Volume 23 Issue 12
Dec.  2025
Turn off MathJax
Article Contents
XU Weijie, LUO Yu, HE Wentao, XIE Junhui. A case of recurrent bilateral adrenal pheochromocytoma-VHL disease and literature review[J]. Chinese Journal of General Practice, 2025, 23(12): 2170-2173. doi: 10.16766/j.cnki.issn.1674-4152.004317
Citation: XU Weijie, LUO Yu, HE Wentao, XIE Junhui. A case of recurrent bilateral adrenal pheochromocytoma-VHL disease and literature review[J]. Chinese Journal of General Practice, 2025, 23(12): 2170-2173. doi: 10.16766/j.cnki.issn.1674-4152.004317

A case of recurrent bilateral adrenal pheochromocytoma-VHL disease and literature review

doi: 10.16766/j.cnki.issn.1674-4152.004317
  • Received Date: 2024-12-12
    Available Online: 2026-03-13
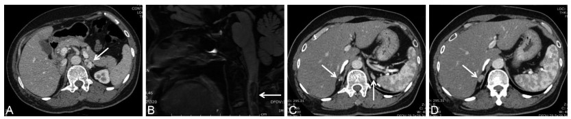
  • This paper reported a patient presented with recurrent bilateral adrenal pheochromocytoma combined with cervical medullary hemangioblastoma, renal cyst, and pancreatic cyst, she had a first-degree relative with renal clear cell carcinoma and was diagnosed as Von Hippel-Lindau (VHL) disease. Genetic testing further confirmed the diagnosis. We summarized the clinical characteristics of VHL disease with adrenal pheochromocytoma reported in the literatures in the past 10 years. Patients with bilateral, recurrent or metastatic pheochromocytoma, or with central angioblastoma, retinal hemangioblastoma, renal cancer, pancreatic neuroendocrine tumor, cyst and cystadenoma of the reproductive system should be highly suspected of VHL disease. We should carry out genetic testing and family investigation as to avoid missed diagnosis and misdiagnosis.

     

  • loading
  • [1]
    张琦, 韩斌. 希佩尔·林道综合征1例报告[J]. 中华实用外科杂志, 2020, 40(12): 1461-1462.

    ZHANG Q, HAN B. Hipper Lindau syndrome: a case report[J]. Chinese J of Pract Surg, 2020, 40(12): 1461-1462.
    [2]
    蒲鹏, 郑晓雅, 刘瑞闪, 等. 以高血压、糖尿病为首发表现的冯·希佩尔-林道综合征一例[J]. 罕见病研究, 2023, 2(1): 115-120.

    PU P, ZHENG X Y, LIU R S, et al. A case of von Hipper-Lindau syndrome with hypertension and diabetes as the first manifestations[J]. J of Rare Dis, 2023, 2(1): 115-120.
    [3]
    WHITMAN A, DAMODHARAN S, BHATIA A, et al. Hemangioblastoma and mosaic von Hippel Lindau disease: rare presentation and review of the literature[J]. Childs Nerv Syst, 2023, 39(5): 1361-1363. doi: 10.1007/s00381-023-05859-7
    [4]
    LOUISE M B M, SMERDEL M, BORGWADT L, et al. Von Hippel-Lindau disease: updated guideline for diagnosis and surveillance[J]. Eur J Med Genet, 2022, 65(8): 104538. DOI: 10.1016/j.ejmg.2022.104538.
    [5]
    李雪丽, 曹彩霞, 宋洁, 等. 嗜铬细胞瘤/副神经节瘤核心差异表达基因的生物信息学分析鉴定[J]. 青岛大学学报(医学版), 2022, 58(2): 183-188.

    LI X L, CAO C X, SONG J, et al. Bioinformatics analysis and identification of core differentially expressed genes in pheochromocytoma/paraganglioma[J]. Journal of Qingdao University(Medical Sciences), 2022, 58(2): 183-188.
    [6]
    马文明, 李强, 卓然, 等. 嗜铬细胞瘤术前CT影像学参数与围手术期参数的相关性研究[J]. 诊断学理论与实践, 2020, 19(2): 172-176.

