2025 Vol. 23, No. 7

General Practice Forum
Quantitative analysis and evaluation of rural healthcare policies from the perspective of policy tools
DONG Xueying, SHI Xiuxin, WANG Qiang, MA Dongping, CHEN Haiyu, MA Xiaolong, WANG Guowen
2025, 23(7): 1085-1089. doi: 10.16766/j.cnki.issn.1674-4152.004070
479 13
Abstract:
  Objective   Rural healthcare is widely acknowledged to be a fundamental safeguard for the health of rural residents. In recent years, a plethora of relevant policies have been continuously introduced and adjusted. However, systematic analytical frameworks and effectiveness evaluations of these policies remain inadequate. The present study analyses and evaluates rural healthcare policies from the perspective of policy quantification research, with a view to providing references for the formulation and improvement of policies.   Methods   A three-dimensional analytical framework was constructed for the purpose of this study. The framework was based on national-level rural healthcare policies that were issued between 2009 and 2023. The three dimensions of the framework are as follows: "policy instrument", "policy process" and "policy intensity ". The policy modeling consistency (PMC) model was utilized to quantitatively evaluate seven key policies, with content analysis being applied to the relevant policy texts.   Results   A significant disparity was identified among the three policy instrument categories: supply-oriented (54.66%), demand-oriented (18.63%) and environment-oriented (26.71%). The policy process was divided into three phases: exploration (22.55%), advancement (22.30%) and deepening (55.15%). The mean policy intensity score was 3.73. The mean PMC index was 6.66, with policy instruments scoring highest (0.95) and policy timeliness scoring lowest (0.33).   Conclusion   There are structural imbalances in the in policy instruments. It is recommended that the use of demand- and environment-oriented instruments is increased and their internal composition optimized. As policy instruments emphasize different priorities at different stages, integrating them with process values and aligning them with stage-specific characteristics is crucial. Overall, policy intensity remains weak, necessitating a strengthening of top-level design and interdepartmental collaboration. Although all policies achieved PMC index ratings of "good" or higher, there is scope for further improvement. Recommendations include enriching policy content, improving multi-dimensional coordination and optimizing synergies.
Special Topic/Sleep Disorder
Clinical study of HF-rTMS combined with psychological behavioral intervention in the treatment of patients with chronic insomnia and comorbid anxiety and depression: based on polysomnography and brain functional status information
LIN Lijuan, CHEN Guihai, SUN Huiqin, LI Chen, ZHANG Yemin
2025, 23(7): 1090-1093. doi: 10.16766/j.cnki.issn.1674-4152.004071
560 9
Abstract:
  Objective   To explore the effects of high-frequency repetitive transcranial magnetic stimulation (HF-rTMS) combined with psychological and behavioral intervention on subjective and objective sleep and brain functional status (BFS) in patients with chronic insomnia comorbidities of anxiety/depression.   Methods   Sixty patients with chronic insomnia comorbid with anxiety/depression in Chaohu Hospital Affiliated to Anhui Medical University from January 2023 to September 2024 were selected as the research subjects and randomly divided into a control group and an experimental group, with 30 cases in each group. Patients in the control group received psychological and behavioral intervention, while patients in the experimental group received psychological and behavioral intervention combined with HF-rTMS (10 Hz, 20 min each time, twice a day, for a total of 10 days). The changes of subjective and objective sleep, BFS, Hamilton anxiety scale (HAMA-14), and depression scale (HAMD-17) in the two groups before and after treatment were evaluated.   Results   (1) After treatment, the scores of HAMD-17 [6.50 (5.00, 8.00)], HAMA-14 [7.00 (6.00, 9.75)], and Arthas [5.00 (4.00, 7.00)] in the experimental group were all lower than those in the control group [10.50 (8.25, 12.00), 14.00 (9.25, 15.00), 10.00 (9.00, 12.75), P < 0.05]. (2) After treatment, the scores of brain chaos, internal concentration, drowsiness, brain inertia and brain fatigue in the experimental group were significantly lower than those in the control group, and the brain inhibition score was significantly higher than that in the control group (P < 0.05). (3) After treatment, the polysomnography indicators of the experimental group, such as total sleep time, sleep efficiency, and the proportion of non-rapid eye movement sleep phase Ⅲ (NREM3%), were significantly higher than those of the control group (P < 0.05). The latency to falling asleep, latency to falling asleep during the rapid eye movement phase, the awakening time after falling asleep, NREM1%, and the proportion of rapid eye movement sleep phase were all significantly lower than those in the control group (P < 0.05).   Conclusion   Psychological and behavioral intervention has an improvement effect on sleep quality, anxiety and depression in patients with chronic insomnia comorbidities of anxiety/depression. The combined treatment effect of HF-rTMS is more significant.
Effect of transcranial ultrasound stimulation combined with electrical stimulation of different intensity on middle-aged and elderly patients with sleep disorders
GUO Jiaqi, LI Shu, DANG Ruixue, HAN Ying, GAO Jingyuan
2025, 23(7): 1094-1097. doi: 10.16766/j.cnki.issn.1674-4152.004072
552 9
Abstract:
  Objective   To improve sleep disorders in middle-aged and elderly people, this study adopted a treatment plan of transcranial ultrasound stimulation (TUS) combined with different intensities of electrical stimulation and explores the therapeutic effect of the combination of two physical methods.   Methods   The research selected 150 middle-aged and elderly patients with sleep disorders who were treated in the Affiliated Hospital of North China University of Science and Technology from November 2021 to February 2024 as the research targets. According to the admission time, the patients were divided into high-intensity group, low-intensity group and control group, with 50 cases in each group. On the basis of the same transcranial ultrasound stimulation, the patients in each group were given different intensities of electrical stimulation, and the treatment lasted for 2 weeks. Compare the scores of the Pittsburgh sleep quality index (PSQI), sleep time, sleep efficiency, PSQI reduction rate, serum cortisol (CORT), and adverse reactions among three groups after treatment.   Results   After treatment, the sleep efficiency of the high-intensity group [80.00 (71.00, 88.00) %] and the low-intensity group [75.00 (70.00, 80.00) %] was better than that of the control group [71.00 (63.75, 78.50) %, P < 0.05]; After treatment, the total PSQI scores of the high-intensity group (6.52±1.39) and the low-intensity group (8.60±1.43) were better than those of the control group (9.74±2.43, P < 0.05). The PSQI reduction rates in the low-intensity group [(37.65±9.28) %] and the high-intensity group [(52.51±9.36) %] were higher than those in the control group [(31.19±12.26) %, P < 0.05]. After treatment, the CORT levels in the high-intensity group [(10.28±2.21) μg/dL] and the low-intensity group [(12.66±2.85) μg/dL] were both better than those in the control group [(15.18±2.78) μg/dL, P < 0.05]. During the treatment period, there was no statistically significant difference in the incidence of adverse reactions among the three groups (P>0.05).   Conclusion   Transcranial ultrasound stimulation combined with electrical stimulation can improve sleep disorders in patients, and the intensity of electrical stimulation is directly proportional to the therapeutic effect. The combination of transcranial ultrasound stimulation and electrical stimulation is more effective in reducing CORT levels in patients than transcranial ultrasound stimulation alone.
Research progress in traditional Chinese and western medicine on hyperarousal in insomnia disorder
FU Hanxin, ZHANG Xin, HU Linlin
2025, 23(7): 1098-1102. doi: 10.16766/j.cnki.issn.1674-4152.004073
792 2
Abstract:
Insomnia disorder is the most prevalent type of sleep-wake disorder. Recent research on the etiology and pathogenesis has increasingly emphasized hyperarousal, which is now recognized as a core feature. Thus, this article summarizes the concept of the hyperarousal and its relationship with insomnia disorder, including hypothesis regarding its relationship with insomnia disorders, the clinical features of hyperarousal, and recent advances in both traditional Chinese and western medical treatment. Firstly, this article outlines the definition of hyperarousal, along with its main manifestations and detection methods of hyperarousal at the cortical, physiological, and cognitive levels. Secondly, this article introduces several hypotheses and models of insomnia disorders, all of which highlight hyperarousal as an important factor in the occurrence and progression of insomnia. In addition, previous studies have demonstrated that individuals with insomnia exhibit hyperarousal across multiple domains, including autonomic nervous activity, neuroendocrine, neuroimmune, neuroelectrophysiology, and neuroimaging. Finally, both traditional Chinese and western medical treatments have been shown to act on mechanisms involved in reducing the level of hyperarousal. Future clinical treatment and pharmacological research should place increased emphasis on addressing hyperarousal, aiming to explore more effective therapeutic methods to reduce its impact and enhance the quality of sleeping.
General Practice Research
Analysis of clinical features and prognostic factors of amyloidosis
ZHANG Shangyi, ZHANG Qike, WEI Xiaofang, FENG Youfan, FU Yuan, CHEN Qiaolin, ZHANG Yuanyuan, ZHANG Shaohua, LIU Jie, LI Chenyang
2025, 23(7): 1103-1106. doi: 10.16766/j.cnki.issn.1674-4152.004074
493 2
Abstract:
  Objective   The clinical manifestations of patients with amyloidosis often lack specificity and are often accompanied by multi-organ impairment, resulting in poor prognosis. Therefore, the purpose of this study was to analyze the laboratory and imaging characteristics of patients with amyloidosis and to explore the factors affecting the prognosis of these patients.   Methods   The clinical data of 41 patients with amyloidosis admitted to Gansu Provincial People' s Hospital from July 2017 to August 2023 were collected, and their clinical characteristics and prognosis were retrospectively analyzed and summarized.   Results   The median age of onset of 41 patients was 64 (41-75) years. There were 27 males (65.85%) and 14 females (34.15%). Twenty-eight patients (68.29%) received chemotherapy; 6 patients (14.63%) underwent autologous hematopoietic stem cell transplantation (ASCT). Thirteen (31.71%) patients were untreated; Efficacy was evaluated in 28 patients who received treatment, 5 (17.86%) patients had CR, 7 (25.00%) patients had PR, 1 (3.57%) had SD, 1 (3.57%) patients had PD, 7 (25.00%) patients were lost to follow-up, and 7 (25.00%) patients died. Whether there was cardiac involvement, renal involvement, and whether transplantation was performed were risk factors affecting the overall survival of patients (P < 0.05), among which cardiac and renal involvement were independent risk factors affecting the overall survival of patients. Median follow-up was 8 (1-68) months, and median PFS was 6 (1-68) months.   Conclusion   Amyloidosis is mainly treated with light chain amyloidosis, and the treatment is mainly combined with chemotherapy, patient prognosis is associated with age, cardiac involvement, and renal involvement. ASCT is still the first choice for transplant-eligible patients.
