Pittsburgh sleep quality index (PSQI) scale, Parkinson ' s disease sleep scale (PDSS), and cardiopulmonary coupling (CPC)- assessment system were used to evaluate the sleep status before the intervention and at 4 weeks, and the clinical efficacy of the two groups 3 months after the intervention was compared.  Results  The PSQI scale score indicators of the two groups at 4 weeks after the intervention were significantly lower than the corresponding indicators of the same group before the intervention (P < 0.01), and the PDSS scores were significantly higher than the indicators before the intervention (P < 0.01). The PSQI scale score indicators of the observation group at 4 weeks after the intervention were significantly lower than those of the control group at the same period (P < 0.05). The total clinical effective rate of the observation group was significantly higher than that of the control group [44 cases (95.65%) vs. 36 cases (78.26%), χ2=6.133, P=0.013]. Before the intervention, there was no statistically significant difference in the CPC index between the two groups (P>0.05). After the intervention, the above indicators in the observation group were significantly better than those in the control group (P < 0.01).  Conclusion  The utilization of LF-TMS in conjunction with CBT in the treatment of PD patients with sleep disorders has significant clinical effect, which can significantly improve the sleep disorders of PD patients and improve the sleep quality.
The influencing factors and prediction model construction of postoperative kinesiophobia in elderly patients with hip fractures
SHI Cui, XIONG Fei, RUI Biyu
2025, 23(10): 1689-1693. doi: 10.16766/j.cnki.issn.1674-4152.004206
64 3
Abstract:
  Objective  To analyze the influencing factors of kinesiophobia after hip fracture surgery in the elderly and construct a predictive model, providing a theoretical basis for clinical intervention of postoperative kinesiophobia.  Methods  A prospective study was conducted to select 223 elderly patients with hip fractures who underwent surgical treatment at Shanghai Sixth People ' s Hospital from November 2023 to July 2024 as the research subjects. The occurrence of kinesiophobia was evaluated within 2 days after the operation, and patients were divided into the kinesiophobia group and the non-kinesiophobia group. The influencing factors of postoperative phobias in elderly hip fracture patients were analyzed. Based on the obtained influencing factors, a prediction model was constructed.  Results  A total of 219 valid questionnaires were retrieved. Out of 219 patients, 66 developed phobias, with an incidence rate of 30.14%. The results of single factor and multi-factor analysis showed that the primary caregiver (P=0.008), adverse drug reactions to anesthesia (P=0.003), exercise self-efficacy (P=0.010), social high support level (P=0.027), and pain situation (P=0.026) were all influencing factors for postoperative kinesiophobia in elderly hip fracture patients (P < 0.05). Based on various influencing factors, a nomogram prediction model was constructed, and calibration curves and decision curves were plotted. The results showed that the prediction model has good predictive performance for postoperative anxiety in elderly patients with hip fractures.  Conclusion  The occurrence of postoperative fear of movement in elderly patients with hip fractures is related to the care of the primary caregiver, adverse drug reactions to anesthesia, low exercise self-efficacy, low social support, and catastrophic pain. The predictive model constructed based on this has good predictive performance.
The correlation between geriatric nutritional risk index and long-term prognosis of patients with ulcerative colitis
HUANG Xiuqin, YAO Haixin, ZHANG Yang, XU Lijuan, ZHUGE Weiwei, HU Tingting
2025, 23(10): 1694-1696. doi: 10.16766/j.cnki.issn.1674-4152.004207
40 5
Abstract:
  Objective  To retrospectively analyze risk factors for poor long-term prognosis in patients with ulcerative colitis (UC) and to explore the correlation between the Geriatric nutritional risk index (GNRI) and the long-term prognosis of patients with UC.  Methods  A total of 136 patients with UC who were treated at the First Affiliated Hospital of Wenzhou Medical University from January 1, 2020 to December 31, 2021 were enrolled. Colonoscopy was reexamined after 3 years of treatment. According to the reexamination results, the patients were divided into the good prognosis group (n=92) and the poor prognosis group (n=44). The clinical data of the two groups of patients were compared. Spearman correlation analysis was used to analyze the correlations between GNRI and Mayo score, presence of extraintestinal manifestations, and lesion involvement of the entire colon, and the independent risk factors influencing the poor long-term prognosis of UC patients were analyzed through multivariate logistic regression. The clinical value of GNRI in predicting poor long-term prognosis was analyzed by using the receiver operating characteristic (ROC) curve.  Results  The GNRI in the good prognosis group was higher than that in the poor prognosis group (104.74±10.49 vs. 94.24±11.20). The Mayo score, the proportion of patients with extraintestinal manifestations, and the proportion of patients with lesions involving the entire colon were all lower than those in the poor prognosis group [(6.74±2.18) points vs. (8.61±2.44) points, 9.78% (9/92) vs. 27.27% (12/44), 11.96% (11/92) vs. 31.82% (14/44), P < 0.05]. Multivariate logistic regression analysis showed that decreased GNRI, elevated Mayo score, and total colonic lesions were independent risk factors for poor long-term prognosis in UC patients (P < 0.05). ROC curve analysis showed that the area under the curve of GNRI for predicting poor long-term prognosis in UC patients was 0.734 (95% CI: 0.650-0.818, P < 0.001).  Conclusion  The GNRI is an independent risk factor for the poor long-term prognosis of patients with UC and can predict the poor long-term prognosis of patients with UC.
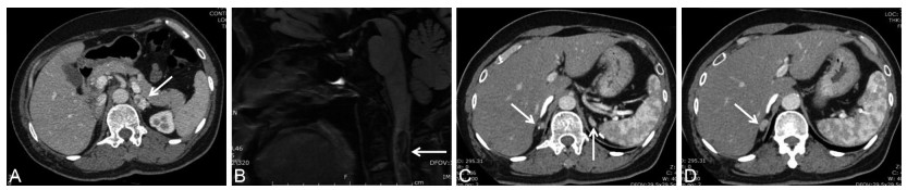
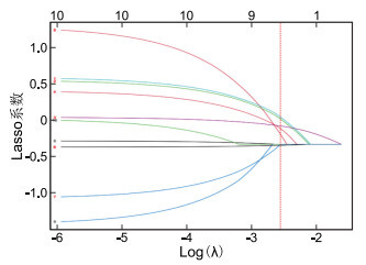
Nomogram modeling of hepatocellular carcinoma in patients with sustained HCV antiviral response
XIE Lei, GU Jiaping
2025, 23(10): 1697-1700. doi: 10.16766/j.cnki.issn.1674-4152.004208
37 2
Abstract:
  Objective  To explore the factors influencing the development of hepatocellular carcinoma (HCC) in patients with a sustained response to hepatitis C virus (HCV) therapy, and to construct a nomogram as a simple and intuitive tool for HCC risk prediction and prevention in these patients.  Methods  A total of ninety-seven patients with hepatitis C infection admitted to the Second Affiliated Hospital of Zhejiang University Medical College from June 2020 to June 2022, were selected as study subjects. A two-year follow-up was conducted, and the patients were divided into a hepatocellular carcinoma group (20 cases) and a hepatocellular carcinoma group (77 cases) according to the follow-up results. The factors associated with the development of hepatocellular carcinoma in patients with sustained HCV antiviral response were analyzed, and a nomogram model was constructed, evaluated, and validated.  Results  The age, alcohol consumption, history of diabetes mellitus, cirrhosis, total bilirubin (TBIL), and alpha fetoprotein (AFP) levels differed significantly between patients who developed hepatocellular carcinoma and those who did not develop hepatocellular carcinoma (P < 0.05). The results of multifactorial logistic regression analysis showed that age, alcohol consumption, history of diabetes, liver cirrhosis, and AFP were independent risk factors for the development of hepatocellular carcinoma in patients with sustained HCV antiviral response (P < 0.05). The ROC curves showed that the area under the curve of the nomogram model constructed in this study were 0.862 (95% CI: 0.805-0.939). The Hosmer-Lemeshow test showed that (χ2=5.028, P=0.670).  Conclusion  The development of hepatocellular carcinoma in patients with sustained HCV antiviral response is related to age, alcohol consumption, history of diabetes, cirrhosis, and AFP. The nomograph model based on these factors shows high accuracy and consistency.