    MA W M, LI Q, ZHUO R, et al. Correlation between preoperative CT imaging parameters and perioperative parameters of pheochromocytoma[J]. J Diagn Concepts Pract, 2020, 19(2): 172-176.
    [7]
    王旭, 宋歌, 王宗平. 不均匀度在肾乏脂肪血管平滑肌脂肪瘤与肾透明细胞癌CT鉴别中的价值研究[J]. 中华全科医学, 2021, 19(3): 449-453.

    WANG X, SONG G, WANG Z P. The value of non-uniformity in CT differentiation of renal anadipocyte angiomyolipoma and renal clear cell carcinoma[J]. Chinese J of General Pract, 2021, 19(3): 449-453.
    [8]
    NEGRO A, GRAIANI G, NICOLI D, et al. Concurrent heterozygous Von-Hippel-Lindau and transmembrane-protein-127 gene mutation causing an erythropoietin-secreting pheochromocytoma in a normotensive patient with severe erythrocytosis[J]. J Hypertens, 2020, 38(2): 340-346. doi: 10.1097/HJH.0000000000002253
    [9]
    BELAID R, OUESLATI I, CHIHAOUI M, et al. A case of von Hippel-Lindau Disease with bilateral pheochromocytoma and ectopic hypersecretion of intact parathyroid hormone in an adolescent girl[J]. Case Rep Endocrinol, 2020, 2020: 8824640. DOI: 10.1155/2020/8824640.
    [10]
    FUGARU I, GOUDIE C, CAPOLICCHIO J P. Von Hippel-Lindau disease and rapidly progressing pheochromocytomas in siblings[J]. Fam Cancer, 2022, 21(2): 229-233. doi: 10.1007/s10689-021-00252-2
    [11]
    VEROT P L, RABATTU P Y, CHABRE O, et al. Pediatric pheochromocytoma in association with Von Hippel-Lindau disease: focus on screening strategies[J]. Arch Pediatr, 2020, 27(8): 497-501. doi: 10.1016/j.arcped.2020.09.010
    [12]
    WANG L, FENG Y, JIANG L Y. Anesthetic management of bilateral pheochromocytoma resection in Von Hippel-Lindau syndrome: a case report[J]. World J Clin Cases, 2021, 9(15): 3711-3715. doi: 10.12998/wjcc.v9.i15.3711
    [13]
    ZHENG S, YIN G, ZHOU M, et al. Hereditary pheochromocytoma with the von Hippel-Lindau gene mutation in a child: a case report[J]. Asian J Surg, 2023, 46(5): 2256-2258. doi: 10.1016/j.asjsur.2022.11.129
    [14]
    EULALIO J M R, CARVALHO T P, BRABO E P, et al. Pancreatoduodenectomy in patient with von Hippel-Lindau disease: a literature review[J]. Arq Bras Cir Dig, 2022, 35: e1697. DOI: 10.1590/0102-672020220002e1697.
    [15]
    NAIR A V, VIJAYARAGHAVAN A, ALEXANDER P T, et al. More than it meets the eye! Vision loss as a presenting symptom of von Hippel-Lindau disease[J]. J Pediatr Neurosci, 2020, 15(3): 314-316. doi: 10.4103/jpn.JPN_24_20
    [16]
    LANDEN L, DE LEENER A, LE ROUX M, et al. Case report: aggressive neural crest tumors in a child with familial von Hippel Lindau syndrome associated with a germline VHL mutation (c. 414A>G) and a novel KIF1B gene mutation[J]. Front Endocrinol(Lausanne), 2023, 14: 1204793. DOI: 10.3389/fendo.2023.1204793.
    [17]
    ANDERSON S. Volatile hypertensive crisis secondary to pheochromocytoma: a case report of von Hippel-Lindau syndrome[J]. J Pediatr Health Care, 2020, 34(3): 264-272. doi: 10.1016/j.pedhc.2020.01.002