Construction and verification of prediction model and treatment strategy for shunt loss after portal hypertension TIPS
QIAN Jinyu, YANG Peipei, ZHANG Yang, XIE Bo, WU Di, TANG Xiaoyun, ZHANG Leiming, TAN Yulin, ZHANG Zichen
2025, 23(7): 1107-1110. doi: 10.16766/j.cnki.issn.1674-4152.004075
429 3
Abstract:
  Objective   To identify the risk factors of shunt dysfunction after transjugular intrahepatic portosystemic shunt (TIPS) in patients with portal hypertension, to construct and verify the clinical prediction model, and to formulate corresponding countermeasures for different types of shunt dysfunction, so as to provide reasonable treatment for patients.   Methods   The clinical data of 120 patients who underwent TIPS in the interventional department of the First Affiliated Hospital of Bengbu Medical University from January 2020 to December 2024 were retrospectively analyzed. Subsequent to the surgical procedure, the subjects were categorized into two distinct groups, namely the shunt dysfunction group and the non-dysfunction group, with the respective numbers amounting to 35 and 85 cases. Variables with significant differences were included in multivariate logistic regression analysis to determine the independent risk factors, and a prediction model was constructed based on this. The discrimination capacity of the model was evaluated by means of the ROC curve. Finally, the corresponding countermeasures are proposed for the various types of shunt failure.   Results   Multivariate logistic regression analysis demonstrated that anticoagulation therapy (OR=15.754, P=0.030), portal vein thrombosis (OR=0.052, P=0.008) and portal vein puncture site (OR=0.064, P=0.007) were independent influencing factors for shunt dysfunction after TIPS. The area under the ROC curve (95% CI) of the constructed model was 0.933 (0.882-0.983), and the corresponding optimal cut-off value was 0.866. The sensitivity was 0.894, and the specificity was 0.971.   Conclusion   Therapy, portal vein thrombosis and portal vein puncture site are independent influencing factors of shunt dysfunction after TIPS. The prediction model constructed accordingly has the potential to assist clinicians in the early identification of risks and the implementation of intervention measures.
Clinical Efficacy and Short-Term Prognosis Analysis of DPMAS Combined with Half-Volume PE in the Treatment of Acute-on-Chronic Liver Failure
WANG Yingying, YAN Dong, WANG Xin, REN Peipei, ZHANG Can, XUE Penghan, GAO Fei, ZENG Yanli
2025, 23(7): 1111-1114. doi: 10.16766/j.cnki.issn.1674-4152.004076
502 3
Abstract:
  Objective   To explore the effects of plasma exchange (PE) and dual plasma molecular adsorption combined with half-volume plasma exchange (DPMAS combined with half-volume PE) on the improvement of clinical efficacy indices and short-term survival of the treatment of slow plus acute liver failure.   Methods   A total of 132 patients with acute-on-chronic liver failure, who were hospitalized at Henan Provincial People' s Hospital from January 2021 to July 2023, were selected. According to the treatment modality, patients were divided into the PE treatment group (83 cases) and the DPMAS combined with half-dose PE treatment group (49 cases). Laboratory parameters and mortality rates at 7 days, 28 days, and 90 days post-discharge were monitored in both groups before and after the different modes of artificial liver treatment.   Results   After treatment, the HB variation in the PE-treatment group demonstrated a significantly greater magnitude of change compared to the DPMAS combined with half-volume PE treatment group, with this differences attaining statistical significance (P < 0.05). Both treatment modalities improved liver function (P < 0.05), with the PE treatment group showing superior results in coagulation function compared to the DPMAS combined with half-dose PE group (P < 0.05). No statistically significant differences were observed in the comparison of bilirubin level changes and adverse reaction incidence rates between the two groups (P>0.05), but the cumulative 90-day mortality rate was significantly lower in the DPMAS combined with half-dose PE group (PE group: 31 cases, 37.3%; DPMAS combined with half-dose PE group: 10 cases, 20.4%), with statistical significance (P < 0.001).   Conclusion   The DPMAS combined with half-dose PE treatment is effective in improving liver function and significantly enhancing survival rates in patients with acute-on-chronic liver failure. Additionally, it addresses the issue of plasma resource shortages and markedly improves the prognosis for liver failure patients, providing more time for transitioning to liver transplantation.
Predictive value of HBP, IL-18 combined with IL-6 for disease severity and prognosis in sepsis
TANG Yajie, WANG Zhanyuan, SONG Lijie, LU Guoyu, LIU Cheng, TAO Yanyan
2025, 23(7): 1115-1118. doi: 10.16766/j.cnki.issn.1674-4152.004077
500 3
Abstract:
  Objective   Sepsis is associated with high mortality and rapid progression. To evaluate the prognosis and disease severity in septic patients, this study analyzed the expression levels of heparin-binding protein (HBP), interleukin (IL)-6, and IL-18 to explore their predictive value.   Methods   Eighty patients admitted to the Emergency Medicine Department and ICU of the First Affiliated Hospital of Bengbu Medical University from January 2023 to June 2024 were selected. According to the diagnostic criteria of sepsis, they were divided into the non-sepsis group, namely 20 cases in the common infection group, 35 cases in the sepsis group, and 25 cases in the septic shock group. The levels of HBP, IL-18 and IL-6 in the three groups of patients were compared. Taking 28 days as the endpoint of the study, patients with sepsis were divided into the survival group and the death group, and the levels of HBP, IL-18 and IL-6 in the two groups were compared. Pearson analysis was used to compare the correlations between HBP, IL-18, IL-6 and acute physiology and chronic health evaluation-Ⅱ score (APACHE-Ⅱ) score and sequential organ failure assessment (SOFA) score. The ROC curve was used to analyze the evaluation of the prognosis of patients with sepsis by HBP, IL-6 and IL-18.   Results   The HBP, IL-6 and IL-18 values of the common infection and septic group were significantly lower than the septic shock group (P < 0.001); the HBP, IL-6 and IL-18 values were significantly higher than the surviving group, respectively (P < 0.001). Moreover, HBP, IL-6 and IL-18 values showed significant positive correlation with SOFA score and APACHE-Ⅱ score. When HBP, IL-6 and IL-18 were tested separately, the area under the curve was 0.769, 0.793 and 0.818, respectively, and the Youden index was 0.460, 0.491 and 0.553, respectively. When the three indicators were tested jointly, the area under the ROC curve was 0.842 and the Youden index was 0.587, and the combined test value was higher than the single test value.   Conclusion   By comparing the serum levels of HBP, IL-6 and IL-18 in three groups, the severity of sepsis patients can be effectively reflected, and the combined detection of the three inflammatory factors has better evaluation efficiency than the single index alone.
Correlation between cognitive impairment and metabolic level in patients with amyotrophic lateral sclerosis
DOU Ruixia, GU Cheng, ZHANG Lulu, LIANG Yunhua, ZHANG Yi
2025, 23(7): 1119-1122. doi: 10.16766/j.cnki.issn.1674-4152.004078
432 4
Abstract:
  Objective   To explore the relationship between cognitive impairment and metabolic indicators in patients with amyotrophic lateral sclerosis (ALS) in order to improve the early intervention rate of cognitive impairment in ALS patients.   Methods   The basic clinical data of 36 ALS patients who visited the Outpatient and Inpatient Departments of Gansu Provincial People' s Hospital from July 2022 to March 2024 were collected. Metabolic indexes such as serum creatinine (Cr), uric acid (UA), creatine kinase (CK), total cholesterol (TC), triglycerides (TG), high/low-density lipoprotein cholesterol (H/LDL-C) were also collected. Spearman and logistic regression were used to analyze the correlation between metabolic indexes and cognitive impairment.   Results   Univariate analysis: among the 36 ALS patients, 20 patients had cognitive impairment after minimum mental state examination (MMSE) evaluation, and the incidence of cognitive impairment was 55.56%. Compared with the non-cognitively impaired group, the cognitively impaired group had a higher percentage of females, higher ALSFRSr scores, higher CK and LDL-C, and lower education and UA, with statistically significant differences (P < 0.05). After Montreal cognitive assessment (MoCA) evaluation, 19 patients had cognitive impairment, and the incidence of cognitive impairment was 52.78%. Compared with the non-cognitively impaired group, the cognitively impaired group had a higher percentage of females, higher ALSFRSr scores, higher CK and LDL-C, and lower education and UA, and the differences were statistically significant (P < 0.05). Logistic regression analysis showed that female, high ALSFRSr score, and low UA were the main risk factors for cognitive impairment in patients (P < 0.05).   Conclusion   Female gender, ALSFRSr score, blood lipids, bulbar onset, education level and UA are associated with cognitive impairment in ALS patients. It is necessary to pay more attention to the above factors and intervene in time for ALS patients.
Correlation between serum bilirubin levels and motor symptoms in Parkinson' s disease
WANG Hengjie, ZHU Xiaowei, JI Duxin, CHEN Yan, ZHANG Chao, LIU Shihua, ZHONG Ping, CAO Li
2025, 23(7): 1123-1126. doi: 10.16766/j.cnki.issn.1674-4152.004079
405 5
Abstract:
  Objective   To investigate the relationship between serum bilirubin levels and clinical symptoms (motor and non-motor symptoms) of Parkinson' s disease (PD), and to provide a theoretical basis for unraveling the pathogenesis of PD and searching for potential biological markers.   Methods   A retrospective analysis was conducted on clinical data from 102 PD patients and 102 healthy controls (HC) treated at Suzhou Hospital of Anhui Medical University between July 2021 and July 2024. The PD patients were divided into the early-stage group (65 patients) and the moderate-late-stage group (37 patients) according to Hoehn-Yahr staging. The levels of total bilirubin (TBIL), direct bilirubin (DBIL), and indirect bilirubin (IBIL) were compared between the PD and HC groups, as well as between the early- and middle-late-stage groups. In addition, the relationships between serum bilirubin levels and the age of the PD patients, motor symptoms [unified Parkinson' s disease rating scale (UPDRS)-Ⅲ scores, Berg balance scale] and non-motor symptoms (Montreal cognitive assessment scale, Hamilton depression scale) were analyzed.   Results   Among the 102 patients with PD (50 males and 52 females), the median age was [71 (64, 76)] years. Compared with the HC group, the PD group had significantly higher serum TBIL and DBIL (P < 0.05). The levels of TBIL [(16.04±6.73) μmol/L vs. (13.41±4.07) μmol/L, P=0.035] and IBIL [(11.01±5.05) μmol/L vs. (9.16±2.73) μmol/L, P=0.045] in the moderate-late-stage group were higher than those in the early-stage group. In PD patients, Spearman correlation analysis showed that the severity of motor symptoms (UPDRS-Ⅲ score) was positively correlated with DBIL (rs=0.325, P < 0.001).   Conclusion   The serum levels of TBIL and DBIL in PD patients were significantly increased compared to healthy controls and were correlated with motor symptoms. DBIL may serve as a potential biomarker for assessing disease progression of PD.