The expression of serum miR-760-3p and miR-182-5p in patients with acute ischemic stroke and their relationship with prognosis
DUAN Kaiqiang, WU Yanfeng, XUE Jiahai, WANG Wei, LI Chunling, LI Juan
2025, 23(10): 1701-1705. doi: 10.16766/j.cnki.issn.1674-4152.004209
37 2
Abstract:
  Objective  By detecting the expression of serum miR-760-3p and miR-182-5p in patients with acute ischemic stroke (AIS), aimed to further explore their relationship with the patient ' s condition and prognosis.  Methods  From February 2022 to February 2024, 179 patients with AIS admitted to Zhangjiakou First Hospital were selected as the observation group, and divided into a mild group of 59 cases, a moderate group of 75 cases, and a severe group of 45 cases, and 179 healthy individuals who underwent physical examinations at our hospital were regarded as the control group. According to the patient ' s prognosis, they were divided into a good prognosis group 132 cases and a poor prognosis group 47 cases. The correlation between serum miR-760-3p and miR-182-5p expression levels and NIHSS score, the prognostic factors of patients with AIS, and the predictive value of serum miR-760-3p and miR-182-5p for the prognosis of patients with AIS were analyzed.  Results  The expression levels of miR-760-3p and miR-182-5p in the observation group and poor prognosis group were lower than those in the control group and good prognosis group, respectively (P < 0.05). As the severity of the disease deepens, the expression levels of miR-760-3p and miR-182-5p in the patient ' s serum decreased sequentially (P < 0.05). The expression levels of serum miR-760-3p and miR-182-5p were negatively correlated with NIHSS scores (rs=-0.578, -0.618, P < 0.001). The age, smoking history, hypertension history, and serum miR-760-3p and miR-182-5p were influencing factors for poor prognosis in patients with AIS (P < 0.05). ROC curve results showed that the AUC of their combination in predicting the prognosis of AIS patients was higher than that of miR-760-3p and miR-182-5p alone (P < 0.05).  Conclusion  The downregulation of miR-760-3p and miR-182-5p expression in the serum of AIS patients was closely related to prognosis.
Analysis of influencing factors of mild cognitive impairment in middle-aged and elderly patients with chronic atrial fibrillation
ZENG Defei, LI Yanan, LIU Xiaoyu
2025, 23(10): 1706-1708. doi: 10.16766/j.cnki.issn.1674-4152.004210
53 4
Abstract:
  Objective  To investigate the influencing factors of mild cognitive function impairment in middle-aged and elderly patients with chronic atrial fibrillation (AF), as to improve the cognitive function of chronic AF patients.  Methods  A total of 102 patients with chronic atrial fibrillation (AF group) and 102 patients with sinus rhythm (SR group) who visited the Department of General Medicine at the First Affiliated Hospital of Zhengzhou University from February 2023 to February 2024 were included. The Montreal cognitive assessment scale (MoCA) was used to assess the patients ' cognitive function. According to the MoCA score, the patients with chronic AF were divided into a cognitive impairment group (n=53) and a non-cognitive impairment group (n=49) for univariate and multivariate analyses.  Results  The MoCA scores of the chronic AF group and the SR group were (23.94±3.28) points and (27.17±2.51) points, respectively, and the difference was statistically significant (P < 0.05). Compared with SR group, CHA2DS2-VASc score and Pittsburgh sleep quality index (PSQI) score were higher in AF group, the proportion of AF combined with heart and the proportion of using anticoagulant and beta blockers were higher than those of SR group, and the differences were statistically significant (P < 0.05). Univariate and multivariate logistic regression analysis revealed that age and CHA2DS2-VASc score were the influencing factors of mild cognitive impairment in patients with chronic AF (P < 0.05).  Conclusion  The cognitive function of patients with chronic AF is significantly lower than that of SR group, and the most significant decrease is in visuospatial and executive function, memory and delayed recall, attention and calculation, language, and orientation. The age and CHA2DS2-VASc score are the influencing of mild cognitive impairment in chronic AF patients.
Study on the clinical effect and mechanism of Shengyang Yiwei Decoction in regulating intestinal microflora to improve spleen deficiency type 2 diabetes
YOU Jinbiao, XU Chan, XU Lei, ZHANG Qifan
2025, 23(10): 1709-1712. doi: 10.16766/j.cnki.issn.1674-4152.004211
90 2
Abstract:
  Objective  To explore the clinical efficacy of Shengyang Yiwei Decoction on type 2 diabetes mellitus (T2DM) patients with spleen deficiency, and discuss the correlation between its mechanism and intestinal flora.  Methods  Adhering closely to specific criteria, we enrolled 60 patients at the Third Affiliated Hospital of Zhejiang Chinese Medical University from September 2022 to August 2023 diagnosed with spleen deficiency-related T2DM and randomized them into two groups of 30 each using random number table method. The control group was administered standard Western therapy, including oral hypoglycemic drugs or insulin injections, on this basis, the experimental group was treated with Shengyang Yiwei Decoction, with a treatment cycle of 8 weeks. The changes in fasting plasma glucose (FPG), 2-hour post-load blood glucose (2hPG), glycated hemoglobin A1c (HbA1c) levels were detected by blood indicators, the changes in intestinal microbiota were detected using the 16S rDNA method, and the clinical curative effect was evaluated by the integral change of traditional Chinese medicine (TCM) syndrome.  Results  (1) The total effective rate of the experimental group patients after treatment was (90.00%, 27/30), which was higher than that of the control group (66.67%, 20/30, χ2=4.812, P=0.028), the score of TCM syndrome was lower than that of the control group (P < 0.01). (2) Both groups experienced significant decreases in FPG, 2hPG, and HbA1c levels after treatment, with the experimental group showing lower levels than the control group (P < 0.01). (3) Alpha diversity and Beta diversity analysis revealed that the experimental group showed a greater increase in species richness and diversity compared to the control group after treatment (P < 0.05), with significant differences in intestinal microbiota structure. Among them, the abundance of Proteus, Morchella, and Klebsiella increased significantly (P < 0.05).  Conclusion  Shengyang Yiwei Decoction is effective in improving blood glucose indicators and TCM syndrome manifestations of spleen deficiency type T2DM, with its mechanism being related to regulating intestinal flora disorders.
Recurrent fear in patients with endometrial polyp resection and its relationship with mental toughness and coping style
LI Xingxing, WANG Xiumei, HAN Yanni, CHEN Junru
2025, 23(10): 1713-1716. doi: 10.16766/j.cnki.issn.1674-4152.004212
51 1
Abstract:
  Objective  To analyze the current status of recurrence fear in patients undergoing endometrial polypectomy and explore its association with psychological resilience and coping styles.  Methods  A total of 128 patients who underwent endometrial polypectomy in the gynecology department of the Second Affiliated Hospital of Air Force Medical University from October 2022 to October 2023 were selected using convenience sampling. Data were collected through a general information questionnaire, the fear of progression questionnaire-short form (FoP-Q-SF), the Connor-Davidson resilience scale (CD-RISC), and the medical coping modes questionnaire (MCMQ). Pearson correlation analysis was used to explore the relationship between recurrence fear and psychological resilience and coping styles. Multiple linear regression analysis was conducted to identify the factors influencing recurrence fear.  Results  The total score of fear of progression in patients who underwent endometrial polypectomy was (36.53±5.82) points, the total score of family resilience was (66.65±18.31) points, and the total score of coping styles was (47.12±6.10) points. Pearson correlation analysis revealed that recurrence fear and its dimensions were positively correlated with the dimensions of resignation and avoidance (r=0.352, 0.446, 0.362, P < 0.05; r=0.412, 0.386, 0.413, P < 0.05), and negatively correlated with the total score of psychological resilience and the dimension of confrontation (r=-0.681, -0.425, -0.308, P < 0.05; r=-0.410, -0.452, -0.371, P < 0.05). Multiple linear regression analysis showed that the number of hospitalizations, educational level, disease duration, family monthly income, psychological resilience, and coping styles were all related factors influencing the current status of recurrence fear in patients who underwent endometrial polypectomy (P < 0.05).  Conclusion  The recurrence fear of patients who underwent endometrial polypectomy is at a moderate level, and psychological resilience and coping styles are the main influencing factors.
