Volume 23 Issue 12
Dec.  2025
Turn off MathJax
Article Contents
LI Tongguan, ZHANG Chaowei, SUN Guangzhi, HOU Yanfeng. Multiple eosinophilic granuloma of thoracic vertebrae in an elderly patient[J]. Chinese Journal of General Practice, 2025, 23(12): 2167-2169. doi: 10.16766/j.cnki.issn.1674-4152.004316
Citation: LI Tongguan, ZHANG Chaowei, SUN Guangzhi, HOU Yanfeng. Multiple eosinophilic granuloma of thoracic vertebrae in an elderly patient[J]. Chinese Journal of General Practice, 2025, 23(12): 2167-2169. doi: 10.16766/j.cnki.issn.1674-4152.004316

Multiple eosinophilic granuloma of thoracic vertebrae in an elderly patient

doi: 10.16766/j.cnki.issn.1674-4152.004316
Funds:

 YXH2022ZX03223

 GZPK2021穗资字Z0629号

 RCTAIIRSLE021

  • Received Date: 2025-01-13
    Available Online: 2026-03-13
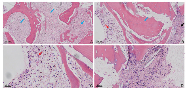
  • This article reports a rare case of elderly thoracic vertebral multifocal eosinophilic granuloma (EG). The patient, a 66-year-old male, presented with "low back and waist pain accompanied by fatigue for over two years, and worsening for three months." After treatment with glucocorticoids combined with immunosuppressive conservative therapy, the clinical manifestations and laboratory tests improved. Pathological biopsy showed the disappearance of granulomatous tissue. Subsequently, due to the occurrence of compression fractures in the affected area, surgical treatment was carried out. This suggests that the treatment of glucocorticoids combined with cyclophosphamide is feasible for adult patients with multi-site bone eosinophilic granuloma.

     

  • loading
  • [1]
    MOYANO C A, REMONDINO R G, TELLO C A, et al. Histiocytosis in the pediatric spine: a clinical and radiographic analysis of 50 patients[J]. Spine Deform, 2021, 9(3): 823-831. doi: 10.1007/s43390-020-00261-8
    [2]
    CHUGH A, KAUR A, KUMAR P A, et al. Unisystem Langerhans cell histiocytosis in maxillofacial region in pediatrics: comprehensive and systematic review[J]. Oral Maxillofac Surg, 2021, 25(4): 429-444. doi: 10.1007/s10006-021-00949-9
    [3]
    DAVIS T A, MOSQUEA T R J, BELZARENA A C. Multifocal eosinophilic granuloma with femoral epiphyseal lesion mimicking an aneurysmal bone cyst[J]. Radiol Case Rep, 2022, 17(11): 4176-4182. doi: 10.1016/j.radcr.2022.08.024
    [4]
    ZHENG Y, ZHANG Z, WANG D. Better vertebrae remodeling in pediatric spinal eosinophilic granuloma patients treated with kyphoplasty and short-term posterior instrumentation: a minimal two-year follow-up with historical controls[J]. Front Pediatr, 2022, 10: 922844. DOI: 10.3389/fped.2022.922844.
    [5]
    ZHENG Y, NING B, WU C, et al. Posterior focal curettage and spine stability reconstruction by temporary pedicle screw fixation in children with collapsed vertebrae due to eosinophilic granuloma[J]. Global Spine J, 2022, 12(8): 1745-1750. doi: 10.1177/2192568220988269
    [6]
    PRASAD G L, KRISHNA G, KALE A, et al. Eosinophilic granuloma of the cervical spine in a young adult: a rare case report[J]. Surg Neurol Int, 2024, 15: 198. DOI: 10.25259/SNI_262_2024.
    [7]
    REISI N, RAEISSI P, HARATI K T, et al. Unusual sites of bone involvement in Langerhans cell histiocytosis: a systematic review of the literature[J]. Orphanet J Rare Dis, 2021, 16(1): 1. DOI: 10.1186/s13023-020-01625-z.
    [8]
    闫薇, 刘宏杰, 郭在培. 嗜酸性粒细胞增多性蜂窝织炎研究进展[J]. 华西医学, 2009, 24(7): 1906-1908.

    YAN W, LIU H J, GUO Z P. Research progress on eosinophilic cellulitis[J]. West China Medical Journal, 2009, 24(7): 1906-1908.
    [9]
    LAVAEE F, NAZHVANI A D, AFSHARI A. A case report of adult Langerhans cell histiocytosis and review of the literature[J]. Clin Case Rep, 2023, 11(2): e6927. DOI: 10.1002/ccr3.6927.
    [10]
    HASHIMOTO K, NISHIMURA S, SAKATA N, et al. Treatment outcomes of Langerhans cell histiocytosis: a retrospective study[J]. Medicina (Kaunas), 2021, 57(4): 356. DOI: 10.3390/medicina57040356.
    [11]
    CHANG C Y, GUIMARES J B, JOSEPH G, et al. Percutaneous CT-guided corticosteroid injection for the treatment of osseous Langerhans cell histocytosis: a three institution retrospective analysis[J]. Skeletal Radiol, 2022, 51(5): 1037-1046. doi: 10.1007/s00256-021-03917-2
    [12]
    CHAULAGAIN D, SMOLANKA V, SMOLANKA A, et al. Case Report: Langerhans cell histiocytosis involving the cervical spine in an adult patient[J]. F1000Res, 2023, 12: 1185. DOI: 10.12688/f1000research.139360.1.
    [13]
    YOU Y, ZHOU H, LIU X, et al. Effectiveness and safety of low-dose radiotherapy in eosinophilic lymphoid granuloma[J]. Altern Ther Health Med, 2024, 30(8): 320-324.
    [14]
    SANTOS M, CUNHA B, ABREU V, et al. Imaging of pediatric skull lytic lesions: a review[J]. J Neuroimaging, 2024, 34(1): 26-43. doi: 10.1111/jon.13166
    [15]
    张明君, 刘燕鹰, 安岩, 等. 难治性骨嗜酸细胞肉芽肿一例[J]. 中华风湿病学杂志, 2013, 17(9): 647-648.

    ZHANG M J, LIU Y Y, AN Y, et al. A case of refractory bone eosinophilic granuloma[J]. Chinese Journal of Rheumatology, 2013, 17(9): 647-648.
  • 加载中

Catalog

    通讯作者: 陈斌, bchen63@163.com
    • 1. 

      沈阳化工大学材料科学与工程学院 沈阳 110142

    1. 本站搜索
    2. 百度学术搜索
    3. 万方数据库搜索
    4. CNKI搜索

    Figures(3)

    Article Metrics

    Article views (11) PDF downloads(0) Cited by()
    Proportional views
    Related

    /

    DownLoad:  Full-Size Img  PowerPoint
    Return
    Return