Analysis of prognosis factors and prognosis of cervical cancer
NI Fangfang, LI Yuzhi, LIU Hongli, WANG Lingling
2025, 23(7): 1127-1129. doi: 10.16766/j.cnki.issn.1674-4152.004080
621 5
Abstract:
  Objective  To investigate the prognosis of different substages of stage ⅢC in the new staging system of cervical cancer in FIGO 2018 and its influencing factors affecting the prognosis of stage ⅢC.  Methods  The medical records of patients with stage Ⅰ-Ⅱ radical cervical cancer resection from January 2015 to December 2017 in the First Affiliated Hospital of Bengbu Medical University were collected, and the five-year survival rate and five-year recurrence rate of stage Ⅰ, stage Ⅱ, stage ⅢC-r, stage ⅢC-p, and stage ⅢC-rp after re-staging were compared. Univariate and multivariate analyses were performed on the influencing factors of the prognosis of stage ⅢC patients.  Results  There was no significant difference in the 5-year overall survival rate of cervical cancer between stage ⅢC-r (96.84%) and stage Ⅰ (98.98%) and stage Ⅱ (96.58%, P>0.05), which was contrary to the principle that the higher the stage of cervical cancer, the worse the prognosis. There were significant differences in tumor size, number of metastatic lymph nodes, vaginal vault involvement, location of metastatic lymph nodes, 5-year survival rate and recurrence rate in pathologically confirmed patients with stage ⅢC (ⅢC -p + ⅢC-rp stage, P < 0.05). The influencing factors related to univariate analysis were included in the Cox proportional hazards regression model for data processing, and the results suggested that whether the vaginal vault was involved and the number of lymph nodes metastases were independent risk factors for the prognosis of cervical cancer.  Conclusion  From the perspective of patient prognosis, the 5-year overall survival rate of cervical cancer in FIGO 2018 is comparable to that of stage ⅢC-r and stage Ⅱ, but the oncological outcomes of stage ⅢC-p and stage ⅢC-rp are significantly worse than those of stage ⅢC-r. It is contrary to the principle that the higher the stage of cervical cancer, the worse the prognosis. The prognosis of stage ⅢC patients is quite different, and their survival outcome is affected by factors such as tumor size, vaginal vault involvement, number and location of metastatic lymph nodes, and whether vaginal vault is involved and the number of metastatic lymph nodes are independent risk factors for the prognosis of stage ⅢC cervical cancer.
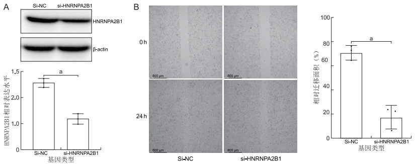
Exploration of the role of HNRNPA2B1 in keloid fibroblasts
ZHANG Luyang, WEI Xinggang, LI Siye, LIU Anzhu, LENG Xiangfeng
2025, 23(7): 1130-1134. doi: 10.16766/j.cnki.issn.1674-4152.004081
389 4
Abstract:
  Objective  Keloid is a fibroproliferative disease triggered by abnormal wound healing, and N6-methyladenosine (m6A), as the most common RNA modification, can regulate RNA stability. Heterogeneous nuclear ribonucleoprotein A2B1 (HNRNPA2B1), as an m6A reader, has been confirmed to be involved in the tumorigenesis of multiple cancers, but its role and molecular mechanism in keloid remain unclear. Therefore, this study focuses on HNRNPA2B1 to explore its specific function and regulatory mechanism in keloid.  Methods  Using a publicly available gene expression dataset from the Gene Expression Omnibus (GEO) database, which includes 15 control samples and 14 keloid tissue patient samples, differentially expressed genes (DEGs) in keloid fibroblasts were screened. After data preprocessing and batch calibration, a comprehensive analysis was conducted to clarify the functional meaning of DEGs. In addition, this study investigated the direct effect of HNRNPA2B1 on the behavior of scar fibroblasts through gene knockout experiments.  Results  This study analyzed the GSE7890 and GSE145725 datasets identified the related functions of differentially expressed genes, screened out 23 m6A-related genes, and enrichment analysis revealed that the HNRNPA2B1 gene affects the proliferation and metabolism of scar fibroblasts. Through in vitro experiments, HNRNPA2B1 knockout was found to significantly inhibit cell migration compared to the control group.  Conclusion  This study confirmed through bioinformatics analysis and in vitro experiments that HNRNPA2B1, as an m6A modified reader, is highly expressed in keloid tissue fibroblasts and can regulate cell proliferation, metabolism, and migration processes by regulating signaling pathways such as Wnt, P53, and HIF-1. Gene knockout experiments have shown that inhibiting HNRNPA2B1 can significantly reduce cell migration ability, revealing its key role in scar tissue fibrosis and providing new research directions for molecular mechanism analysis and targeted therapy of this disease.
The regulation of METTL3 on the proliferation and migration of SCAPs in the inflammatory environment
CHEN Tingting, ZHU Yongna, WU Yue, LIU Xi
2025, 23(7): 1135-1139. doi: 10.16766/j.cnki.issn.1674-4152.004082
409 7
Abstract:
  Objective  To explore whether METTL3 plays a regulatory role in the proliferation and migration capacity of apical dental papilla stem cells (SCAPs) in inflammatory environments and to provide a new theoretical basis for clinical endodontic regenerative therapy.  Methods  A permanent tooth apical periodontitis model of young rat was constructed by means of the pulp exposure method. In addition, AP-SCAPs and H-SCAPs were isolated, cultured and identified. The proliferation and migration potential of the cells was detected by CCK-8 and scratch assay, and the expression level of METTL3 was detected by Q-PCR in the two groups. Lentiviral transfection was utilized to construct AP-SCAPs overex-pressing METTL3 (Lv-M), with Lv-M-Ctrl serving as the control. The construction of AP-SCAPs silencing METTL3 (si-M) was achieved by employing the group. siRNA interference method. The proliferation and migration ability of cells in each group was detected by CCK-8 and scratch assay, respectively.  Results  In comparison with H-SCAPs, AP-SCAPs demonstrated a reduced capacity for proliferation and migration (P < 0.05). Furthermore, and the METTL3 expression levels in AP-SCAPs were significantly lower than those in H-SCAPs (1.00±0.05 vs. 1.62±0.17, P=0.004). The CCK-8 results demonstrated that the proliferation capacity of Lv-M was elevated at 24, 72, 120 and 168 hours in comparison to the control group (P < 0.05). In comparison with the si-M-Ctrl group, the si-M group demonstrated a decrease in cell proliferation ability (P < 0.05). The results of the scratch assay demonstrated that the cell migration rate of the Lv-M group was higher than that of the Lv-M-Ctrl group [(70.21±3.66)% vs. (27.26±4.69)%, P < 0.001]. Furthermore, the cell migration rate of the si-M group was decreased in comparison with the si-M-Ctrl group [(44.11±3.90)% vs. (72.33±5.61)%, P=0.002].  Conclusion  METTL3 has been demonstrated to play a regulatory role in the proliferation and migration of SCAPs within an inflammatory environment.
General Clinical Research
The correlation between body mass index, systemic immune-inflammation index with the efficacy and prognosis of immunotherapy in NSCLC patients
ZHANG Bo, FAN Qin, GAO Chenggang, CAI Yuanchun, SHI Yonglong
2025, 23(7): 1140-1143. doi: 10.16766/j.cnki.issn.1674-4152.004083
443 3
Abstract:
  Objective  To investigate the correlation of body mass index (BMI) and systemic immunoinflammatory index (SII) with immunotherapy efficacy and prognosis in patients with non-small cell lung cancer (NSCLC), providing the theoretical basis for individualized clinical treatment.  Methods  A total of 140 patients with NSCLC admitted to Ma ' anshan Shiqiye Hospital and Ma ' anshan People ' s Hospital from August 2021 to August 2022 were retrospectively included. Patients were separated into low BMI group (BMI<25, n=108) and high BMI group (BMI≥25, n=32) based on baseline BMI value, and were separated into low SII group (SII<642.40, n=70) and high SII group (SII≥642.40, n=70) based on baseline median SII value as the boundary. The correlation of BMI and SII with immunotherapy efficacy of patients was analyzed, and the patients were followed up for two years to analyze the survival prognosis of patients. Cox regression analysis was used to explore the factors affecting the survival prognosis of patients with NSCLC.  Results  The objective remission rate (ORR) at the end of immunotherapy cycle in low BMI group was lower [45.37% (49/108) vs. 75.00% (24/32), χ2=8.685, P=0.003], and ORR was lower in the high SII group than the low SII group [37.14% (26/70) vs. 67.14% (47/70), χ2=12.623, P < 0.001]. After two years of follow-up, the median follow-up time was (12.07±3.45) months. The median progression-free survival (PFS) in patients with BMI < 25, adrenal metastasis, liver metastasis, and SII≥642.40 was lower than that in patients with BMI < 25, no adrenal metastasis and liver metastasis, and SII < 642.40, respectively (P < 0.05). Cox regression analysis showed that BMI < 25, adrenal metastasis, liver metastasis and SII≥642.40 were all risk factors for the median PFS in NSCLC patients (P < 0.05).  Conclusion  Both BMI and SII are closely related to immunotherapy efficacy in patients with NSCLC and are risk factors for poor prognosis.
Risk factors and predictive model construction of post-traumatic stress disorder in patients with traumatic brain injury
GE Xiuzhen, QIAN Lili, MIAO Juan, LIANG Min, YANG Congyan, LI Lei
2025, 23(7): 1144-1147. doi: 10.16766/j.cnki.issn.1674-4152.004084
458 4
Abstract:
  Objective  The risk factors of post-traumatic stress disorder in patients with craniocerebral injury were analyzed and a risk prediction model was constructed to provide a theoretical basis for early identification and prevention of post-traumatic stress disorder.  Methods  A total of 170 patients with craniocerebral injury who were hospitalized in the Department of Neurosurgery of the Fifth People ' s Hospital of Fuyang City from April 2022 to February 2024 were selected as the study objects by convenient sampling method. According to whether the patients developed PTSD one month after discharge, they were divided into a stress disorder group (n=67) and a no-stress disorder group (n=103). The binary logistic regression model was used to analyze the risk factors of PTSD and to construct a risk prediction model. The predictive efficacy was tested by the ROC curve.  Results  The incidence of post-traumatic stress disorder in traumatic brain injury patients was 39.41% (67/170). Female (OR=4.509, P=0.009), sequelae (OR=3.868, P=0.040), insomnia (OR=2.537, P=0.007) were risk factors for the occurrence of post-traumatic stress disorder, and there was compensation/reimbursement (OR=0.282, P=0.031), high level of post-traumatic growth (OR=0.840, P < 0.001) and good quality of social relations (OR=0.913, P=0.017) were the protective factors for the occurrence of post-traumatic stress disorder. Hosmer-Lemeshow goodness of fit test results (χ2=4.314, P=0.828) indicated that the regression model had a good match, and the AUC was 0.942 (95% CI: 0.909-0.974, P < 0.001), sensitivity and specificity were 91.0% and 84.5%.  Conclusion  There is a high incidence of post-traumatic stress disorder in patients with head injuries. Female, no compensation/reimbursement, sequelae, lack of sleep, low level of traumatic growth, poor quality of social relations, and other risk factors will increase the risk of post-traumatic stress disorder. The established risk prediction model has a good prediction, providing a theoretical basis for clinical assessment and early intervention of patients with post-traumatic stress disorder.