Clinical study on the effect of prebiotics on gastrointestinal recovery after laparoscopic exploration for benign gynecological diseases
XU Yaqian, SONG Mingxia, HAN Cheng
2025, 23(10): 1717-1720. doi: 10.16766/j.cnki.issn.1674-4152.004213
62 2
Abstract:
  Objective  To assess the effect of prebiotics on gastrointestinal function recovery following laparoscopic exploration for benign gynecological diseases, and to provide evidence for optimizing postoperative rehabilitation strategies.  Methods  According to the inclusion and exclusion criteria, 140 patients with laparoscopic exploration at the Department of Gynecology of Hangzhou First People ' s Hospital from September 2022 to September 2023, were randomly divided into an intervention group (prebiotic treatment) and a control group (placebo), with 70 cases in each group. Time to first postoperative flatus and defecation, gastrointestinal quality of life index (GIQLI), and the incidence of postoperative adverse reactions were compared between the two groups.  Results  The time to first flatus [(1.50±0.45) h vs. (2.75±1.20) h] and the first defecation time [(2.43±0.52) h vs. (3.58±0.61) h] in the intervention group were shorter than those in the control group (P < 0.05), respectively. One week after discharge, the score of physical dimension in the intervention group was higher than that in the control (77.87±9.19 vs. 68.10±9.67, P < 0.05). The GIQLI scores of the intervention group at discharge (55.94±15.34 vs. 63.50±18.27) and one week after discharge (50.84±11.67 vs. 55.24±11.24) were lower than those of the control group (P < 0.05). The overall incidence of adverse reactions (abdominal distension, abdominal pain, vomiting, intestinal obstruction, etc.) in the control group was significantly higher than those in the intervention group [15.71% (11/70) vs. 2.86% (2/70), P < 0.05].  Conclusion  Prebiotic intervention can significantly shorten the first exhaust and defecation time of patients with gynecological benign diseases after laparoscopic surgery, reduce the incidence of gastrointestinal adverse reactions such as postoperative abdominal distension and abdominal pain, and improve the early postoperative quality of life of patients.
The development of a community resident questionnaire on children' s use of antimicrobial drugs: a study based on reliability and validity testing
WANG Dashan, ZHOU Chao, QUAN Yuhao, XIE Ning
2025, 23(10): 1721-1725. doi: 10.16766/j.cnki.issn.1674-4152.004214
47 1
Abstract:
  Objective  Antimicrobial drug misuse poses potential risks to children' s health. This study aimed to develop a scientifically valid questionnaire for assessing community residents' knowledge, attitudes, and practices (KAP) regarding children' s antimicrobial drug use, thereby providing a basis for targeted health education strategies.  Methods  The initial questionnaire was developed based on the Knowledge-Attitude-Practice (KAP) theory, informed by a literature review and two rounds of Delphi expert consultation. Using a convenience sampling method, we surveyed 398 parents of children in Qingpu District, Shanghai between July and September 2024. The collected data underwent item analysis, exploratory factor analysis (EFA), and confirmatory factor analysis (CFA), alongside assessments of reliability and validity, to finalize the formal questionnaire.  Results  (1) Initial questionnaire: The effective response rate for both rounds of expert consultation was 100%. The expert authority coefficients were 0.75 and 0.79, respectively. Kendall' s W coefficient in the second round was 0.402 (χ2=253.056, P < 0.001). Item importance scores ranged from 4.18 to 4.88 with coefficients of variation < 25%. The preliminary scale included 3 dimensions and 31 items. (2) Item screening: after removing 13 items, the final scale comprised 18 items. EFA extracted 3 factors with loadings of 0.592-0.838, explaining 60.439% of the variance. (3) Reliability and validity: The total scale Cronbach' s α was 0.882, and the Cronbach' s α coefficients for the three dimensions ranged from 0.762 to 0.903. CFA results indicated a good model fit (χ2/df=2.78, RMSEA=0.091, NNFI=0.865, CFI=0.884, IFI=0.885). The final questionnaire included 3 dimensions and 18 items.  Conclusion  The developed questionnaire demonstrated satisfactory reliability and validity, and can effectively assess parents' KAP regarding children' s antimicrobial drug use.
Theory and implementation of general-specialty hierarchical heart-brain co-prevention and co-management mode for atrial fibrillation
DAI Huimin, BU Jun, JIANG Meng, TANG Lan, ZHU Min, ZHANG Shengbing, YING Xiaoying
2025, 23(10): 1726-1730. doi: 10.16766/j.cnki.issn.1674-4152.004215
40 1
Abstract:
  Objective  With the aging of the population and continuous promotion of the implementation of the hierarchical medical system, to effectively enhance the management ability of the high-risk elderly population for atrial fibrillation(AF)-stroke in the community and prevent stroke occurrence, actively explore the "general-specialty" hierarchical heart-brain co-prevention and co-management mode for AF.  Methods  Weifang Community Health Service Center (WCHSC) and Renji Hospital, Shanghai Jiaotong University School of Medicine (RHSJUSM), developed a "general-specialty" hierarchical and collaborative management model based on the "1+1+1" hierarchical contractual service delivery mode implemented in Shanghai. The model relies on the establishment of the Renji-Weifang AF and Cardioembolic Stroke Specialty Clinic within the community. The model first establishes electronic health records for AF patients, then determines grading diagnosis, treatment standards, and referral processes, and finally standardizes drug and laboratory test management using information technology. This approach creates a full lifecycle health management model encompassing primary prevention (disease prevention), high-quality full-specialty diagnosis and treatment (homogenized care), secondary prevention (chronic disease management), and rehabilitation for heart and brain diseases (high-quality life).  Results  A total of 27 AF patients were managed. The anticoagulation rate of AF patients was 59.25%, which was much higher than the baseline anticoagulation rate of 28.10% in the previous survey.  Conclusion  It highlights how the model facilitates the appropriate allocation of high-quality medical resources to primary healthcare institutions, improves GPs' diagnostic and therapeutic abilities, and simplifies the identification of disease severity. Additionally, with the support of a full-time assistant for anticoagulant monitoring and ongoing self-management, patient compliance is enhanced, and finally improves the overall effectiveness of community AF management. This mode supports the formation of a hierarchical diagnosis and treatment system characterized by separate management of acute and chronic conditions and collaboration between higher and lower healthcare institutions.