    [18]
    YU M, DU B, YAO S, et al. Von Hippel-Lindau syndrome with a rare complication of dilated cardiomyopathy: a case report[J]. BMC Cardiovasc Disord, 2022, 22(1): 489. DOI: 10.1186/s12872-022-02913-1.
    [19]
    D' ANGELO L, PARENT A S, DERWAEL C, et al. Unusual cardiac manifestations of a pheochromocytoma in a girl[J]. Pediatr Rep, 2023, 15(1): 237-244. doi: 10.3390/pediatric15010019
    [20]
    KOLOKOTRONIS T, REIS H, KROISS M. Multiple hepatic and pulmonary tumors combined with bilateral adrenal masses in a young woman with von Hippel-Lindau disease[J]. Gastroenterology, 2021, 161(4): e1-e4. doi: 10.1053/j.gastro.2021.02.033
    [21]
    XIE F, ZHAO Q, PAN W, et al. Childhood pheochromocytoma crisis complicated with brain stem infarction: a case report[J]. Medicine (Baltimore), 2022, 101(51): e32479. DOI: 10.1186/s12872-022-02913-1.
    [22]
    BELLARBI D E, CHENTLI F. The importance of genetic study and long-term management in patients with bilateral pheochromocytomas[J]. Arch Clin Cases, 2021, 6(4): 85-90.
    [23]
    SINGH B, SINGLA M, SINGH R, et al. Von Hippel-Lindau Syndrome: multi-organ involvement highlighting its diverse clinical spectrum in two adult cases[J]. Cureus, 2020, 12(7): e9402. DOI: 10.7759/cureus.9402.
    [24]
    LIU F, CALHOUN B, ALAM M S, et al. Case report: a synonymous VHL mutation (c. 414A > G, p. Pro138Pro) causes pathogenic familial hemangioblastoma through dysregulated splicing[J]. BMC Med Genet, 2020, 21(1): 42. DOI: 10.1186/s12881-020-0976-7.
    [25]
    KAKO Y, UEKI R, YAMAMOTO S, et al. Adrenal pheochromocytoma treated by combination of adrenal arterial embolization and radiofrequency ablation[J]. Clin Case Rep, 2021, 9(3): 1261-1265. doi: 10.1002/ccr3.3745
    [26]
    VANKADARI K, BODDULA R, HEGDE A G, et al. Metastatic pheochromocytoma diagnosed with (131) I-MIBG SPECT/CT imaging in a patient with pathogenic VHL mutation[J]. World J Nucl Med, 2022, 21(1): 73-75. doi: 10.1055/s-0042-1746177
    [27]
    WEN H Y, HOU J, ZENG H, et al. Tumor-to-tumor metastasis of clear cell renal cell carcinoma to contralateral synchronous pheochromocytoma: a case report[J]. World J Clin Cases, 2022, 10(19): 6750-6758. doi: 10.12998/wjcc.v10.i19.6750
    [28]
    LIN G B, ZHAO Y H, ZHANG Z W. Clinical diagnosis, treatment and screening of the VHL gene in three von Hippel-Lindau disease pedigrees[J]. Exp Ther Med, 2020, 20(2): 1237-1244. doi: 10.3892/etm.2020.8829
  • 加载中

Catalog

    通讯作者: 陈斌, bchen63@163.com
    • 1. 

      沈阳化工大学材料科学与工程学院 沈阳 110142

    1. 本站搜索
    2. 百度学术搜索
    3. 万方数据库搜索
    4. CNKI搜索

    Figures(1)  / Tables(1)

    Article Metrics

    Article views (15) PDF downloads(0) Cited by()
    Proportional views
    Related

    /

    DownLoad:  Full-Size Img  PowerPoint
    Return
    Return