Clinical study of edaravone dexborneol combined with argatroban in the treatment of acute ischemic stroke
ZHANG Dian, HAN Ruodong, LI Bing, GUO Zhiyi
2025, 23(7): 1148-1151. doi: 10.16766/j.cnki.issn.1674-4152.004085
548 3
Abstract:
  Objective  To explore the clinical efficacy, neurological function, inflammatory levels, and free radical levels of edaravone dexborneol combined with argatroban in patients with acute ischemic stroke (AIS).  Methods  A total of 80 patients with AIS admitted to Bozhou People ' s Hospital from January 2022 to December 2023 were selected and divided into the control group (40 cases) and treatment group (40 cases) based on the random number method. The control group was given argatroban and the treatment group was given argatroban combined with edaravone dexborneol. The clinical efficacy, related scale scores, serum inflammatory factors, free radicals and the occurrence of adverse reactions were compared between the two groups.  Results  After treatment, the total efficacy rate for the treated group was significantly better than the achieved by the control group [95.0% (38/40) vs. 80.0% (32/40), P < 0.05]. After 2 weeks of treatment, the NIHSS score and modified Rankin score in the treatment group were lower than those in the control group, while the Barthel index score was higher than that in the control group (P < 0.05). The levels of hypersensitive C-reactive protein, interleukin-1β, interleukin-6, and tumor necrosis factor-α in the treatment group were lower than those in the control group (P < 0.05). The levels of malondialdehyde and reactive oxygen species in the treatment group were lower than those in the control group, while the level of superoxide dismutase was higher than that in the control group (P < 0.05). The difference in the incidence of adverse reactions between the two groups was not statistically significant (P>0.05).  Conclusion  Edaravone dexborneol combined with argatroban significantly improves the clinical efficacy of AIS, effectively promotes the recovery of neurological function, improves the quality of daily life of patients, inhibits the expression of inflammatory factors, and reduces the level of serum free radicals.
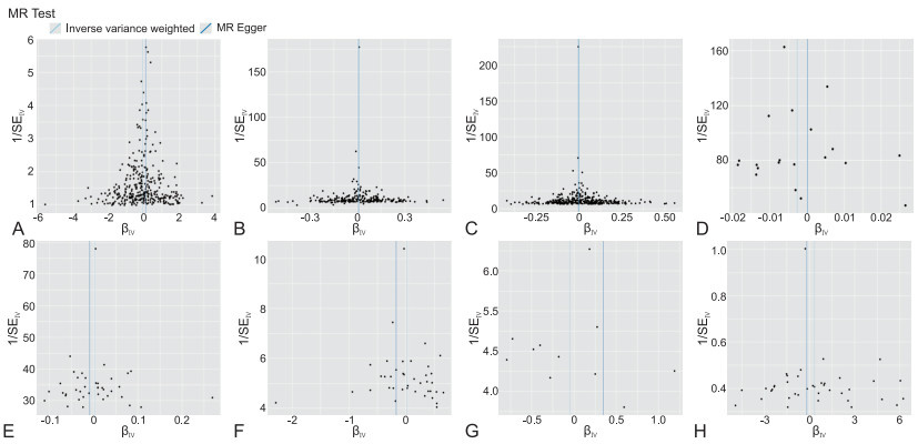
Bidirectional two-sample mendelian randomization investigation of the causal association between chronic kidney disease and renal function related indicators with insomnia
ZHANG Tingting, LI Hui, ZHANG Xingping
2025, 23(7): 1152-1156. doi: 10.16766/j.cnki.issn.1674-4152.004086
425 2
Abstract:
  Objective  Chronic kidney disease (CKD) and renal function-related index abnormalities and insomnia often occur simultaneously in clinical practice. This study aimed to explore the potential causal association through Bidirectional two-sample Mendelian randomization (MR) analysis.  Methods  Single nucleotide polymorphisms (SNPs) that were strongly correlated with exposure factors and satisfied the linkage disequilibrium were screened from the published genome-wide association study (GWAS) dataset of European population as instrumental variables, and the SNPs were extracted from the corresponding outcomes for MR analysis. The inverse-variance weighted (IVW) method was used as the main causal inference result, and MR-Egger regression, weighted median, weighted mode, and simple mode methods were used as supplements and validation of IVW to explore the two-way causal association between chronic kidney disease and its related indicators and insomnia.  Results  There was no significant causal association between CKD, serum creatinine, serum uric acid, cystatin C and insomnia by IVW method. The OR (95% CI) were 0.997 (0.993-1.002), 0.924 (0.844-1.011), 1.008 (0.997-1.019), 1.001 (0.993-1.009), respectively (P>0.05). There was no significant causal association between insomnia and CKD and serum creatinine, serum uric acid, and cystatin C. The OR (95% CI) were 1.403 (0.625~3.151), 1.002 (0.983-1.021), 1.010 (0.871-1.170), and 0.954 (0.679-1.342), respectively (P>0.05). MR-Egger regression method, weighted median method, weighted mode method, and simple mode method further verified that there was no bidirectional causal relationship between CKD and its related indicators (serum creatinine, serum uric acid, cystatin C) and insomnia (P>0.05). In addition, the overall effect of level pleiotropy test, heterogeneity test, and leave one method analysis results were not affected by a single instrumental variable, further confirming the robustness and reliability of MR analysis results.  Conclusion  There is no obvious bidirectional causal association between CKD and renal function related indicators and insomnia.
Clinical efficacy of Yikang Decoction combined with metformin in the treatment of polycystic ovary syndrome and its impact on the levels of sex hormones and body mass index in patients
CHEN Xiangyan, HU Xinxin, XU Tiantian, LIU Xiaping, LI Peng, CHEN Miaomiao, SUN Yun
2025, 23(7): 1157-1161. doi: 10.16766/j.cnki.issn.1674-4152.004087
577 7
Abstract:
  Objective  Polycystic ovary syndrome (PCOS) is more common in women of childbearing age and has adverse effects on the physical and mental health of patients. This study adopted Yikang Decoction combined with metformin to explore the effects of the combination of the two on the levels of sex hormones, body mass index, and other indicators of patients, so as to provide references for the selection of clinical treatment of PCOS.  Methods  A total of 102 patients with polycystic ovary syndrome treated in Wenzhou Hospital of Traditional Chinese Medicine Affiliated to Zhejiang Chinese Medicine University from January 2022 to January 2024 were selected as the study objects. According to the random number table method, they were divided into a control group (n=51) to receive conventional treatment and metformin treatment, and a study group (n=51) to receive conventional treatment, metformin treatment, and Yikang Decoction treatment. To evaluate traditional Chinese medicine (TCM) syndrome points (leakage, menstrual menstruation, facial acne, chest and rib pain), sex hormones luteinizing hormone (LH), testosterone (T), follicle stimulating hormone (FSH), body mass index, glucose metabolism index fasting insulin (FINS), fasting plasma glucose (FPG), homeostasis model assessment of insulin resistance (HOMA-IR), adipokines [aplin peptides (Apelin), visceral adipose-specific serine protease inhibitor (Vaspin)] and clinical efficacy.  Results  After treatment, the levels of TCM syndrome score, LH, T, body mass index, FINS, FPG, HOMA-IR, Apelin, and Vaspin in the study group were lower than those in the control group, the FSH level in the study group was higher than that in the control group, and the total response rate in the study group was higher than that in the control group [94.12% (48/51) vs. 78.73% (40/51), χ2=5.299, P=0.021].  Conclusion  After treatment with Yikang Decoction combined with metformin, the improvement of sex hormones, physical signs, and glucose-lipid metabolism, and the decrease of body mass index were more obvious in PCOS patients, and the treatment efficiency was higher.
The application value of VRCTS based on the theory of TCM sentiment in the treatment of children with ADHD
CAI Ziyao, CHEN Chunmian, LUAN Honglin, CHEN Haoran, YE Xinwu, MA Xiaoyun, AN Xuewei
2025, 23(7): 1162-1166. doi: 10.16766/j.cnki.issn.1674-4152.004088
582 3
Abstract:
  Objective  To observe the efficacy of virtual reality cognition training system (VRCTS) based on emotion theory of traditional Chinese medicine (TCM) in assisting the diagnosis and treatment of children with attention deficit hyperactivity disorder (ADHD), and to provide help to improve the treatment effect of children with ADHD.  Methods  A total of 98 children with ADHD admitted to Wenzhou Seventh People ' s Hospital from January 2021 to February 2023 were selected and divided into the routine group and the research group with 49 cases each by envelope method, and both groups were treated with conventional therapy, with the conventional group carrying out cognitive-behavioral therapy (CBT), On the basis of the conventional group, the research group adopted VRCTS adjuvant therapy based on the emotional theory of traditional Chinese medicine, to compare the differences in the CONNERS rating scale (teacher version), Achenbach child behavior scale (CBCL) parent version, and clinical efficacy between the two groups. VRCTS adjuvant therapy was used in the conventional group, and the CONNERS scale (teacher version), Achenbach ' s child behaviour scale (parent version), and clinical efficacy were compared between the two groups.  Results  After treatment, the scores of CONNERS rating scale and CBCL scale in both groups were lower than before treatment, and the scores of CONNERS rating scale and CBCL scale in the study group were lower than those in the conventional group, with statistical significance (P < 0.05). The reduction rate of CONNERS [(64.73±8.99)% vs. (53.13±8.93)%] and the reduction rate of CBCL [(46.03±6.69)% vs. (29.35±8.78)%] in the study group were higher than those in the conventional group, and the difference was statistically significant (χ2=6.404, 10.578, all P < 0.001).  Conclusion  VRCTS-assisted cognitive-behavioural therapy based on Chinese medicine ' s emotion theory for children with ADHD can effectively improve core symptoms such as conduct problems, hyperactivity, and attention deficits during the school day, and reduce emotional-behavioural problems during the home day.
Effectiveness of exercise prescription combined with personalized nutrition intervention for community-dwelling older adults with sarcopenia
YU Su, REN Longbing, SUN Yange, DING Qian, LI Jing, XIN Xiaoyi
2025, 23(7): 1167-1170. doi: 10.16766/j.cnki.issn.1674-4152.004089
723 14
Abstract:
  Objective  Sarcopenia severely affects the health of the elderly. To explore intervention approaches and evaluate the effectiveness of interventions for sarcopenia in community-dwelling older adults, as well as to enhance the capacity of primary care in specialized disease management, this study implemented a 26-week exercise prescription combined with personalized nutrition intervention for elderly patients with sarcopenia through a community-based specialized outpatient clinic, aiming to assess its intervention effects.  Methods  Participants were consecutively recruited from the Osteoporosis Specialty Clinic of Yuetan Community Health Service Center (affiliated with Capital Medical University Fuxing Hospital) between October 2022 and November 2023. A total of 60 sarcopenia patients who met the inclusion and exclusion criteria were enrolled and randomly assigned in a 1∶1 ratio to either the intervention group (n=30) or the control group (n=30) using a coin toss method. The intervention group included nutrition assessment and personalized nutrition intervention combined with no less than 90 minutes of resistance and aerobic exercise per week. The control group was routine outpatient health education. Questionnaires and physical examinations were used to collect sarcopenia-related indicators and nutritional evaluation data before and after intervention.  Results  There was no statistically significant difference in various indicators between the two groups before intervention. After 26 weeks of intervention, the intervention group showed significantly better sarcopenia-related indicators compared to the control group (all P < 0.05). Specifically, the intervention group had a higher mean handgrip strength [(21.62±6.04) kg vs. (18.45±5.17) kg], faster performance in the five-time sit-to-stand test [(11.27±3.19) s vs. (16.39±5.67) s], and higher scores on the short physical performance battery [(10.43±2.60) points vs. (7.13±2.76) points]. There was no statistically significant difference in muscle mass and 6-meter walking speed between the two groups. Additionally, the intervention group demonstrated significantly lower rates of SARC-Calf screening positivity, frailty, and malnutrition, along with higher health literacy levels related to sarcopenia compared to the control group post-intervention (P < 0.05).  Conclusion  Exercise prescription combined with individualized nutrition intervention based on community clinics can effectively improve grip strength, body function, daily living ability, and quality of life of elderly patients with sarcopenia.