Analysis on the development track and influencing factors of treatment compliance of patients with major depression
PAN Jianbo, YE Mengfei, LI Yahong
2025, 23(10): 1731-1734. doi: 10.16766/j.cnki.issn.1674-4152.004216
70 2
Abstract:
  Objective  Treatment adherence in patients with major depressive disorder (MDD) influences treatment outcomes and prognosis. To clarify the developmental trajectory of treatment adherence in MDD patients and its associated factors, this study enrolled MDD patients, analyzed their adherence trajectories using group-based trajectory model (GBTM), and explored influencing factors, aiming to provide a scientific basis for improving treatment adherence and optimizing clinical intervention strategies.  Methods  A total of 96 patients with MDD admitted to Shaoxing Seventh People' s Hospital from May 2021 to July 2022 were selected by convenient sampling method. Information such as gender, age and education level of patients were collected, and the treatment compliance of MDD patients in different time periods was evaluated by Morisky medication adherence scale-8 (MMAS-8). The development track of treatment compliance of MDD patients was analyzed by using the GBTM, and the influencing factors were analyzed by using the multinomial logistic regression coefficient.  Results  After 6 weeks of follow-up, 92 questionnaires were statistically valid, and the effective recovery rate was 95.83% (92/96). The optimal treatment compliance trajectory type model (BIC=-4 925.8) was fitted by GBTM, which was divided into three groups: continuous decline group (n=32), relatively stable group (n=41) and continuous high-level group (n=19). There were significant differences in the education level, medication time, family income per capita and doctor-patient relationship among the three groups (P < 0.05). Taking the declining group as a reference, the multinomial logistic regression coefficient analysis showed that education level, medication time, family per capita monthly income and doctor-patient relationship were the influencing factors of MDD patients' treatment compliance trajectory group (P < 0.05).  Conclusion  The developmental trajectories of treatment adherence in MDD patients exhibit heterogeneity, which is associated with educational level, medication duration, family monthly per capita income, and doctor-patient relationship.
Effect of health belief model intervention on BMI and health behavior in children and adolescents with simple obesity
SHI Dongwen, CHEN Fenglan, LYU Xia, WANG Fang, HE Daikun
2025, 23(10): 1735-1738. doi: 10.16766/j.cnki.issn.1674-4152.004217
53 3
Abstract:
  Objective  To explore the influence of health education based on the health belief model (HBM) on obesity-related knowledge cognition, health behavior, and physical fitness index in simple obese children and adolescents, so as to provide a reference for the physical and mental health development of this group.  Methods  Using the convenience sampling method, 240 children and adolescents with pure obesity were selected from the 2022 student health examination database in Shanghai' s Jinshan District. They were stratified and randomly assigned to an intervention group and a control group. The control group received standard health education, while the intervention group underwent HBM interventions supplemented with routine health education for one year. Both groups' obesity knowledge awareness rates, BMI, and health behaviors were compared before and after the interventions. Logistic regression analysis was conducted to examine how behavioral factors influenced BMI changes.  Results  Ultimately, 240 people completed the follow-up, including 90 in the intervention group and 150 in the control group. After one year of intervention, the obesity-related knowledge awareness rate in the intervention group (62.22%) was significantly higher than that in the control group (43.33%, χ2=8.028, P < 0.05). The height and BMI indexes of the intervention group were significantly different from those of the control group (P < 0.05). In the intervention group, the improvement of health behavior indicators such as physical activity, sleep duration, video time, soda intake, dessert intake, fried food intake, fruit intake, vegetable intake, western fast food intake, and roadside stall intake had statistically significant differences in the impact on BMI (P < 0.05). The independent protective factors for BMI improvement were: increased physical activity (OR=0.041, 95% CI: 0.005-0.346), increased fruit intake (OR=0.158, 95% CI: 0.026-0.964), increased vegetable intake (OR=0.052, 95% CI: 0.011-0.256), and reduced consumption of Western fast food (OR=0.175, 95% CI: 0.036-0.851).  Conclusion  Health education based on HBM can significantly improve the health cognition of children and adolescents with simple obesity, promote behavioral change, and help with scientific weight loss and physical and mental health development.
The correlation between frailty and health promoting behavior in the elderly inpatients
JIN Yanping, WANG Jingru, YANG Shouqin, CUI Liang, SUN Linfang
2025, 23(10): 1739-1742. doi: 10.16766/j.cnki.issn.1674-4152.004218
52 2
Abstract:
  Objective  To analyze the correlation between frailty and health-promoting behavior in elderly inpatients, and to explore the influencing factors of frailty to provide a theoretical reference for clinical frailty prevention and treatment.  Methods  A total of 246 elderly inpatients admitted to the Sixth People' s Hospital Affiliated to Shanghai Jiao Tong University School of Medicine from January 2022 to December 2023 were selected as the research objects. Basic data, the FRAIL frailty scale and health-promoting lifestyle scale (HPLP-Ⅱ) scores were collected and analyzed using SPSS 26.0 statistical software.  Results  Among 246 elderly inpatients, FRAIL score was (1.72±0.35) points, with an incidence of 30.49% (75/246); The score of HPLP-Ⅱ was (130.17±24.69) points, and the highest and lowest scores were nutrition and physical exercise; Logistic regression analysis showed that educational background (OR=0.536, P=0.003), living condition (OR=8.989, P=0.004), medication type (OR=3.174, P=0.013), malnutrition (OR=5.995, P=0.004), physical exercise time (OR=0.387, P=0.010), and health-promoting behavior (OR=3.575, P=0.002) were the related factors affecting the frailty of elderly inpatients. Spearman correlation analysis showed that the FRAIL score of elderly inpatients was negatively correlated with the total score of HPLP-Ⅱ (r=-0.481, P < 0.05).  Conclusion  There is a negative correlation between frailty and health-promoting behavior in elderly inpatients. Comprehensive intervention is needed as early as possible to improve patients' health-promoting behaviors and improve frailties.
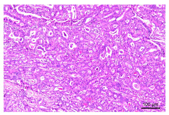
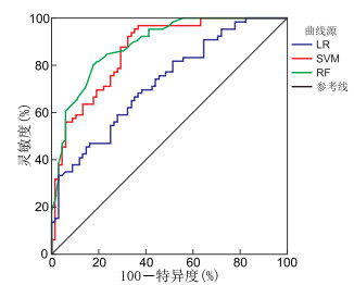
The value of preoperative prediction of histological grade of lung adenocarcinoma based on clinical and CT features
YE Yuanxin, LIU Lulu, PAN Ting, JIANG Haitao
2025, 23(10): 1743-1747. doi: 10.16766/j.cnki.issn.1674-4152.004219
47 2
Abstract:
  Objective  To explore the relationship between both CT imaging features as well as clinical information and the histological grading of lung invasive non-mucinous adenocarcinomas, to construct a model for predicting their histological grading, as well as to visualize the model.  Methods  Clinical and CT features of 313 patients with invasive non-mucinous lung adenocarcinoma treated at Zhejiang Cancer Hospital from July to December 2021 were collected. Patients were divided into moderate-to-low-grade and high-grade groups based on histological grading. Imaging and combined models were developed through statistical analyses. Nomograms were constructed, and receiver operating characteristic (ROC) curves were generated to calculate the area under the curve (AUC). The DeLong test was used to compare AUCs.  Results  Multivariate analysis showed that the long diameter of CT imaging, the long diameter of solid components, the proportion of solid, and air bronchogram were influencing factors of histological grade (P < 0.05). The imaging model achieved an AUC of 0.879. Multivariate analysis of clinical data and CT imaging signs showed that there were statistically significant differences in smoking, neuron-specific enolase (NSE), the long diameter of CT imaging, the long diameter of solid component, the proportion of solid, and air bronchogram (P < 0.05). The combined model yielded an AUC of 0.899. The DeLong test showed no statistically significant difference in AUC between the imaging and combined models (P=0.070).  Conclusion  CT imaging features, together with serum tumor markers, provide valuable predictive information for distinguishing moderate-to-low-grade from high-grade invasive non-mucinous lung adenocarcinoma, supporting their potential role in preoperative histological grading.
Prognostic effect of ultrasonic arterial flow parameters combined with serum ACA and AMH detection on fetal saving outcome of threatened abortion
GUAN Yanli, ZHANG Li, PEI Lijuan, ZHANG Mei
2025, 23(10): 1748-1752. doi: 10.16766/j.cnki.issn.1674-4152.004220
45 3
Abstract:
  Objective  Threatened abortion (TA) may still lead to abortive failure after treatment. In this study, ultrasound arterial flow parameters in combination with serum anti-cardiolipin antibody (ACA) and anti-Mullerian hormone (AMH) were detected to explore the predictive effect of these indicators on abortive outcome, with a view to improving the success rate of TA.  Methods  The current study is based on a total of 135 TA patients admitted to Sanmenxia Hospital and Nanyang Central Hospital of the Yellow River from May 2021 to May 2023. According to the outcome of fetal protection, they were divided into a successful group (n=83) and a failed group (n=52). All patients had their ultrasonic arterial blood flow parameters and serum hormone levels checked. The influencing factors of fetal survival outcome were analyzed by means of a logistic regression model. The receiver operating characteristic (ROC) curve was utilized to analyze the predictive value of ultrasonic arterial flow parameters, serum ACA and AMH in the outcome of fetal protection.  Results  In contrast with the abortive group, the end-diastolic flow rate (D) and AMH levels in the abortive group were decreased, while the peak systolic flow rate (S)/D, pulse index (PI), resistance index (RI), ACA level and spontaneous abortion history, and the proportion of vaginal bleeding ≥50 mL were increased in the abortive group (P < 0.05). Logistic regression analysis showed that vaginal bleeding of ≥50 mL, elevated high levels of S/D, PI, RI and ACA were independent risk factors for fetal failure of TA (P < 0.05, OR>1), and high levels of AMH were protective factors (P < 0.05, OR < 1). The results of the ROC analysis demonstrated that the AUC of S/D, PI, RI, ACA and AMH were 0.724, 0.676, 0.752, 0.755, 0.692 and 0.880, respectively, and the combined prediction efficiency of the five factors was found to be superior to that of each individual test.  Conclusion  Abnormal ultrasonic arterial flow parameters in TA patients, among which high levels of S/D, PI, RI and ACA are risk factors for the failure of TA, and high levels of AMH are protective risk factors. The five combined tests have a high level of predictive capacity for the outcome of TA.
The impact of obesity on the occurrence, progression, and treatment of psoriasis and psoriatic arthritis
LI Siying, WANG Wenshe, JIA Yuan
2025, 23(10): 1753-1756. doi: 10.16766/j.cnki.issn.1674-4152.004221
48 3
Abstract:
Psoriasis (PsO) is a chronic inflammatory skin disorder presenting in multiple subtypes, including plaque, guttate, inverse, pustular, and erythrodermic forms. A subset of patients eventually develop psoriatic arthritis (PsA), a distinct inflammatory condition characterized by concurrent cutaneous lesions and musculoskeletal involvement. The clinical spectrum of PsA encompasses peripheral arthritis, enthesitis, axial spondylitis, dactylitis, and nail involvement, with patients at elevated risk for systemic inflammation and comorbidities such as cardiovascular disease, inflammatory bowel disease, uveitis, and metabolic syndrome. Emerging epidemiological evidence reveals a bidirectional relationship between obesity and psoriatic disease. The global rise in obesity prevalence parallels increasing incidence rates of both PsO and PsA, with adiposity recognized as an independent risk factor for disease onset and progression. Obesity is associated with higher disease activity, impaired quality of life, and reduced therapeutic responsiveness in PsA patients. Furthermore, obesity differentially affects treatment efficacy across therapeutic classes, particularly diminishing the response to TNF-α inhibitors while IL-17 and IL-12/23 inhibitors retain relatively consistent effectiveness regardless of BMI. This review systematically examines current evidence focusing on two dimensions: the pathogenic influence of obesity on the development and progression of psoriasis and psoriatic arthritis, and its weight-dependent modulation of pharmacological interventions. By elucidating obesity' s multifaceted impact on disease pathogenesis, clinical manifestations, and therapeutic outcomes, this review aims to guide precision management strategies to improve disease control and long-term prognosis in affected populations.
Research progress of microRNA-200a/b/c/-429 family in ovarian cancer
CHEN Hong, KUANG Hongying, ZHOU Ying, LIN Wenhua, LIN Chao, CHEN Qionghua
2025, 23(10): 1757-1760. doi: 10.16766/j.cnki.issn.1674-4152.004222
84 5
Abstract:
This article explores the functional mechanisms of the miR-200 family in tumorigenesis, specifically focusing on the contributions of miR-200a/b/c/-429 to cancer initiation and progression. The miR-200 family plays a crucial role in tumor biology by influencing growth, spread, invasion, and chemotherapy resistance. They are vital in the epithelial-to-mesenchymal transition, which aids tumor spread, and also regulate tumor cell survival and growth, contributing to cancer dissemination. The miR-200 family plays a key role in tumor cell invasion and metastasis and holds potential as diagnostic and prognostic markers for ovarian cancer. Future research should investigate the mechanisms in various tumors and apply these insights for early diagnosis and treatment strategies. Studying the miR-200 family in tumors can provide insights into their functions, improving treatment options and enhancing survival with significant scientific and clinical benefits.
Effects of transcranial direct current stimulation on therapeutic effect and cognitive function in patients with depression
WANG Shiqiang, LIU Wenbing, ZHANG Yuna, YUAN Feng, JIN Xinlai
2025, 23(10): 1761-1763. doi: 10.16766/j.cnki.issn.1674-4152.004223
54 2
Abstract:
  Objective  To investigate the effect of a multidisciplinary pulmonary rehabilitation program based on the timing theory on mechanically ventilated patients with severe pneumonia. The ultimate goal is to provide a basis for the pulmonary rehabilitation treatment of patients with severe pneumonia undergoing mechanical ventilation.  Methods  A total of 60 patients diagnosed with severe pneumonia were selected for this study. The patients were admitted to the Respiratory Intensive Care Unit of Hangzhou Hospital of Traditional Chinese Medicine and the Third Affiliated Hospital of Zhejiang Chinese Medical University from March to December 2024. The patients were divided into two groups: the control group and the treatment group. The random number table method was used to assign patients to each group. Each group contained 30 patients. The control group received routine nursing. The treatment group received a multidisciplinary pulmonary rehabilitation program based on timing theory. The efficacy indexes—which include the length of ICU stay, duration of mechanical ventilation, and acute physiology and chronic health (APACHE-Ⅱ) score, as well as the blood gas indexes [arterial partial pressure of carbon dioxide (PaCO2), arterial partial pressure of oxygen (PaO2), blood oxygen saturation (SaO2), oxygenation index], quality of life and adverse events were compared between the two groups.  Results  Following the intervention, the treatment group exhibited a significant reduction in the duration of ICU stay [(7.48±1.37) d vs. (9.65±1.45) d], the duration of mechanical ventilation [(6.26±1.08) d vs. (8.41±1.61) d], and the APACHE-Ⅱ score [(9.14±1.75) points vs. (12.71±2.54) scores] were lower than those in the control group (P < 0.001). The PaCO2 in the treatment group [(29.35±4.53) mmHg vs. (37.18±4.92) mmHg, 1 mmHg=0.133 kPa], PaO2 [(84.69±7.45) mmHg vs. (77.84±7.19) mmHg], oxygenation index [(405.94±40.58) mmHg vs. (319.02±34.72) mmHg] were better than those in the control group (P < 0.05). The scores of quality of life in the treatment group were higher than those in the control group (P < 0.05). No obvious adverse events occurred in the two groups during treatment.  Conclusion  The multidisciplinary pulmonary rehabilitation program based on the timing theory is safe and effective, offering a new strategy for pulmonary rehabilitation in mechanically ventilated patients with severe pneumonia.