A Study of Satisfaction and Influencing Factors of Promotion Mechanism for Community Rehabilitation Personnel in Shanghai
ZHANG Minghui, HE Rou, GUO Lijun, SUN Wei, BAO Yong
2025, 23(7): 1171-1175. doi: 10.16766/j.cnki.issn.1674-4152.004090
501 2
Abstract:
  Objective  A questionnaire survey was conducted using a phased random cluster sampling of 173 rehabilitation personnel from 36 community health service centers to explore factors that may affect satisfaction with promotion mechanisms, providing a scientific basis for promoting the development of community rehabilitation services.  Methods  Conduct a questionnaire survey on all community health service centers in three districts of Shanghai from Auguest to October 2021 Using Spearman rank correlation analysis to study relevant factors, conducting univariate analysis using the chi-square test and Kruskal-Wallis H test, and using a decision tree model to screen for possible influencing factors.  Results  Among community rehabilitation personnel, 106 (61.3%) were satisfied with the promotion mechanism, 53 (30.6%) were moderately satisfied, and 14 (8.1%) were dissatisfied. The decision tree model results show that traditional Chinese medicine rehabilitation training, development prospects, understanding of traditional Chinese medicine family rehabilitation, and satisfaction with traditional Chinese medicine family rehabilitation may have an impact on the satisfaction of community rehabilitation personnel promotion mechanisms.  Conclusion  The satisfaction of Shanghai community rehabilitation personnel with the promotion mechanism still needs to be improved. It is recommended to improve the satisfaction of community rehabilitation personnel's promotion mechanism by refining the promotion evaluation system, restructuring the talent training program, strengthening the content of traditional Chinese medicine special training, and other measures.
Latent class analysis of childhood trauma in patients with bipolar disorder and its relationship with resilience and functional outcomes
ZHONG Lixia, LI Zhulin, MA Ruoyun, JI Binbin, ZHAO Juanjuan, LIN Xiaoling
2025, 23(7): 1176-1179. doi: 10.16766/j.cnki.issn.1674-4152.004091
569 8
Abstract:
  Objective  To explore latent classes of childhood trauma in patients with bipolar disorder (BD) and to examine the mediating effects of resilience in the relationship between latent classes and functional outcomes (psychosocial functioning and quality of life).  Methods  A total of 272 inpatients and outpatients with BD were recruited by convenience sampling from the Third Affiliated Hospital of Sun Yat-sen University and Guangzhou Huiai Hospital between September 2019 and April 2021. Participants were assessed by general information questionnaire, childhood trauma questionnaire short form, conner-davidson resilience scale, functioning assessment short test, 12 items short form health survey, 17-item Hamilton depression rating scale, and Young mania rating scale. Latent class analysis was used to explore the latent classes of childhood trauma, and covariance analysis was used to compare resilience and functional outcomes among patients with different latent classes of childhood trauma. Mediation analysis was used to investigate the mediating role of resilience between latent classes of childhood trauma and functional outcomes.  Results  Three distinct trauma classes were identified: "low trauma" (n=152, 55.9%), "high neglect" (n=48, 17.6%), and "high trauma" (n=72, 26.5%). The latent classes had a significant main effect on resilience, social function, and quality of life (F=8.173, 3.599, 4.800, all P < 0.001). Using the "low trauma" class as the reference, the mediating effects of resilience in the "high neglect" class on psychosocial function and quality of life were 0.21 (95% CI: 0.08 to 0.34) and -0.21 (95% CI: -0.34 to -0.09), respectively.  Conclusion  The childhood trauma among patients with bipolar disorder is heterogeneous. Identifying childhood trauma profiles and providing targeted intervention based on trauma characteristics and resilience levels may help improve the functional outcomes in patients.
The effect of repetitive transcranial magnetic stimulation on emotion and cognitive level of depression patients with different theory of mind
ZHU Qi, GAI Qiong, SHEN Fei, DING Zhuoying, PAN Yourang, LI Songtao
2025, 23(7): 1180-1182. doi: 10.16766/j.cnki.issn.1674-4152.004092
483 2
Abstract:
  Objective  To explore the effect of repetitive transcranial magnetic stimulation (rTMS) on the improvement of emotional and cognitive levels in patients with depression with different theories of mind (TOM).  Methods  A total of 154 patients with depression admitted to Shaoxing Seventh People's Hospital from June 2023 to June 2024 were selected and divided into an intervention group (86 cases) and a control group (68 cases) according to the random number table method. The intervention group was further divided into a low TOM group (44 cases) and a high TOM group (42 cases) according to the median of the theory of mind picture-sequencing task (ToM-PST) score. The control group was treated with oral escitalopram oxalate, and the intervention group was treated with rTMS on this basis. The intervention period was 4 weeks. After the intervention, the total effective rate of patients in the low TOM group, the high TOM group, and the control group was compared, and the improvement of depression and cognitive level among the three groups was compared.  Results  The total effective rate of the high TOM group (76.19%, 32/42) was higher than that of the low TOM group (50.00%, 22/44) and the control group (38.24%, 26/68), and the difference was statistically significant (χ2=15.078, P=0.001). In terms of the improvement of depression level,'somatization/anxiety ','retardation ', and'sleep disorder'in the high TOM group were better than those in the control group. The'retardation'and'sleep disorder'in the low TOM group were better than those in the control group, and the difference was statistically significant (P < 0.05). In terms of cognitive improvement, the'attention'of the high TOM group was higher than that of the low TOM group and the control group; the'delayed recall'of the high TOM group and the low TOM group was better than that of the control group, and the difference was statistically significant (P < 0.05).  Conclusion  Repetitive transcranial magnetic stimulation has a certain auxiliary improvement effect on the emotion and cognition of patients with depression with different psychological theory abilities.
The rehabilitation efficacy of patients with rotator cuff injury in needs-oriented segmented health education
XU Tingting, QI Jie, LIU Lili, FENG Dan
2025, 23(7): 1183-1187. doi: 10.16766/j.cnki.issn.1674-4152.004093
406 3
Abstract:
  Objective  To examine the rehabilitation outcomes of patients suffering from rotator cuff injury, with a particular focus on demand-oriented segmented health education.  Methods  A total of 118 patients with rotator cuff injury who were admitted to the Department of Orthopedics, Huai'an First People's Hospital from January 2021 to December 2023 were selected as the research objects. They were divided into the control group (n=59) and the observation group (n=59) according to the random number table method. The control group received routine education, while the observation group received phased health education oriented to patient needs. The recovery of shoulder joint function, health behavior control and self-care ability of the two groups were compared.  Results  After 30 days of intervention, the university of California at Los Angeles shoulder scale (UCLA) index score of pain in the observation group was 3.65±2.02, which was lower than (4.72±2.44) in the control group. The scores of functional activity (7.45±1.68) and subjective satisfaction (7.89±1.17) in the observation group were higher than those in the control group (6.44±1.76 and 7.24±1.16), and the differences were statistically significant (P < 0.05). The scores of drug use, exercise management and lifestyle adjustment in the observation group were significantly higher than those in the control group (31.42±2.17 vs. 30.22±2.15; 36.83±4.01 vs. 34.79±3.81; 30.76±3.45 vs. 29.33±2.02, P < 0.05). The scores of self-concept, knowledge and information seeking, passivity and motivation in the exercise of self-care agency (ESCA) of patients in the observation group were significantly higher than those in the control group (P < 0.05).  Conclusion  The application of patient demand-oriented phased health education has been demonstrated to accelerate the recovery of shoulder joint function in patients with rotator cuff injury. Furthermore, the study suggests that this method can effectively strengthen the patients'health behavior control effect and significantly improve their self-care ability.
The impact of focus resolution and group intervention on residual symptoms during the remission period of bipolar disorder
WANG Yuanyuan, FENG Hong, LIN Xuebing
2025, 23(7): 1188-1191. doi: 10.16766/j.cnki.issn.1674-4152.004094
475 2
Abstract:
  Objective  To analyze the residual symptoms and shame experienced by bipolar disorder (BD) patients in remission, with a view to understanding their impact on the patients'mental health and cognitive flexibility. The present study analyzes the application of the focus solution model group intervention in BD remission patients, with a view to alleviating residual symptoms and shame and improving cognitive flexibility.  Methods  The subjects of this study were selected from a cohort of 310 BD remission patients who had visited Shaoxing Seventh People's Hospital during the period between January 2024 and January 2025. The subjects were randomly divided into two groups: a control group and an observation group. The randomization method employed was a random number list method, with 155 cases in each group. The control group received routine nursing care, while the observation group received group intervention using the focus solution model on the basis of the control group. The Yang mania scale (YMRS) and Hamilton depression scale (HAMD) were utilized to evaluate the residual manic and depressive levels of patients. The stigma scale for mental illness (SSMI-C) and the cognitive flexibility inventory (CFI) were utilized to compare the shame and psychological flexibility levels of the two groups of patients.  Results  Following a period of seven weeks of intervention, the YMRS and HAMD scores of the patients in the observation group were found to be (10.55±2.41) points and (8.42±1.43) points, respectively. These figures were lower than those recorded for the control group, which were (13.01±2.57) points and (10.14±2.59) point, respectively. A P-value of less than 0.05 was obtained, indicating that the difference between the two groups was statistically significant. Following the intervention, the total score of SSMI-C in the observation group was lower than that in the control group (47.83±5.27 vs. 71.75±7.46, P < 0.05). The mean total score of the CFI in the observation group was higher than that in the control group (66.83±7.26 vs. 57.32±7.41, F=6.786, P < 0.001).  Conclusion  The focus solution model group intervention has been demonstrated to be an effective means of alleviating residual symptoms in BD patients during remission, reducing their sense of shame, enhancing psychological flexibility, and promoting their recovery.