The clinical study of Bushen Huoxue Decoction combined with unilateral biportal endoscopy (UBE) in the treatment of lumbar spinal stenosis with kidney deficiency and blood stasis
E Yuan, HUANG Shengchang, RUI Lining
2025, 23(10): 1764-1767. doi: 10.16766/j.cnki.issn.1674-4152.004224
72 3
Abstract:
  Objective  To evaluate the effects of Bushen Huoxue Decoction combined with unilateral biportal endoscopy (UBE) in patients with lumbar spinal stenosis (LSS) of kidney deficiency and blood stasis, focusing on recovery, inflammatory response, and postoperative complications, and to explore the therapeutic effect of integrated Chinese and Western medicine.  Methods  From June 2023 to April 2024, 120 patients with kidney deficiency and blood stasis type LSS were enrolled at Wujin Hospital of Traditional Chinese Medicine, Changzhou, and randomly divided into a treatment group (Bushen Huoxue Decoction + UBE) and a control group (UBE alone). The indicators such as visual analogue scale (VAS) score, Oswestry disability index (ODI) score, changes of serum interferon-γ (IFN-γ)/ interleukin-1α (IL-1α) were assessed.  Results  The treatment group demonstrated a higher overall response rate compared with the control group [86.67% (52/60) vs. 71.67% (43/60), χ2=4.093, P=0.043]. The VAS score in the treatment group was lower than that in the control group at 2 weeks and 1 month postoperatively (P < 0.05), while ODI score was lower at 1 and 6 months (P < 0.05). After treatment, serum IFN-γ and IL-1α levels in peripheral blood were significantly reduced in the treatment group compared with the control group (P < 0.05). The incidence of postoperative complications was also lower in the treatment group [6.67% (4/60) vs. 23.33% (14/60), χ2=6.536, P=0.011].  Conclusion  Bushen Huoxue Decoction combined with UBE can significantly improve the efficacy of kidney deficiency and blood stasis type LSS, reduce postoperative VAS and ODI scores, decrease serum IFN-γ and IL-1α levels, and reduce the risk of postoperative complications, supporting its value as an integrated therapeutic strategy.
Application of the whole-process integrated training model in the standardized training of hematology residents
DONG Hongjuan, XU Li, TANG Hailong, LIANG Rong, HUANG Yayu, WANG Yi, HU Jingmeng, ZHANG Lu, LIANG Chujun, GAO Guangxun
2025, 23(10): 1768-1772. doi: 10.16766/j.cnki.issn.1674-4152.004225
52 1
Abstract:
  Objective  To explore the application effect of the whole-process integrated training model in the standardized training of hematology residents, so as to improve the quality of training and the knowledge mastery and job competency of resident physicians.  Methods  A total of 102 resident physicians from the First Affiliated Hospital of the Air Force Medical University who received training in the Department of Hematology from September 2022 to July 2024 were selected and divided into two groups, A and B, according to different training times in the Department of Hematology. Group A is the resident physicians who entered the Department of Hematology from September 2022 to July 2023; Group B is the resident physicians who were admitted from September 2023 to July 2024; 56 resident physicians in Group A were trained in the traditional training mode, and 46 resident physicians in Group B were trained in the new integrated training mode. After two months of training, the two groups of resident physicians all participated in the hematology discharge assessment (including theoretical assessment and clinical competency assessment) and the national standardized training for resident doctors.  Results  (1) After the two-month training, the pass rate of the two groups was 100%, but the excellent rate of theoretical performance (80.4%, 37/46) and clinical competency assessment (89.1%, 41/46) of group B were higher than those of group A [58.9% (33/56), 62.5% (35/56)], and the difference was statistically significant (P < 0.05). (2)Each group of resident physicians participated in the completion assessment of the standardized training of resident physicians held by the state in May of that year, and the pass rate of group B (100.0%, 46/46) was significantly higher than that of group A (83.9%, 47/56, χ2=6.234, P=0.013), and the difference was statistically significant.  Conclusion  Compared with the traditional training mode, the whole-process integrated training model helps to improve the quality of standardized training for residents, and helps to cultivate physicians with solid basic knowledge and high clinical competency.
Application of BOPPPS combined with CBL teaching method in the reform of digestive system teaching in internal medicine
LIU Aiqun, GUO Xiaoyun, TANG Xiping, SHEN Yanhua, WEI Lining, ZHONG Yi, HUANG Yueli, XIE Weishun, ZHONG Dani
2025, 23(10): 1773-1776. doi: 10.16766/j.cnki.issn.1674-4152.004226
76 1
Abstract:
  Objective  The BOPPPS model, characterized by its student-centered approach and emphasis on full student participation, is increasingly applied in classroom teaching. When combined with CBL (Case-Based Learning), teachers can adjust the teaching implementation according to classroom real-time feedback to achieve better teaching effects. Based on this situation, this study aimed to explore the practical application and effectiveness of the BOPPPS combined with CBL blended teaching mode in the teaching of digestive system-upper gastrointestinal bleeding, with the goal of informing future reforms in clinical teaching.  Methods  A total of 229 students majoring in clinical medicine from the School of Oncology, Guangxi Medical University in 2020, were selected as the research objects, and classes were randomly grouped using computer software to generate random numbers. They were randomly divided into the experimental group A (BOPPPS combined with CBL, 113 students) and the control group B (traditional mode teaching, 116 students). At the end of the teaching period, a combination of questionnaires and a theoretical knowledge examination was used to evaluate teaching effectiveness.  Results  The satisfaction survey showed that students in the experimental group were more satisfied with the overall course experience, course content, and teaching method than those in the control group (all P < 0.05). In the post-class examination, the scores in the experimental group was significantly higher than that of the control group, with significant differences(81.53±5.16 vs. 79.28±9.96, t=2.137, all P < 0.05).  Conclusion  In the context of digestive system teaching, the BOPPPS combined with CBL blended teaching demonstrates greater effectiveness than the traditional method. It promotes students ' engagement and participation, and is well-suited for promotion and application in the clinical teaching of internal medicine.
Current status of stigma associated with Alzheimer's disease in primary caregivers and linear regression analysis of influencing factors
XIE Xiangqing, GUO Qihao
2025, 23(10): 1777-1780. doi: 10.16766/j.cnki.issn.1674-4152.004227
40 2
Abstract:
  Objective  To explore the current status and influencing factors of comorbidity shame (AS) among primary caregivers of Alzheimer' s disease (AD).  Methods  Convenience sampling was used to select 177 AD patients and their primary caregivers at the Sixth People' s Hospital of Shanghai from January 2022 to March 2024. General information forms, Mini-Mental Status Examination (MMSE), Montreal Cognitive Assessment Scale (MoCA), Associated Disease Shame Scale (ASS), Self-Efficacy Scale (SES), and Simple Coping Style Questionnaire (SCSQ) were used to investigate the current status of AS among primary caregivers. Use linear regression analysis to identify the influencing factors of primary caregiver AS in AD.  Results  The total score of AS for the main caregivers of AD was (30.34±8.06) points. The stigma experienced by these caregivers was inversely related to their self-efficacy and simple coping style (r=-0.254, P < 0.05; r=-0.030, P>0.05). Correlation analysis revealed a statistically significant linear relationship between stigma and self-efficacy (P < 0.05). Univariate analysis identified several potential factors influencing stigma among caregivers, including the severity of dementia in AD patients, the duration of caregiving, caregivers' understanding of the patient' s condition, monthly economic income, and nationality (P < 0.05). Further linear regression analysis confirmed that the severity of dementia (β=2.015, P=0.014), the time spent by caregivers with patients (β=2.779, P=0.023), and caregivers' self-efficacy (β=-0.231, P=0.009) were significant predictors of stigma among primary caregivers of AD patients (P < 0.05).  Conclusion  The main caregiver of AD patients has AS, and the degree of dementia, time spent with the caregiver, and self-efficacy are factors that affect caregiver AS. Social support should be provided to the main caregiver of AD, and psychological counseling should be strengthened to improve their psychological resilience.