Evaluation of ultrafast pulse wave technique in subclinical atherosclerosis in SLE and its clinical correlates
WANG Xing, LU Fang, SHI Yan, LI Yang, XIE Changhao
2025, 23(7): 1192-1195. doi: 10.16766/j.cnki.issn.1674-4152.004095
311 2
Abstract:
  Objective  To make an assessment of vascular elasticity in patients with systemic lupus erythematosus (SLE) at varying levels of disease activity using ultrafast pulse wave technique, and to investigate associated clinical risk factors.  Methods  A total of 116 SLE patients admitted to the First Affiliated Hospital of Bengbu Medical University from October 2020 to April 2024 were selected. Patients were divided into a mild activity group (n=57) and a moderate-to-severe activity group (n=59) according to SLE disease activity index 2000. Additionally, 45 healthy adults were included as the control group. Carotid intima-media thickness (IMT), pulse wave velocity at the beginning of systole (PWV-BS), and pulse wave velocity at the end of systole (PWV-ES) were measured in each group. Clinical data of each group were recorded and analyzed. Carotid artery parameters and clinical data of the three groups were compared to analyze the correlation between PWV parameters and various indicators.  Results  Both PWV-BS and PWV-ES showed significant differences among the three groups, following the pattern: moderate-to-severe activity group > light activity group > control group (P < 0.05). PWV-BS was positively correlated with common carotid artery IMT (r=0.315, P < 0.001), systolic blood pressure (r=0.190, P=0.041), and diastolic blood pressure (r=0.191, P=0.040). PWV-ES was positively correlated with carotid bifurcation IMT (r=0.274, P=0.003), common carotid artery IMT (r=0.361, P < 0.001), and diastolic blood pressure (r=0.252, P=0.006).  Conclusion  The reduction in carotid artery elasticity in SLE patients occurs significantly earlier compared to healthy individuals. Ultrafast pulse wave is valuable, time-independent, and objective tool for quantitative assessing early vascular changes in patients with SLE, thus facilitating the early detection and clinical management of atherosclerosis.
Influence of intrahepatic fat on the evaluation of hepatic fibrosis using different T1 mapping techniques
TAN Kai, WANG Guoyu, WU Yulin, YANG Xiaoping, XU Zuliang, LIU Hongyu
2025, 23(7): 1196-1198. doi: 10.16766/j.cnki.issn.1674-4152.004096
361 3
Abstract:
  Objective  To explore the influence of intrahepatic fat on the assessment of hepatic fibrosis by different magnetic resonance T1 mapping methods.  Methods  A total of 140 patients with nonalcoholic fatty liver disease (NAFLD) treated at Taizhou Central Hospital from February 2021 to February 2024 were selected as the research objects. The proton density fat fraction of patients and liver T1 values obtained using different T1 mapping methods were collected. The relationship between T1 values and liver fat content was analyzed by Pearson correlation.  Results  T1 value of liver parenchyma on OP image was significantly higher than that on IP image and Water image, while the T1 value on Water image was higher than that on IP image (P < 0.05). The T1 value of liver parenchyma was weakly positively correlated with the proton density fat fraction (PDFF) in OP image (r=0.219, P=0.015), and negatively correlated with PDFF in IP image (r=-0. 499, P < 0.001). There is no correlation between the T1 value of liver parenchyma on Water image and PDFF (r=-0.138, P=0.130), while the absolute value of T1 value difference between OP image and IP image is also correlated with PDFF (r=0.373, P < 0.001; r=-0.258, P=0.004).  Conclusion  T1 mapping water sequence images obtained using Dixon water-fat separation imaging technology are minimally affected by hepatic fat, providing the most effective correction for fat-related interference in liver T1 measurements.
Exploring the mechanism of alcohol's effect on osteoporosis based on the immune system
YUE Yunxiang, REN Yangyang, WANG Gang, KANG Boyuan, XU Xilin
2025, 23(7): 1199-1203. doi: 10.16766/j.cnki.issn.1674-4152.004097
505 3
Abstract:
Osteoporosis (OP) is a skeletal disease characterized by a decrease in bone strength and an increased risk of fractures, posing both medical and socioeconomic threats. Alcohol abuse is prevalent worldwide, and due to unique drinking cultures, alcohol-related diseases are highly prevalent in our country. Long-term alcohol abuse can lead to bone metabolism disorders, bone loss, and degradation of bone microstructure by directly affecting osteoblasts, osteoclasts, and their precursor cells, or indirectly influencing protein metabolism, liver function, and endocrine systems, thereby triggering osteoporosis. However, the pathogenesis of osteoporosis has not yet been fully elucidated. The immune system is a complex network composed of various molecules, cells, tissues, and organs, and it is a crucial system for maintaining human life, aimed at protecting the body from infections and malignant cells. Recent studies have shown a close relationship between alcohol and the immune system, particularly the effects of alcohol on innate and adaptive immunity, as well as the correlation of many immune cells, such as neutrophils, macrophages, T cells, and B cells, with osteoporosis. Therefore, this article discusses the impact of alcohol on the immune system to elucidate the pathogenesis of osteoporosis, aiming to provide new insights and evidence for the mechanistic research of osteoporosis, the development of new drugs, and new treatment strategies. It also finds that alcohol disrupts the dynamic balance of immune cells (such as inhibiting the generation of neutrophils, macrophages, T and B lymphocytes) and the activity of related signaling pathways (including OPG/RANKL/RANK, JAK/STAT3, NF-κB, and JNK signaling pathways), while abnormally regulating the secretion of pro-inflammatory factors (such as IL-1, IL-6, IL-17, TNF-α, and IFN-γ), thereby directly or indirectly disrupting the homeostatic balance between bone formation and resorption, ultimately leading to the occurrence of osteoporosis.
Advances in the use of imaging techniques in the screening and evaluation of psoriasis co-morbidities
WANG Yongxing, DING Yuan
2025, 23(7): 1204-1208. doi: 10.16766/j.cnki.issn.1674-4152.004098
503 3
Abstract:
Psoriasis is a prevalent chronic inflammatory disease, with a global incidence rate ranging from 1 % to 3%, and an estimated prevalence of 0.47% in our country. Associated comorbidities include psoriatic arthritis, metabolic syndrome, non-alcoholic fatty liver disease, uveitis, and chronic kidney disease, among others. The utilization of biologics in patients diagnosed with various forms of psoriasis has resulted in individualized variations in drug efficacy. Psoriasis co-morbidities have been demonstrated to exert a detrimental effect on the quality of life of patients suffering from psoriasis patients, in addition to determining the treatment measures for said patients. The efficacy of drugs following the administration of biologics is subject to variation according to the specific co-morbidities associated with psoriasis, highlighting the importance of early screening for such co-morbidities in optimizing the treatment of psoriasis. The advent of advanced imaging technologies in recent years has given rise to a plethora of novel imaging modalities, including intravenous ultrasound (IVUS), musculoskeletal ultrasound (MSUS), fluorescence optical imaging (FOI), and optical coherence tomography angiography (OCTA), among others. The advent of these imaging technologies has rendered the collection and processing of information about the human body more sensitive and specific. Due to the non-invasive and simple nature of most imaging examinations, this technology has become a key component of screening and evaluation. The advent of imaging technology has rendered it a potent instrument in the screening and evaluation of psoriasis co-morbidities. The utilization of imaging technology for the assessment of joint involvement, cardiovascular complications, ocular manifestations, hepatic involvement, and other organ systems has been shown to enhance the precision of early psoriasis co-morbidities diagnoses. Moreover, it provides a substantial foundation for the assessment of disease activity and prognosis. Consequently, in clinical diagnosis and treatment, it is imperative to prioritize the implementation of pertinent imaging modalities for the screening and evaluation of psoriasis co-morbidities at an early stage, thereby facilitating more effective assistance in the diagnosis and treatment of psoriasis patients. Among the relevant cutting-edge studies, there are more studies on psoriatic arthritis, cardiovascular disease and psoriasis ocular damage, and this paper summarizes these hot aspects.
Advancements in the study of tight junction protein-5 in epilepsy within the blood-brain barrier
CHEN Jingyi, GAO Fankai, XUE Guofang
2025, 23(7): 1209-1213. doi: 10.16766/j.cnki.issn.1674-4152.004099
484 3
Abstract:
The blood-brain barrier (BBB) is composed of brain microvascular endothelial cells. It is an important protective barrier that can limit the entry of harmful substances in the blood into the brain and maintain a stable internal environment of brain tissue. Its integrity is crucial to brain function. Tight junction proteins are key components in maintaining the structure and function of the BBB. These proteins are located between brain microvascular endothelial cells, connecting adjacent cells, and maintaining barrier integrity, forming a highly regulated microenvironment. Claudin-5 is one of the most abundant tight junction proteins in the BBB and is widely distributed on the cell membrane of brain microvascular endothelial cells. Studies have shown that Claudin-5 plays a crucial role in regulating the integrity and permeability of the BBB. It ensures the selective permeability of the BBB by controlling the connection gaps between cells, allowing the brain to obtain the required oxygen, glucose, and other substances, while preventing harmful substances, pathogens, and other potentially harmful substances from entering the brain. Once the expression or function of Claudin-5 becomes abnormal, the function of BBB will be affected, thus triggering a series of nervous system diseases, such as neuroinflammation, cerebrovascular disease and neurodegenerative diseases. Epilepsy is a disease caused by abnormal neural discharges. Some studies have shown that Claudin-5 may be involved in the pathogenesis of epilepsy by changing the permeability of the BBB and affecting the ion concentration in the brain tissue. Although the specific mechanism is not fully understood at present, changes in Claudin-5 may be closely related to the occurrence of epilepsy. In summary, Claudin-5 not only plays a vital role in maintaining the integrity of the BBB, but also has potential research value in the pathogenesis of central nervous system diseases, especially epilepsy. This article will review the physiological functions, pathological changes, and role of Claudin-5 in maintaining BBB integrity and epilepsy, providing new ideas for the treatment of epilepsy.
Research progress on the comparison of emergency response abilities among medical staff in elderly care institutions under the integration of medical care and elderly care
ZHANG Ying, LI Jia, LIU Shiping
2025, 23(7): 1214-1217. doi: 10.16766/j.cnki.issn.1674-4152.004100
540 4
Abstract:
China has officially entered an era of demographic ageing, with the country ' s rapidly ageing population resulting in an increased demand for medical treatment, rehabilitation, healthcare and pension services. Consequently, there has been a growing awareness of health pensions. This phenomenon is further evidenced by the increasing number of scholarly research studies focusing on pension institutions that integrate medical care and pension systems. The integration of medical and nursing care represents the harmonious convergence of "the health service" and "pension system" with the overarching objective being the maximization of social utility and the identification of optimal solutions. This paper, by drawing upon the relevant concepts of the model of combination of medical care with old-age care, reviews the research progress on the first-aid ability of medical personnel in old-age care institutions under the combination of medical care and old-age care in recent years. It also provides a comprehensive discussion on the development status, prospects and problems of this field, and aims to eliminate the division between the old-age service system and the health service system. The paper ' s objective is to provide a comprehensive reference point for elderly care institutions, encouraging the advancement of research in this field. A comprehensive search of recent journal literature was conducted using the CNKI, VIP, Wanfang and PubMed databases, and relevant literature was screened and reviewed to compile this review. The review revealed that, in contrast to international research, which primarily focuses on universities, domestic research is predominantly centred on institutions of higher education, emphasizing theoretical analysis over case studies. Therefore, it is imperative to comprehensively analyze the professional medical care and first-aid capabilities of medical staff in old-age care institutions and their influencing factors. This analysis should consider the combination of medical care and nursing as the macro background. The objective is to formulate relevant training systems, improve the overall quality of medical staff in old-age care institutions, change their first-aid concepts, and popularize first-aid knowledge and skills. This analysis can yield novel concepts for enhancing the existing elderly health service in the domain of emergency medical treatment.