Visualization analysis of research literature on TCM regulation of tumor microenvironment
DONG Huijing, ZHENG Yumin, LI Jia, LU Xingyu, CUI Huijuan
2025, 23(10): 1781-1785. doi: 10.16766/j.cnki.issn.1674-4152.004228
74 2
Abstract:
  Objective  The tumor microenvironment has been a critical focus in cancer research. This study employs visualization methods to systematically analyze the current research landscape and highlight key areas of interest concerning the regulation of the tumor microenvironment by traditional Chinese medicine. The objective is to elucidate its primary mechanisms and clinical applications.  Methods  A comprehensive literature search was conducted across various databases including CNKI, Wanfang Data, VIP, CBM, and WOS, with the search period ending on March 22, 2024. NoteExpress was used for literature screening, GraphPad Prism was employed to chart annual publication trends, VOSviewer was used for analyzing authors and keywords and creating author co-occurrence networks and keyword time networks, and CiteSpace was used for keyword clustering analysis.  Results  A total of 690 documents were included in the study. The earliest publication was recorded in 2005, with a significant increase in publications observed since 2018. High-frequency publishing journals include 'China Journal of Traditional Chinese Medicine and Pharmacy', 'Journal of Traditional Chinese Medicine', 'Chinese Journal of Experimental Traditional Medical Formulas', 'Journal of Ethnopharmacology', and 'Fronyiers in Pharmacology'. The Chinese-language publications included a total of 1 766 authors, while English-language publication included a total of 1 443 authors. A total of 9 Chinese and 11 English keyword clusters were identified, with major themes centering on mechanisms of action and clinical applications.  Conclusion  Visual analysis found that TCM regulates the tumor microenvironment by pathways including tumor angiogenesis, inflammation, exosomes, autophagy, apoptosis, and macrophage polarization. TCM has been widely applied in the treatment of various cancer types, including breast, lung, liver, colorectal, and gastric cancers.
Prospective applications of artificial intelligence in general practice: clinical decision-making, patient communication, and residency education
JIN Haohan, ZHAI Wenqing, JIN Shenying, JIANG Juan, MA Yajun
2025, 23(10): 1786-1789. doi: 10.16766/j.cnki.issn.1674-4152.004229
56 1
Abstract:
  Objective  To evaluate the application prospects of artificial intelligence (AI) in general practice and explore its potential as both a practical tool for addressing common patient inquiries and a clinical teaching resource.  Methods  Twenty standardized clinical queries frequently encountered in general practice were systematically selected. Responses were independently generated by AI systems [ChatGPT (GPT) and DeepSeek (DS)] and human participants comprising first-year residents (Y1), third-year residents (Y3), and attending physicians specialized in general practice. Responses were evaluated across five domains using a 5-point Likert scale: accuracy, comprehensiveness, detail, patient-centered communication, and continuity of care management. Statistical analyses included one-way ANOVA and Tukey's HSD post hoc tests.  Results  GPT and DS demonstrated significantly superior performance to all physician groups in accuracy, comprehensiveness, and detail. In patient-centered communication, AI performance (GPT: 3.16±0.42; DS: 3.23±0.09) exceeded that of Y1 residents (2.33±0.45), was comparable to Y3 residents (3.76±0.27), but remained significantly inferior to attending physicians (4.26±0.27). Performance in continuity of care management followed an analogous pattern.  Conclusion  AI exhibits significant potential for implementation in general practice, particularly for delivering accurate, comprehensive, and intelligible responses to standardized clinical queries, highlighting its significant application potential as a foundational tool and a knowledge aid for resident trainees. However, limitations persist in domains requiring experiential judgment(e.g., patient-centered communication, continuity of care), where AI underperforms relative to senior clinicians. Future development should focus on enhancing AI's contextual adaptability in complex scenarios. Within residency training frameworks, AI tools may effectively serve as knowledge consolidation aids, yet cultivating advanced communication skills and empathetic patient engagement necessitates direct clinical mentoring and iterative practice under physician supervision.
The effect of centralized nursing management model based on King standard theory on children with non-invasive ventilation continuous positive airway pressure
HUO Peiqing, WEI Wenya, DU Yanna, ZHAO Huiling, CAO Lijie, HUANG Kunling, CUI Yuhui
2025, 23(10): 1790-1794. doi: 10.16766/j.cnki.issn.1674-4152.004230
51 3
Abstract:
  Objective  To explore the application effect of the centralized nursing management model based on King standard theory on children with non-invasive ventilation continuous positive airway pressure (NIVCPAP) through scientific and rigorous research methods, so as to provide strong support for improving the quality of clinical nursing and the treatment effect of children.  Methods  A total of 105 pediatric patients who received NIVCPAP at the Children's Hospital of Hebei Province from March 2021 to December 2022 were studied and separated into the control group (n=53, routine intervention) and the observation group (n=52, centralized nursing management intervention based on the King standard theory) by random number table method. The effects of the two intervention methods on blood gas index, lung function, and complications of the children were recorded, and family satisfaction was also recorded.  Results  The temperature recovery time, oxygen administration time, machine use time and hospitalization days in the observation group were significantly shorter than those in the control group (P < 0.05); After intervention, the blood oxygen saturation (SaO2), arterial oxygen saturation (PaO2), pH value forced vital capacity and forced expiratory volume in one second of both groups significantly were higher compared with the control group, while the carbon dioxide partial pressure (PaCO2) was lower (P < 0.05). The incidence of aspiration, nasal redness, and catheter crush in the observation group was significantly lower than that in the control group (1.89%, 3.77%, 0 vs. 23.08%, 23.08%, 11.54%, P < 0.05). The satisfaction of nursing attitude, nursing technique, nursing style, nursing environment, communication, and nursing service in the observation group was significantly higher than that in the other group (P < 0.05).  Conclusion  The centralized nursing management model based on the King standard theory can more effectively promote the rehabilitation of children, improve their lung function, reduce the occurrence of complications, and increase the satisfaction of family members, providing a new and effective strategy for the nursing management of NIVCPAP children.
Potential profile analysis of nurses' voice behavior in Anhui Province
LI Nannan, SONG Guiqi, ZHANG Xiaohong, ZHANG Guowen, CHENG Shengli, YAO Hong, LIU Yuan
2025, 23(10): 1795-1799. doi: 10.16766/j.cnki.issn.1674-4152.004231
50 3
Abstract:
  Objective  To explore the potential categories of voice behavior of nursing staff (nurses) in Anhui Province and analyze its influencing factors, to provide reference for formulating intervention strategies.  Methods  The general information questionnaire, nurse suggestion behavior scale, psychological capital scale and authentic leadership scale were adopted. From January to February 2022, a cross-sectional questionnaire survey was conducted among 3 000 nurses from 37 hospitals in Anhui Province. Potential profile analysis and unordered multi-class logistic regression were used to explore the potential categories of nurses' suggestion behaviors and analyze their influencing factors.  Results  The 3 000 nurses' voice behavior could be divided into three potential categories: silent type-low level voice behavior group (17.4%), conservative type-medium level voice behavior group (40.5%), active type-high level voice behavior group (42.1%). The higher the professional title of the nursing staff in the relatively silent type-low-level suggestion behavior group, the greater the probability in the positive type-high-level suggestion behavior group (OR=-0.149, P < 0.05). Nurses with higher scores in psychological capital and authentic leadership were more likely to belong to the positive-high-level suggestion behavior group (OR=0.839, P < 0.001, OR=0.845, P < 0.001). Regression analysis showed that professional title, employment method, age, genuine leadership level and psychological capital were the influencing factors of the potential categories of advice behavior of nursing staff (P < 0.05).  Conclusion  The classification characteristics of the suggestion behavior of 3 000 clinical nursing staff were obvious. 57.9% of the nursing staff showed a medium to low level in terms of suggestion expression. Nursing managers should, based on the different characteristics of their groups and in combination with influencing factors, implement targeted intervention measures to enhance the level of advice provided by nursing staff.