Clinical observation on the efficacy of traditional Chinese medicine compression pack therapy for postoperative neck pain in thyroid cancer patients
DING Yun, ZHANG Hao, MA Xiaopeng, YAN Chunling, CHEN Tingting, ZHAO Hong
2025, 23(7): 1218-1221. doi: 10.16766/j.cnki.issn.1674-4152.004101
490 3
Abstract:
  Objective  To evaluate the clinical efficacy of traditional Chinese medicine (TCM) pack therapy in managing postoperative neck pain in thyroid cancer patients. In addition, the study will analyze its role in enhancing postoperative recovery and assess treatment safety.  Methods  A total of 76 patients who underwent radical surgery for thyroid cancer at the Thyroid and Breast Surgery Department of the First Affiliated Hospital of Anhui University of Chinese Medicine between January and March 2025, and developed postoperative neck pain were randomized into treatment and control groups (38 cases each) using a random number table. The control group received routine care, while the treatment group received additional TCM pack therapy. The severity of pain was measured using the numerical rating scale (NRS) and the brief pain inventory (BPI) at one hour and three days after surgery. Postoperative recovery was evaluated using the quality of recovery-15 (QoR-15) scale on the day before surgery and 3 days post-surgery. Adverse reactions were also recorded.  Results  A comparison was made between the groups. In the treatment group, NRS and BPI scores at 3 days postoperatively were significantly decreased in comparison with those at 1 day postoperatively (P < 0.05).Inter-group comparison: Three days after the operation, the treatment group exhibited a significantly lower NRS score [0 (0, 0)] than the control group [1 (1, 1), Z=-6.595, P < 0.001]. Furthermore, the treatment group demonstrated a lower BPI pain intensity score (6.71±2.54 vs. 8.89±3.56, F=8.862, P=0.004), indicating a lower level of interference with pain. Similarly, the mean score for the QoR-15 scale was higher (130.42±9.36 vs. 121.76±8.38, F=17.805, P < 0.001). No adverse reactions were observed in either group during treatment.  Conclusion  In comparison with the control group, TCM pack therapy significantly alleviated postoperative neck pain, accelerated recovery, and demonstrated favorable safety in thyroid cancer patients.
The efficacy of Jianpi Huatan Formula combined with acupuncture in the treatment of post-stroke depression and its influence on serum renin-angiotensin system
LI Zhishen, WANG Dai, GUO Ruitong, AN Jing, HE Manman
2025, 23(7): 1222-1226. doi: 10.16766/j.cnki.issn.1674-4152.004102
450 3
Abstract:
  Objective  To investigate the curative effect of Jianpi Huatan Formula combined with acupuncture on post-stroke depression (PSD) and to analyze its mechanism from the aspect of serum renin-angiotensin system (RAS).  Methods  A total of 150 patients diagnosed with PSD were treated at Shijiazhuang Hospital of Traditional Chinese Medicine from June 2021 to December 2023. These patients methodically divided into three groups for the purpose of this study: a decoction group (n=50, Jianpi Huatan Formula oral), an acupuncture group (n=50) and a combined group (n=50, Jianpi Huatan Formula + acupuncture). The randomization method was employed to ensure the equitable distribution of subjects across the three groups. A comparison was made of the therapeutic effect, scores before and after treatment, and serum neurotransmitters [5-hydroxytryptamine (5-HT), substance P (SP), brain-derived neurotrophic factor (BDNF), retinol-binding protein 4 (RBP4)] and RAS [plasma renin activity (PRA), angiotensin (Ang) Ⅱ, Ang 1-7] were compared among the three groups.  Results  A statistically significant disparity was observed in the total effective rate among the three groups [47 cases (94.0%) vs. 38 cases (76.0%) vs. 36 cases (72.0%), χ2=8.806, P=0.012]. The total TCM syndrome score, Hamilton depression scale (HAMD) -17, National Institutes of Health stroke scale (NIHSS) score, serum SP, RBP4, plasma PRA and Ang Ⅱ levels were significantly lower in the combined group after four weeks of treatment than in the other two groups (P < 0.05), while activity of daily living (ADL) score, serum 5-HT, BDNF, Ang 1-7 levels were significantly higher (P < 0.05). No statistically significant difference was found in various indexes between the decoction group and the acupuncture group (P>0.05). The investigation revealed no statistically significant difference in adverse reactions among the three groups (P>0.05).  Conclusion  The combination of Jianpi Huatan Formula and acupuncture has been demonstrated to be both safe and effective in the treatment of PSD. The potential mechanisms underlying this efficacy include regulation of the RAS and neurotransmitters.
Application of DOPS in the clinical skills assessment of undergraduates in clinical medicine and surgery
CHU Weiwei, XU Jing, LI Xuwen, HAN Zhiqiang, TIAN Li, HUANG He, GAO Ying, SONG Peijun
2025, 23(7): 1227-1230. doi: 10.16766/j.cnki.issn.1674-4152.004103
435 4
Abstract:
  Objective  To observe and evaluate the application effectiveness of the enhanced direct observation of procedural skills (DOPS) utilizing the Wenjuanxing and Wechat platform in assessing surgical clinical skills among undergraduate students in clinical medicine.  Methods  The study was conducted from November 2022 to October 2023, involving 100 clinical medicine undergraduates interning in Surgical Department of the First Affiliated Hospital of Bengbu Medical University. They were randomly divided into two groups of equal size. The control group underwent traditional clinical skills assessment, while the observation group also received DOPS assessment. Real-time feedback was provided through Wenjuanxing and WeChat platforms for comprehensive analysis of the results and understanding of students ' basic skill mastery. Targeted error correction and improvement exercises were conducted, with skill operation levels graded as excellent for surpassing expected standards, good for meeting them, and poor for falling short. The rate of excellent skill operation was compared among the three groups using a calculation of (excellent+good)/total number of participants×100%.  Results  The preliminary skill assessment results did not show significant differences between the two groups (P>0.05). However, the mid-term and post-term assessments revealed superior results in the observation group compared to the control group (P < 0.05). Following the internship, the observation group demonstrated an excellent skill operation rate of 92.00% (46/50), while the control group ' s rate was 76.00% (38/50), indicating a significant difference between the two groups (P < 0.05).  Conclusion  The implementation of DOPS in surgical education yields favorable outcomes, providing instructors with the flexibility to adapt their teaching methodologies and ignite students ' enthusiasm for learning. This assessment approach holds significant practical value and deserves widespread adoption in clinical settings.
The value of the new empowering teaching combined with micro lesson mode for clinical teaching of thyroid and breast surgeons
LIU Yuan, ZHU Zhu, SONG Tingting, WANG Binbin, LIU Yang
2025, 23(7): 1231-1233. doi: 10.16766/j.cnki.issn.1674-4152.004104
412 5
Abstract:
  Objective  To explore the effect of the new empowerment teaching combined with micro lesson mode on clinical teaching of breast and nail surgeons, and provide reference for the later promotion and application of the new empowerment teaching combined with micro lesson mode in China.  Methods  A total of 60 trainees from the Department of Breast Surgery at the First Affiliated Hospital of Bengbu Medical University from January 2022 to January 2024 were enrolled. They were randomly divided into observation group and control group, with 30 cases in each group. The control group of trainees adopted the traditional teaching mode, while the observation group adopted the new empowerment teaching combined with micro course teaching mode. The assessment scores and excellent rates of two groups of trainees were compared, and their mini-clinical evaluation exercise (Mini-CEX) scale scores and student evaluation of educational quality (SEEQ) scores were evaluated.  Results  The number of people in the observation group with scores below 60, 60-69, and 70-79 was lower than that in the control group, the number of people with 80-89 points and 90 points above was more than that in the control group, and the excellent and good rate was higher than that in the control group [76.67% (23/30) vs. 46.67% (14/30), χ2=5.711, P=0.017]. The observation group had higher scores in medical history collection, physical examination, humanistic care, clinical diagnosis, communication skills, organizational effectiveness, and overall performance than the control group (P < 0.05). The observation group had higher scores in learning value, organizational clarity, teaching enthusiasm, and group interaction than the control group (P < 0.05).  Conclusion  The new empowerment teaching combined with micro lesson mode for clinical teaching in thyroid and breast surgery can not only improve learning ability and clinical practice ability, but also enhance their learning enthusiasm, self-learning ability, and clinical thinking ability.
Impact of outcome-based education-oriented clinical practicum teaching model on core competencies and self-directed learning ability in nursing undergraduates
ZHOU Huiyun, WANG Xi, WANG Lei, YE Fenglin, YANG Lijuan
2025, 23(7): 1234-1238. doi: 10.16766/j.cnki.issn.1674-4152.004105
528 2
Abstract:
  Objective  To develop an outcome-based education (OBE)-oriented clinical practicum teaching model addressing fragmented core competency training and insufficient self-directed learning motivation among nursing undergraduates, and validate its application efficacy.  Methods  A total of 238 nursing undergraduates undertaking clinical practicum during summer (July 2024) and winter (February 2025) vacations at the First Affiliated Hospital of Bengbu Medical University were enrolled. Participants were divided into control and observation groups (n=119 each) using cluster sampling, with Class A and Class B assigned to the control group (traditional one-on-one mentorship model during summer vacation) and observation group (OBE-oriented clinical practicum teaching model during winter vacation), respectively. Core competencies, self-directed learning ability, and satisfaction were compared between the two groups.  Results  The observation group showed statistically significant improvements in five core competency dimensions compared to the control group: clinical biomedical science knowledge (P < 0.05), general clinical skills (P < 0.05), critical thinking and reasoning (P < 0.05), patient-centered care (P < 0.05), and lifelong learning (P < 0.05). No significant difference was observed in ethics and responsibility (P>0.05). The observation group also scored higher in self-directed learning ability, including information processing [(45.56±4.24) points vs. (43.34±4.93) points], self-management [(43.69±5.13) points vs. (42.21±3.89) points], and team-based collaborative learning [(27.77±4.27) points vs. (26.29±4.34) points, P < 0.05]. Satisfaction was significantly higher in the observation group (Z=3.141, P=0.002). Positive correlations were identified between core competency dimensions and self-directed learning ability (P < 0.01).  Conclusion  The OBE-oriented clinical practicum teaching model effectively enhances nursing students ' core competencies and self-directed learning ability, improves educational satisfaction, and provides both theoretical foundations and practical paradigms for nursing education reform.