The correlation among intraoperative hypothermia in elderly patients undergoing laparoscopic surgery and professional cognition, nursing behavior of operating room nurses
WANG Yi, WANG Shaowei, YUAN Li, WU Liang
2025, 23(10): 1800-1803. doi: 10.16766/j.cnki.issn.1674-4152.004232
48 1
Abstract:
  Objective  To analyze the correlation between intraoperative hypothermia in elderly patients undergoing laparoscopic surgery and professional cognition and nursing behaviors of operating room nurses.  Methods  The clinical records of elderly patients undergoing laparoscopic surgery at the First Affiliated Hospital of Hebei North University from January 2023 to January 2024 were retrospectively analyzed. A total of 80 operating room nurses were selected as the research objects. General questionnaire, intraoperative hypothermia professional cognition scale, hypothermia nursing behavior scale, job burnout (revised Maslach burnout scale), and safety culture attitude questionnaire were performed. Logistic regression was used to identify risk factors for intraoperative hypothermia.  Results  The incidence of intraoperative hypothermia was 7.87% (70/890). A total of 32 nurses who participated in laparoscopic surgery involving elderly patients with hypothermia were assigned to the hypothermia group, while the remainder were assigned to the non-hypothermia group. The scores of professional cognition [(74.54±5.51) points], nursing behavior [(30.78±2.64) points], emotional exhaustion in job burnout [(21.54±0.80) points], decreased sense of achievement [(20.04±0.79) points], and safety culture attitude [(93.80±4.02) points] in the hypothermia group were significantly lower than those in the non-hypothermia group [(96.38±4.53) points, P < 0.05]. Stepwise logistic regression showed that low professional cognition of nurses, inadequate nursing behavior, emotional fatigue, reduced sense of achievement, and poor safety culture attitude were independent risk factors for intraoperative hypothermia in elderly patients undergoing laparoscopic surgery (P < 0.05). Pearson correlation analysis further showed that the nursing behaviors were positively correlated with both professional cognition and safety culture attitude (r=0.446, 0.351, P < 0.05).  Conclusion  Professional cognition, nursing behavior, job burnout, and safety culture attitude of operating room nurses are key factors influencing the occurrence of intraoperative hypothermia in elderly patients undergoing laparoscopic surgery. Strengthening professional training for operating room nurses may improve cognitive and behavioral performance and reduce the risk of intraoperative hypothermia.
Application of perinatal nutrition-metabolism combined evidence-based nursing model in patients with gestational diabetes mellitus
ZHANG Ying, GU Leijun, TAO Zhangting
2025, 23(10): 1804-1807. doi: 10.16766/j.cnki.issn.1674-4152.004233
51 4
Abstract:
  Objective  Gestational diabetes mellitus (GDM) has been associated with adverse maternal and infant outcomes, and the single nursing model has been demonstrated to have a limited effect on improving pregnancy outcomes. The objective of this study is to develop and validate the application of the nutrition and metabolism nursing model, grounded in evidence-based nursing principles, for patients diagnosed with perinatal diabetes mellitus.  Methods  A total of 100 perinatal patients diagnosed with gestational diabetes mellitus at 28-35 weeks of gestation and admitted to Zhoushan Women and Children's Hospital from February 2024 to January 2025 were selected as the research subjects. The patients were divided into control group (n=50) and study group (n=50) by random number table method. The control group received routine nursing care, while the study group received perinatal nutrition-metabolism combined evidence-based nursing care, based on the findings of the control group. The investigation focused on a comprehensive set of health metrics, including blood lipid levels, blood glucose levels, weight gain during pregnancy, natural delivery rate, length of hospital stay and exclusive breastfeeding rate within 72 hours after delivery. A comparative analysis was conducted between the two groups, with the objective of identifying potential disparities in health outcomes. The present study will examine the incidence of complications during pregnancy and postpartum, as well as the incidence of adverse neonatal outcomes.  Results  Subsequent to the intervention, the levels of HDL, LDL, TG and TC in the study group were found to be significantly lower than those in the control group (P < 0.05), and the values were within the normal range. The FBG and 2hPG of levels of the study group were found to be significantly lower than those of the control group (P < 0.05). The weight gain of the study group was lower than that of the control group (P < 0.05). The natural delivery rate and exclusive breastfeeding rate within 72 hours postpartum in the study group were 76.0% (38/50) and 92.0% (46/50), respectively, which were superior to those in the control group [58.0% (29/50) and 76.0% (38/50), P < 0.05]. The length of hospital stay in the study group was found to be shorter than that in the control group [(6.22±1.68) d vs. (7.02±2.17) d, P < 0.05]. The incidence of adverse pregnancy outcomes and adverse neonatal outcomes in the study group was lower than that in the control group (P < 0.05).  Conclusion  The perinatal nutrition-metabolism combined evidence-based nursing model has been demonstrated to improve the blood lipid and blood glucose levels in patients with perinatal diabetes mellitus, control the weight gain, and reduce the incidence of adverse pregnancy outcomes.
Application effect of 5A mode combined with knowledge, belief and action theory in Miles postoperative patients with colostomy complicated infection
HU Yu, FENG Yibing, ZHOU Xiaoli, SUN Jingyi
2025, 23(10): 1808-1812. doi: 10.16766/j.cnki.issn.1674-4152.004234
48 5
Abstract:
  Objective  The present study applied the 5A model in conjunction with the theory of knowledge-attitude-practice (KAP) nursing program was applied to patients with colostomy complicated by infection subsequent to Miles operation. The impact on enhancing the self-care capability and quality of life of patients was examined. This analysis provides a foundation for optimizing colostomy nursing.  Methods  A total of 146 patients with colostomy complicated with infection after Miles operation who were admitted to Longyou County People's Hospital from August 2021 to July 2024 were selected as the research objects. The patients were then divided into two groups: a control group and an observation group. The random number table method was used to assign each patient to their respective group. The control group received routine nursing care, while the observation group received 5A mode combined with knowledge, belief and action theory nursing care. A comparative analysis will be conducted to assess the levels of PCT, CRP expression, colostomy pressure, and self-management behavior between two groups of patients before and after intervention.  Results  Following the intervention, the expression levels of PCT and CRP in the observation group were (0.16±0.08) ng/mL and (7.14±1.86) μg/mL, respectively, which were lower than those in the control group (0.23±0.10) ng/mL and (10.05±2.73) μg/mL, respectively. A statistically significant difference was observed between the two groups (P < 0.05). Following the implementation of an intervention, the stress levels experienced by patients in the observation group due to physical conditions, self-concept changes and colostomy nursing on the Colostomy Stress Scale were found to be lower in comparison to those in the control group (P < 0.05). Following the implementation of the intervention, the scores on the self-management scale and the quality of life scale for patients with colostomy in the observation group were found to be (107.64±10.42) points and (53.26±7.18) points, respectively. These values were higher than those of the control group, which were (92.73±10.15) points and (47.49±6.23) points (F=7.467, 4.942, P < 0.001).  Conclusion  The 5A model, when integrated with the theory of knowledge, belief, and action, has demonstrated efficacy in enhancing the infection control outcomes for postoperative colostomy patients treated with conventional methods. This approach contributes to the mitigation of pressure associated with colostomy and the enhancement of colostomy management skills.