The correlation between selenium intake and hypertension among rural eldly in Shandong Hilly Region
LU Xiaodi, LYU Shibo, WANG Xiuhong, WANG Yuanyuan, LI Weibo, DONG Shuyao, SHI Feng, CHONG Guanfeng
2025, 23(7): 1239-1243. doi: 10.16766/j.cnki.issn.1674-4152.004106
401 2
Abstract:
  Objective  To investigate the selenium intake and hypertension prevalence among the elderly population in rural areas of the hilly region of Shandong Province, and to explore the correlation between selenium intake levels and hypertension, thereby providing a basis for formulating appropriate prevention and control strategies for hypertension.  Methods  From February to November 2023, the permanent residents aged ≥60 years old were selected in 13 counties/districts with stratified multistage cluster sampling. Questionnaires and physical examinations were conducted on the subjects. A one-year dietary questionnaire was used to compute the daily dietary intake of total selenium. They were divided into five groups according to the quintile of selenium intake and tested, The risk factors were analyzed by logistic regression.  Results  A total of 2 068 subjects were selected, 1 153 were detected with hypertension, the crude prevalence of hypertension was 55.75%, and the standardized prevalence rate was 58.46%. There was a significant difference in the prevalence of hypertension among the five groups (P < 0.05). According to gender, age, alcohol consumption, BMI, abdominal obesity, diabetes, and weekly exercise, the prevalence of hypertension in different populations was different(P < 0.05). The results of multivariate logistic regression analysis showed that the odds ratio (OR) of the P21-P40 group, P41-P60 group, P61-P80 group, P81-P100 group were 0.945 (0.903-1.051), 0.917 (0.873-0.945), 0.891 (0.854-0.939), 0.832(0.783-0.884) respectively compared to P1-P20 group. With the increase in daily selenium intake, the OR showed a decreasing trend.  Conclusion  Selenium intake is negatively correlated with the prevalence of hypertension in the elderly population. Increasing selenium intake can reduce the risk of hypertension.
Study on the predictive value of patient-generated subjective nutrition assessment in the survival outcomes of cancer patients
ZHANG Hui, HE Rongfen, LIU Qun, SHAO Mingli
2025, 23(7): 1244-1248. doi: 10.16766/j.cnki.issn.1674-4152.004107
530 3
Abstract:
  Objective  To systematically investigate the association between patient-generated subjective global assessment (PG-SGA) and the risk of all-cause death in cancer patients, and to clarify its prognostic value.  Methods  A retrospective analysis was conducted on data from patients admitted to the Oncology Department of Huaibei People ' s Hospital from August 1, 2020, to August 31, 2022. Collected data included demographic data, biochemical examination, patient generated subjective global assessment, and other indicators. The clinical outcomes of the patients were obtained through case review or telephone follow-up, with a follow-up duration of 2 years. The main outcome was all-cause death. ROC curve was used to assess the ability of PG-SGA to predict 2-year survival, the and Cox proportional risk model was used to identify factors associated with all-cause death in cancer patients.  Results  Significant differences were found between the survival and non-survival groups in age, sex, hypertension, tumor stage, body mass index, nutritional risk screening 2002 (NRS-2002) grade, PG-SGA, and albumin levels (P < 0.05). Multivariate Cox analysis identified the PG-SGA score as independent risk factor for all-cause mortality in patients. The area under ROC curve for PG-SGA in predicting all-cause death was 0.821 (95% CI: 0.757-0.885, P < 0.001), with a sensitivity of 0.853, specificity of 0.656, and an optimal cut-off value of 5.5. Patients with PG-SGA score ≥6 had a significantly higher risk of mortality.  Conclusion  The PG-SGA is a significant predictor of survival outcomes in cancer patients. Patients with PG-SGA score greater than 5 is associated with an increased risk of all-cause death, highlighting the importance of early identification and timely nutritional intervention.
High-risk factors and nursing strategies of plastic bronchitis in children Mycoplasma pneumoniae pneumonia
ZHANG Jing, FENG Xinrong, ZHANG Cuixiang
2025, 23(7): 1249-1252. doi: 10.16766/j.cnki.issn.1674-4152.004108
490 3
Abstract:
  Objective  In the context of the increasing incidence of Mycoplasma pneumoniae pneumonia (MPP) and the thing that plastic bronchitis (PB) can cause ventilation disorders and even life-threatening in children, this study reviews the case data, identifies high-risk factors of PB in MPP children and formulates targeted nursing strategies to provide a scientific basis for early clinical intervention.  Methods  In the retrospective study, 260 children with MPP confirmed in Tianjin Children ' s Hospital were enrolled as the research objects between May 2021 and May 2024. According to the presence or absence of PB, they were divided into an occurrence group (n=42) and a non-occurrence group (n=218). The general data and clinical characteristics of children were collected. The possible influencing factors of PB in MPP children were analyzed using univariate and multivariate logistic regression analysis.  Results  Univariate analysis showed that compared with non-occurrence group, proportions of thermal spike ≥ 38.5 ℃, fever duration ≥ 5 d and pleural effusion, levels of C-reactive protein (CRP), lactate dehydrogenase (LDH), procalcitonin (PCT), erythrocyte sedimentation rate (ESR) and D-dimer (D-D) were higher in occurrence group (P < 0.05). Multivariate logistic regression analysis showed that fever duration ≥5 d (OR=4.170, 95% CI: 1.778-9.783), pleural effusion (OR=3.010, 95% CI: 1.186-7.637), CRP ≥ 20.13 mg/L (OR=2.389, 95% CI: 1.299-4.395) and LDH ≥ 361.25 U/L (OR=2.462, 95% CI: 1.213-4.996) were independent high-risk factors of PB in MPP children (P < 0.05).  Conclusion  The fever duration, pleural effusion, CRP, and LDH are closely related to PB in MPP children. Clinically, it is necessary to establish a perfect monitoring system, strengthen anti-infection treatment intensity, appropriately prolong the course of treatment, actively treat pleural effusion, closely monitor changes in respiration, cough, and other symptoms, and take targeted respiratory nursing to prevent the occurrence and progression of PB.
The impact of a nursing model based on the theory of health behavior change integration on the psychological state, compliance behavior, and lifestyle of patients with peptic ulcers
SHEN Yanyan, ZHU Aying, LUO Xiaoying, ZHANG Xiaohua
2025, 23(7): 1253-1257. doi: 10.16766/j.cnki.issn.1674-4152.004109
441 4
Abstract:
  Objective  Peptic ulcer (PU) is a prevalent digestive system ailment, the aetiology of which is multifactorial, with psychological state, compliance behavior and lifestyle all playing a significant role. The present study explores the impact of a nursing model based on the integrated theory of health behavior change (ITHBC) theory on the psychological state, compliance behavior and lifestyle of peptic ulcer patients, providing a new theoretical basis and practical guidance for clinical nursing.  Methods  A total of 170 patients diagnosed with peptic ulceration were admitted to Shaoxing Second Hospital from April 2023 to March 2024. These patients were methodically divided into two groups: a control group and an observation group, with each group containing 85 cases. This division was conducted through the utilization of a random number table. The control group received routine nursing care, while the observation group received nursing care based on the ITHBC theory in addition to the aforementioned routine care. The psychological status, compliance behavior and lifestyle of the two groups of patients were then compared before and after the intervention.  Results  Following the implementation of the intervention, the self rating anxiety scale (SAS) and self rating depression scale (SDS) of the patients in the observation group demonstrated a mean score of 35.18±4.62 and 34.29±3.82, respectively. These scores were lower than those observed in the control group, which registered a mean score of 43.24±5.10 and 40.05±4.21, respectively. A statistical analysis revealed that these differences were statistically significant (P < 0.05). Following the implementation of the intervention, the scores obtained by the observation group on the medical compliance behavior scale and the health promoting lifestyle profile Ⅱ (HPLP-Ⅱ) were found to be 75.33±5.29 and 100.50±15.34, respectively. These figures were higher than the scores achieved by the group, which were 67.82±7.10 and 91.59±12.77, and were statistically significant (P < 0.05).  Conclusion  The nursing model, guided by the theory of health behavior change integration, has been demonstrated to effectively improve the clinical symptoms of peptic ulcers, alleviate patients ' anxiety and depression, and positively influence compliance behavior and the promotion of a healthy lifestyle.
Application of a staged functional training program based on IPC model in postoperative patients with unstable distal radius fractures
CHEN Feifei, CHEN Jiefang
2025, 23(7): 1258-1261. doi: 10.16766/j.cnki.issn.1674-4152.004110
474 11
Abstract:
  Objective  To evaluate the effectiveness of a staged functional training program based on the interprofessional cooperation model (IPC) in patients with unstable distal radius fractures.  Methods  A total of 100 patients with unstable distal radius fractures admitted to the Orthopedic Department of Shangyu People ' s Hospital of Shaoxing from October 2023 to September 2024 were selected and divided into two groups by the random number table method, with 50 cases in each group. The control group received routine postoperative care, while the observation group underwent a staged functional training program after surgery. The pain intensity, wrist joint function, and upper limb function were compared between the two groups before and after the intervention.  Results  The postoperative pain intensity in the observation group was lower than that in the control group. The length of hospitalization duration and time to resolution of swelling in the affected limb were also shorter than those in the control group (P < 0.05). At 12 weeks post-intervention, both groups demonstrated significant improvements in functional status, range of motion, grip strength, and pain scores compared to baseline (P < 0.05). Furthermore, the observation group exhibited significantly better outcomes in functional status, range of motion, grip strength, and pain scores compared to the control group (P < 0.05). Additionally, both groups showed reduced disabilities of the arm, shoulder and hand (DASH) scores at 12 weeks compared to pre-intervention levels (P < 0.05), with the observation group achieving significantly lower scores than the control group (P < 0.05). In terms of complications, the observation group experienced 1 case each of postoperative joint stiffness, fixation loosening, and delayed fracture healing, resulting in a total complication rate of 6.00% (3/50), which was significantly lower than the 24.00% (12/50) observed in the control group (χ2=6.353, P=0.012).  Conclusion  The application of a staged functional training program based on the IPC model in the postoperative rehabilitation for patient with unstable distal radius fractures can alleviate early postoperative pain, promote swelling reduction in the affected limb, shorten hospital stay, facilitate wrist and upper functional recovery, and reduce the risk of postoperative complications.
A case of misdiagnosis of adult abdominal anaphylactoid purpura and literature review
LUO Limian, LI Qi, XIE Miao
2025, 23(7): 1262-1266. doi: 10.16766/j.cnki.issn.1674-4152.004111
406 6
Abstract:
This study investigates the instance of misdiagnosis in adult cases of abdominal purpura, elucidating the causative factors, correlating them with existing clinical literature while compiling the diagnostic characteristics of abdominal purpura in an effort to diminish the rate of misdiagnosis. A retrospective analysis was conducted on the medical records of a patient who was initially misdiagnosed with acute gastroenteritis in July 2020.the patient presented with skin purpura after abdominal pain. Following a multidisciplinary review, the patient was ultimately identified as suffering from abdominal purpura, and was discharged after receiving symptomatic treatment with glucocorticoids and anti-allergic drugs. The study concluded that abdominal purpura is a rare condition, especially among adults, and that its non-specific clinical manifestations, in conjunction with the absence of definitive ancillary examinations contribute to a high misdiagnosis rate. It is recommended that clinical workers learn from this case to avoid misdiagnosis and mistreatment.